Korean Journal of Medicinal Crop Science
[ Research Articles ]
Korean Journal of Medicinal Crop Science - Vol. 29, No. 5, pp.317-327
ISSN: 1225-9306 (Print) 2288-0186 (Online)
Print publication date 31 Oct 2021
Received 19 Aug 2021 Revised 05 Oct 2021 Accepted 05 Oct 2021
DOI: https://doi.org/10.7783/KJMCS.2021.29.5.317

Anti-obesity Effect of Mulberry Anthocyanins in C57BL/6J Mice

Hyun Bok Kim1, # ; Eun Ji Go2, # ; Byeong Ryeol Ryu3 ; Ye Rim Shin4 ; Su Jin Yang5 ; Jong Suep Baek6 ; Jung Dae Lim7,
1Reseracher, National Institute of Agricultural Sciences, RDA, Wanju 55365, Korea
2Ph. D. student, Department of Bio-Health Convergence, Kangwon National University, Chuncheon 24341, Korea
3Master’s student, Department of Bio-Health Convergence, Kangwon National University, Chuncheon 24341, Korea
4Undergraduate student, Department of Herbal Medicine Resource, Kangwon National University, Samcheok 25949, Korea
5Researcher, R&D Team, NOVA M Healthcare Co., Ltd., Gyeongsan, 38408, Korea
6Professor, Department of Bio-Health Convergence, Kangwon National University, Chuncheon 24341, Korea
7Professor, Department of Bio-Health Convergence, Kangwon National University, Chuncheon 24341, Korea
C57BL/6J 동물모델에서 오디 안토시아닌의 항비만 활성
김현복1, # ; 고은지2, # ; 류병렬3 ; 신예림4 ; 양수진5 ; 백종섭6 ; 임정대7,
1농촌진흥청 국립농업과학원 연구사
2강원대학교 바이오헬스융합학과 박사과정생
3강원대학교 바이오헬스융합학과 석사과정생
4강원대학교 생약자원개발학과 학부생
5(주)노바엠헬스케어 연구개발팀 연구원
6강원대학교 바이오헬스융합학과 교수
7강원대학교 바이오헬스융합학과 교수

Correspondence to: (Phone) +82-33-540-3323 (E-mail) ijdae@kangwon.ac.kr #Hyun Bok Kim and Eun Ji Go are contributed equally to this paper.


This is an open access article distributed under the terms of the Creative Commons Attribution Non-Commercial License (http://creativecommons.org/licenses/by-nc/3.0/) which permits unrestricted non-commercial use, distribution, and reproduction in any medium, provided the original work is properly cited.

Abstract

Background

In this study, we evaluated the anti-obesity effects of purified mulberry anthocyanins using PB-600 macroporous resin (RPA), and investigated their effects on the weight of the body, liver, and epididymal white adipose tissue, lipid profiles, and mRNA gene expression for lipid metabolism in high-fat diet (HFD)-induced obese C57BL/6J male mice.

Methods and Results

Four-week-old C57BL/6J mice (n = 12/group) were fed an HFD (HFD group) with RPA (HFD + RPA group, 5,000 ㎎/㎏/day, 761.85 ㎎· cyanidin 3-glucoside equivalent/g) for 12 weeks. Mice fed HFD showed increased body weight, insulin resistance, and serum and hepatic lipid levels. In comparison, the HFD + RPA group showed significantly lower body weight and fat mass with a decreasing food efficiency ratio than the HFD control mice. Additionally, the RPA group showed significantly lower levels of total cholesterol and blood glucose, decreased homeostatic model assessment insulin resistance (HOMA-IR) score, attenuated lipid accumulation, and decreased leptin secretion. Regarding the mRNA expression of genes related to anti-obesity and anti-inflammatory properties, RPA decreased the expression levels of PPARγ, FAS, IL-6, and TNFα, compared to the HFD control, while increased the CPT 1 expression levels increased.

Conclusions

These results confirm that RPA, a purified mulberry anthocyanin has anti-obesity, and anti-inflammatory effects and could be used for functional and health-promoting activities, such as reducing obesity and insulin resistance at high doses in obese animals models.

Keywords:

Morus alba L., Anthocyanin, Anti-inflammatory Effect, Anti-obesity, C57BL/6J Mice

INTRODUCTION

The fundamental cause of obesity is an imbalance between energy intake and expenditure. However, complex causal factors, including dietary choices, genetic predisposition, environmental factors, and the westernization of lifestyles, also play a role. Obesity confers a myriad of detrimental effects on human health and poses a high risk for cardiovascular diseases, hypertension, respiratory dysfunction, type 2 diabetes mellitus, certain types of cancer, osteoarthritis, dyslipidemia, ischemic heart disease, and stroke (Haslamand and James, 2005).

Although medication for the treating obesity, such as appetite suppression, self-control, and decrease absorption, has short-term benefits for weight loss it is often associated with side effects and has the potential for drug abuse (Yun, 2010).

Recently, many functional supplement materials such as microbiome (Sivamaruthi et al., 2019) and herbal medicines (Akhlaghi et al., 2018) have drawn attention because of their beneficial effects on the treatment of obesity without causing significant side effects having the risk for addiction. In addition, studies have revealed that supplementation with probiotics and, more generally, phenolic compounds such as anthocyanins improved the health status of obese people (Azzini et al., 2017a).

Anthocyanins are water-soluble plant pigments responsible for the red, blue and purple colors of many plant parts. Anthocyanins are generally enriched in the flowers and fruit bodies of several plants, including berries, plums, grapes, and vegetables such as purple cabbage and red potatoes (Sivamaruthi et al., 2018).

Human consume anthocyanins, and they are considered the most common beneficial components of the human diet; in particular, an anthocyanidins-rich diet can help maintain body weight and prevent obesity and its associated consequences. However, Azzini et al. (2017b) reported that the daily intake of commercial red orange juice (Dosage, 500 ㎖ of orange juice per day, 250 ㎎ of anthocyanins per day) for 12 weeks showed no significant changes in body weight, BMI, waist and hip circumferences, and waist/hip circumferences. In addition, biochemical and hemodynamic parameters were not significantly affected by juice consumption in obese female subjects due to the low amount of anthocyanins in daily intake juices.

Purified cyanidin aglycone, or two glycosylation deriviatives (glucoside or rutinoside), significantly reduced the total and facilitated glucose uptake by down-regulating glucose transporter type 2 (GLUT2) and sodium/glucose cotransporter 1 (sGLT1) gene expression, however, the extract were specific to the primary glucose transporters and were not significantly affected (Alzaid et al., 2013).

These studies revealed that raw extracts containing small amounts of anthocyanins showed weak anti-obesity effects and improved lipid profiles compared to purified large amounts of anthocyanins. Thus, because the efficacy of different species and concentrations of anthocyanin did not show a clear tendency in the individual anti-obesity properties, further research should be conducted.

In addition, anthocyanins can be quickly absorbed from by the stomach, and their levels across the gastrointestinal mucosa are quite high, but the high anthocyanin concentrations in intestinal tissues are in great contrast to their low concentrations in the blood. Indeed, plasma concentrations of cyanidin 3-glucoside (C3G) declined very rapidly following intravenous administration, indicating rapid redistribution, metabolism, or degradation of C3G (Vanzo et al., 2011). In addition, urinary excretion of anthocyanins and their metabolites was found to be 0.67% - 2.67% of the anthocyanins ingested (Matsumoto et al., 2006).

A large amount of anthocyanins must be consumed maintain high concentration in the blood to obtain high concentrations of anthocyanins in the intestinal tissue.

Previously, we reported the purification of anthocyanins from mulberry (Morus alba L.) using PB-600 macroporous resin, and as a result, commercial production is possible with high purification rate and yield. Mulberry anthocyanin produced using PB-600 macroporous resin (RPA) reduced lipid metabolism-related gene expression, lipid accumulations and triglyceride content in 3T3-L1 preadipocyte differentiation (Kim et al., 2021).

However, the inhibitory effect of RPA on adipogenesis was demonstrated at a very low dosage, which can be a limitation for practical clinical applications in humans. It is necessary to examine the anti-obesity effect of RPA, that systemically circulates as a metabolite through extensive first-pass metabolism in an obese animal model.

This study was performed to confirm the anti-obesity effect of high doses of RPA (5,000 ㎎/㎏/day, 761.85 ㎎·C3G equivalent/g) in diet-induced obese C57BL/6J mice for 12 weeks and elucidate the underlying mechanisms of these effects. It is anticipated that the data obtained from this study will provide basic support for the functional use of commercially prepared purified mulberry anthocyanins.


MATERIALS AND METHODS

1. Experimental Animals

All the experimental procedures were conducted in accordance with protocols approved by the Institutional Animal Care and Use Committee (IACUC) of Kangwon National University (Permit Number: KIACUC-1700114) and according to the Laboratory Animal Act of the Ministry of Food and Drug Safety.

Thirty-six male C57BL/6J mice were purchased from Samtako Bio Korea (C57BL/6NTac, Samtako Inc., Osan, Korea) at 4 weeks of age and housed in a specific pathogen-free facility. They were individually housed in a cage where the temperature was maintained at 23 ± 3℃ with relative humidity of 50 ± 10%, in a 12 h light/dark cycle.

All the mice consumed a commercial diet and tap water ad libitum for 1 week prior to their allocation to one of the three weight-matched groups; the Chow group (low-fat diet, provided 4,057 ㎉% with 10% fat, 20% proteins and 70% carbohydrates, D12450B, Research Diets, Inc., New Brunswick, NJ, USA) an HFD group (high-fat diet, provided 4,057 ㎉% with 45% fat, 20% proteins and 35% carbohydrates, D12451, Research Diets Inc., New Brunswick, NJ, USA), and HFD with RPA group (HFD + RPA).

The RPA contained 125.57 ㎎ total anthocyanins containing 118.90 ㎎ C3G and 6.67 ㎎ of C3R per gram. RPA (5,000 ㎎/㎏/day) was administered orally every day for 12 weeks. After 12 weeks, the mice were sacrificed by decapitation. Blood samples, the heart, the liver, the kidney, and adipose tissue were collected, weighed and stored at -80℃. Body weight and food consumption measurements were started in the first week of the study (5 weeks of age) and continued weekly for the entire period of the experiment.

Food consumption was determined for each of the three groups by weighing the total amount of food given at the start of each week and then subtracting the amount of food remaining at the end of the week. The average food consumed per mouse was then calculated by dividing by the number of the mice.

2. Blood and Organ Collection

The experimental diets were fed for 12 weeks. On the last day of the experiment and after 12 h of fasting, the mice were euthanized using CO2 gas and dissected. Blood was collected via cardiac puncture into heparinized tubes using a syringe and left at room temperature to coagulate for 20 min before centrifugation at 3,000 × g at 5℃ for 15 min.

The resultant serum was stored at -70℃ until analysis. The liver, heart, kidney, spleen, testes, and epididymis [epididymal white adipose tissue (WAT) and epididymal brown adipose tissue (BAT)] were harvested. Each organ was rinsed in physiological saline, weighed, and stored in a freezer at -70℃ for later use.

3. Blood Chemicals Analysis

Blood glucose levels were determined using a chemistry analyzer (Hitachi 7600, Hitachi Co., Tokyo, Japan). Serum total cholesterol (TC), triglyceride (TG), and high-density lipoprotein cholesterol (HDL-CH) levels were determined using commercial enzymatic kits and an automatic biochemistry analyzer (Roche Cobas 8000 modular analyzer Series C702, Mannheim, Germany). Low-density lipoprotein cholesterol (LDL-CH) was calculated using the Friedewald formula (TC - HDL - TG/5). Aspartate aminotransferase (AST) and alanine aminotransferase (ALT) levels in plasma were determined using a commercially available kit purchased from Asan Pharmaceutical (AM101-K, Seoul, Korea).

Serum insulin, leptin and adiponectin levels were analyzed by immunoassay using a rat/mouse ELISA kits (R&D System, Minneapolis, MN, USA) according to the manufacturer’s protocols. Homeostatic model assessment insulin resistance (HOMA-IR) was calculated using the following formula:

HOMA-IR= fasting insulin (μU/) × fasting blood glucose (/)/405

4. Histopathological Analysis

After the mice are sacrificed, the abdominal tissue is separated and made into small pieces. For the oil red O staining, hepatic tissues were frozen in liquid nitrogen, sliced and stained with oil red O solution (0.5 g/100 ㎖, dissolved in isopropanol). For the hematoxylin and eosin (H&E) staining, epididymal adipose tissues were frixed in 10% formaldehyde solution neutralized to pH 7.4, embedded in paraffin, sliced and stained. All the section images were captured with a light microscope (Olympus, Tokyo, Japan).

5. Hepatic Lipids Analysis

The liver samples from each mouse were homogenized in PBS, and total lipids were determined according to a previously described method (Folch et al., 1957).

The liver homogenate was centrifuged at 1,900 × g for 20 min at 4℃ and the supernatant was stored on ice until analysis. The concentrations of liver triglycerides and total cholesterol were estimated using the same enzymatic kits and analyzer for serum analysis.

6. Quantitative real-time PCR

Total RNA from the liver and WAT was extracted with Trizol (Invitrogen Technologies, Carlsbad, CA, USA) according to the manufacturer’s protocol. Single-stranded cDNA was synthesized using the Transcriptor First Strand cDNA Synthesis Kit (Roche Applied Science, Penzbeng, Germany). Quantitative PCR was performed using SYBR Premix Ex Taq (Takara Bio Inc., Shiga, Japan).

The 20 ㎕ reaction mixture was prepared as follows: 10 ㎕ SYBR Green Quantitative PCR SuperMix-UDG (Invitrogen Technologies, Carlsbad, CA,. USA), 0.4 ㎕ of forward primer (10 μM), 0.4 ㎕ of reverse primer (10.0 μM), and cDNA (2.0 ㎕). The real-time PCR conditions were as follows: 95℃ for 10 min followed by 45 cycles at 95℃ for 15 s, 60℃ for 5 s; 72℃ for 15 s. The primer sequences used in the experiments are listed in Table 1.

Sequence of primers used in quantitative real-time PCR.

All results were obtained from at least three independent experiments. The liver expression of PPARγ, FAS, ACO, CPT 1 and the WAT expression of IL-1β, IL-6 and TNFα were examined and normalized using β-actin as an internal control.

7. Statistical Analysis

The sample groups were statistically analyzed using SPSS 19.0 statistical software (Statistical Package for the Social Sciences, ver. 19.0, SPSS Inc., Chicago, IL, USA). Means ± standard error for each group were calculated. Significant differences among groups were examined by post-hoc Duncan’s Multiple Range Tests (DMRT, p < 0.05).


RESULTS AND DISCUSSION

1. Effects of RPA on Body Weight, Food Intake, and Food Efficiency Ratio (FER) in Obese C57BL/6J Model

All mice treated with RPA for 12 weeks were healthy. The initial body weight of mice averaged 18.12 g, which was not significantly different among the three groups.

The effects of RPA on body weight are shown in Table 2. After 12 weeks, the body weight gain of high-fat diet (HFD) group (35.76 ± 3.54 g) was significantly higher than that of the Chow group (10.44 ± 1.12 g). The intake of RPA reduced body weight in the HFD-fed mice by 37.24%, but their body weight was still higher than that of the mice in the Chow group (Table 2 and Fig. 1A).

Tissue weight, serum parameters and hepatic lipids for the male C57BL/6J mice in Chow, HFD, HFD-RPA group at the end of the experiment.

Fig. 1.

Representative macroscopic pictures of male C57BL/6J mice from the different groups at the end of the experiment.A; C57BL/6J mice, B; liver, C; heart, D; epididymal white adipose tissue. First panel; reference Chow (low-fat diet) diet, second panel; HFD (high-fat diet), third panel; HFD + RPA (HFD plus 5,000 ㎎/㎏ purified mulberry anthocyanin using PB-600 macroporous resin).

Furthermore, there were no statistically significant differences in body length among the three groups (Table 2 and Fig 1A). The food efficacy ratio (FER) of the HFD + RPA group (7.22 ± 1.26%) was significantly lower than that of the HFD group (19.65 ± 0.87%) (p < 0.01), and there were no significant changes in the daily food intake between the other groups after treatment (Table 2). This results suggested that anti-obese property of anthocyanins relies on its ability to control food consumption and energy metabolism, which was witnessed by the increase in energy expenditure, suppression of weight gain.

Skates et al. (2018) reported that the consumption of anthocyanin rich berry improved body composition via enhancing energy expenditure, amended mitochondrial respiration and reduced metabolic stress in the high-fat-diet-fed C57BL/6 mouse.

The weights of the heart, liver, kidney and interscapular brown adipose tissue were lower in HFD-fed mice than in low-fat fed mice (Chow group), and the HFD + RPA group also showed a relatively higher tissue weights than the HFD group (Table 2). The weight of white adipose tissue (WAT) was much higher in the HFD group than in the Chow group, but it was decreased after RPA administration.

Supplementation with anthocyanin-rich Norton grape pomace extract (250 ㎎/㎏ of body weight/day) for 12 weeks exhibited anti-inflammatory effects, there was no significant change in the body weight of experimental obese mice whose high-fat diet was supplemented with grape extract (Hogan et al., 2010). However, the supplementation with blueberry and mulberry (Morus alba L.) juice or mulberry anthocyanins (40 or 200 ㎎/㎏) for 12 weeks significantly suppressed body weight gain and reduced insulin resistance and lipid accumulation in HFD-fed mice (Wu et al., 2013).

The results showed that anthocyanin-rich berries may more effectively hinder diet-induced obesity than anthocanins from other sources. In addition, RPA regulates lipogenesis and lipolysis in the high-fat diet induced experimental obese C57BL/6J model, and RPA might be considered as a supplementary therapeutic agent to manage obesity.

2. Effect of RPA on Serum Parameters in the Obese C57BL/6J Model

Mice in the HFD group showed elevated serum glucose, triglyceride, and total cholesterol levels than Chow group (Table 2). RPA decreased triglyceride and total cholesterol levels, while it significantly reduced serum glucose levels. The HFD increased the LDL-C, ALT and AST levels, whereas RPA supplementation decreased their levels to those of the Chow group but did not affect HDL-C (Table 2).

Obesity is most likely to cause hyperlipidemia which is considered a leading cardiovascular risk. The hallmark of dyslipidemia in obesity is hypertriglyceridemia combined with the preponderance of high LDL and low HDL cholesterol (Klop et al., 2013).

Bhaswant et al. (2019) investigated that Queen Garnet (QG) plum juices containing small amount anthocyanins (250 ㎖ juice per day; 102 ㎎·C3G equivalents of total anthocyanins) significantly reduced blood pressure, fasting plasma LDL, glucose, insulin, C-peptide, GLP-1 (glucagon-like peptide-1) and leptin levels, whereas, there were no changes in TC, TG, ALT, AST, PAI-1 (plasminogen activator inhibitor-1), and creatinine in QG juice interventions.

In our previous study, we assessed the effect of a low dosage of RPA on a 3T3-L1 preadipocyte differentiation model and a process for the industrial preparation of mulberry anthocyanins using PB-600 macroporous resin (Kim et al., 2021). Mulberry anthocyanin purified using PB-600 macroporous resin (RPA) contained 152.37 ㎎/g C3G equivalents of total anthocyanins.

In this study, the amount of anthocyanin used in RPA was 5,000 ㎎/㎏/day (761.85 ㎎·C3G equivalent/g), which was 7.5 times higher than those in Queen Garnet plum juices’s study by Bhaswant et al. (2019). It suggest that high doses of C3G are required to reduce blood pressure and risk factors associated with metabolic disorders, and reverse obesity reversal.

Serum leptin, insulin, adiponectin and insulin resistance index were examined (Fig. 2). Serum leptin was elevated in mice fed HFD compared to the Chow group (4.1 ± 0.5). HFD-fed obese mice showed significantly higher levels of serum leptin, but the HFD + RPA group (5.1 ± 0.3) showed 75.8% lower levels of serum leptin than the HFD group (7.8 ± 0.2).

Fig. 2.

Serum insulin levels, leptin levels, HOMA-IR, and adiponectin in mice.Chow; low-fat fed mice group, provided 4,057 ㎉% with 10% fat, HFD; high-fat fed mice group, provided 4,057 ㎉% with 45% fat, HFD + RPA; high-fat fed mice group + RPA (5,000 ㎎/㎏/day, 118.90 ㎎ C3G and 6.67 ㎎ of C3R per gram) were orally administered every day for 12 weeks. Values are mean ± SEM (n = 12). *Means within a column followed by the same letter are not significantly different based on the Duncan`s Multiple Range Test (DMRT, p < 0.05).

Leptin, the product of an obesity-related gene, is secreted by adipose tissues and has an important function in lipid metabolism (Maratos-Flier, 2008). It regulates food intake and energy expenditure (Rosenbaum and Leibel, 1999), and tis levels are correlated with obesity, especially visceral fat accumulation (Kershaw and Flier, 2004).

In this study, treatment of HFD-fed obese mice with RPA reduced leptin levels. The administration of mulberry anthocyanin containing C3G might have improved leptin resistance in obese mice.

HFD-fed obese mice showed significantly higher levels of insulin and HOMA-IR than the Chow group mice. Whereas there was no statistically significant decrease in insulin levels in the HFD + RPA group, the lower plasma glucose (Table 2) and insulin levels resulted in markedly lower insulin resistance index (HOMA-IR) values in the HFD + RPA group as compared with the HFD group, 56.25% lower (Fig. 2, p < 0.05).

Loss of body weight in obese patients and an aninal model has been associated with improvement of HOMA-IR indicating insulin resistance (Bogardus et al., 1984), decreased glucose production (Henry et al., 1986), and increased insulin secretion (Gumbiner et al., 1990).

The adiponectin concentration was higher in the Chow group (20.10 ± 2.30 ㎎/ℓ) than in the HFD group (5.80 ± 1.20 ㎎/ℓ). RPA administration elevated adiponectin levels in HFD-fed mice (20.50 ± 2.60 ㎎/ℓ).

Adiponectin is an adipocyte secretory protein hormone that modulates metabolic processes, such as fatty acid oxidation and glucose metabolism (Arçri et al., 2009). Circulating levels of adiponectin are decreased in obese subjects. Increased concentrations of adiponectin are related to a reduction in body weight in obese animals (Gregor and Hotamisligil, 2011; Siegrist et al., 2013). This study showed that RPA potentially induces fatty acid oxidation and reduces serum glucose levels with an increased adiponectin concentration.

Dietary supplementation with mulberry anthocyanin containing C3G suppressed body weight gain, fat accumulation, and hyperlipidemia, and improved glucose homeostasis, insulin resistance, and leptin resistance.

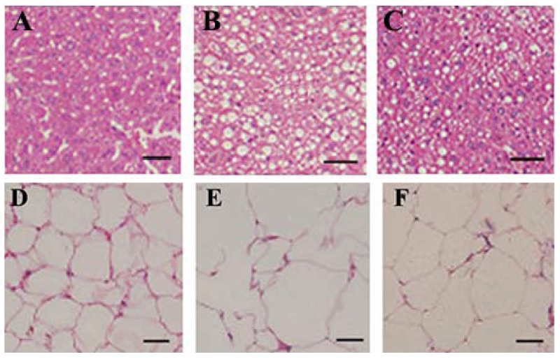
3. Effect of RPA on Histopathological Changes in the Liver and Epididymal White Adipose Tissue

Fig. 3 shows the Oil Red O staining of the liver and H&E staining of epididymal adipose tissue. Compared with the Chow group, mice fed with HFD showed a notable increase in fat vacuole and intense lipid accumulation in the liver (Fig. 3B). In contrast, RPA administration resulted in a dramatic decrease in fat vaculoles (both in size and number) relative to HFD, and this decrease significantly alleviated lipid accumulation in HFD-fed mice.

Fig. 3.

Morpholoogy changes in the liver (A - C) and epididymal adipose tissue (D - F) for the male C57BL/6J mice.A - C; Oil Red O was used to stain livers sections of mice, D - H; H&E stained epididymal adipose tissue. A and D; Chow (low-fat diet mice group provided 4,057 ㎉% with 10% fat), B and E; HFD (high-fat diet mice group, provided 4,057 ㎉% with 45% fat), C and F; high-fat diet mice group + RPA (5,000 ㎎/㎏/day, 118.90 ㎎ C3G and 6.67 ㎎ of C3R per gram) administered orally every day for 12 weeks. Scale bar; 5 ㎛.

In this study, activity of the liver enzyme ALT and AST, as an indicator of liver damage, revealed lower ALT and AST levels in the HFD + RPA group than in the HFD group (Table 2). These results support the H&E staining results of the liver, which revealed that the proportion of normal cells in the group supplemented with RPA increased compared to the HFD group, suggesting that RPA has hepatoprotective effects.

Fig. 3D - 3F shows the histology of epididymal white adipose tissue of mice. Mice fed with HFD showed hypertrophy of adipocytes in the adipose tissue (Fig. 3E). The phenotype of adipocytes was attenuated when the HFD-fed mice were treated with RPA (Fig. 3F). The epididymal fat and abdominal visceral fat of the RPA-treated group decreased compared with the HFD group.

4. Effect of RPA on the Expression of Genes Related to Lipid Metabolism in the Liver and Adipose Tissue.

The mRNA expression levels of PPARγ, FAS, ACO and CPT 1 were determined in the liver tissue (Fig. 5A). Quantitative real-time PCR analysis was also performed to evaluate the expression of IL-1β, IL-6 and TNFα in epididymal white adipose tissue (Fig. 5B).

Compared to the Chow group, mice fed with HFD showed upregulation of PPARγ, FAS, IL-6, and TNFα genes, and downregulation of the CPT 1 gene. RPA markedly reduced the expression levels of PPARγ, FAS, IL-6 and TNFα compared to the HFD control, while increased CPT 1 expression levels.

As mentioned above, HFD-fed obese mice showed high lipid accumulation in the liver (Fig. 4A). HFD significantly increased triglyceride levels in the liver (Fig. 4B), but RPA reversed this effect. RPA consumption may regulate lipid metabolism by suppressing fatty acid synthesis-related genes (PPARγ and FAS) and inducing the expression of β-oxidation-related genes (CPT 1).

Fig. 4.

Hepatic contents of total lipids, triacylglycerol, and cholesterol.A; liver lipids, B; liver triglycerides, C; liver cholesterol, Chow; low-fat fed mice group, provided 4,057 ㎉% with 10% fat, HFD; high-fat fed mice group, provided 4,057 ㎉% with 45% fat, HFD + RPA; high-fat fed mice group + RPA (5,000 ㎎/㎏/day, 118.90 ㎎ C3G and 6.67 ㎎ of C3R per gram) administered orally, every day for 12 weeks. Values are mean ± SEM (n = 12). *Means within a column followed by the same letter are not significantly different based on the Duncan`s Multiple Range Test (DMRT, p < 0.05).

PPARγ regulates lipid and glucose metabolism, is essential for adipocyte proliferation and differentiation and plays an important role in enhancing insulin sensitivity by promoting adiponectin expression in various peripheral tissues (Yanai and Yoshida, 2019). In addition, it suppresses the expression of inflammatory cytokines, such as tumor necrosis factor-α (TNFα) in adipocytes (Mirza et al., 2019). Adiponectin inhibits hepatic glucose production, and reduces insulin resistance by increasing glucose uptake and fatty acid oxidation in muscles (Ghadge et al., 2018).

CPT-1 mediates transport of free fatty acids (FFAs) into the mitochondria and regulates lipid metabolism by promoting β-oxidation of FFAs (Gross et al., 2017). Increased FFA levels due to lipid metabolic disorders are known to induce inflammation associated with insulin resistance, reduce glucose uptake, increase hepatic glucose production, impair insulin signaling pathways, and cause adipokine secretion disorders (Morigny et al., 2016). It is suggest that the RPA can increases PPAR-expression, which, in turn, enhances insulin sensitivity.

The effect of purified C3G on molecular pathways in adipose tissue have also been investigated in vivo by Choi et al. (2016). Db/db mice were fed C3G dissolved in drinking water (1 ㎎/㎖, 22 ㎎/㎖, or 1,320 ㎎ of C3G for a 60 ㎏ adult) for 16 weeks. After 16 weeks, the liver, and epididymal white adipose tissue also weighed significantly less in the C3G group compared to the control group, C3G-treated mice consumed approximately 30% more oxygen (higher energy expenditure) despite no difference in energy intake or physical activity.

Obesity is associated with a state of chronic low-grade systemic inflammation, which increases the production of obesity-related inflammatory cytokines, such as IL-1β, IL-6, TNFα, and leptin, and decreases anti-inflammatory cytokine levels, such as adiponectin (Samuel Wu et al., 2013; Wang et al., 2013). Inflammatory cytokines, such as TNFα and IL-6, impair insulin signaling pathways by targeting the downstream components of the insulin signaling pathway in adipose tissue. TNFα and IL-6 interfere with insulin signaling and induce lipolysis, generating circulation lipids and inducing insulin resistance (Akash et al., 2018). In the present study, mice that were supplemented with RPA showed lower TNFα mRNA expression than mice fed with HFD. We found that HFD-fed mice were under the pathologic condition of inflammation associated with obesity, as evidenced by high levels of IL-6, TNFα and leptin. Our results further indicated that RPA exerted a potentially anti-inflammatory effect (Fig. 2A and Fig. 5B)

Fig. 5.

Effects of purified mulberry anthocyanins using PB-600 macroporous resin (RPA) on mRNA expressions of PPAR-γ, FAS, ACO, CPT 1, IL-1β, IL-6 and TNFα by quantitative real-time polymerase reaction in C57BL/6J mice fed a high-fat diet for 12 weeks.The intensity of the bands was quantified by densitometric analysis and normalized with the corresponding levels of β-actin. Chow; low-fat fed mice group, provided 4,057 ㎉% with 10% fat, HFD; high-fat fed mice group, provided 4,057 ㎉% with 45% fat, HFD + RPA; high-fat fed mice group + RPA (5,000 ㎎/㎏/day, 118.90 ㎎ C3G and 6.67 ㎎ of C3R per gram) administered orally, every day for 12 weeks. PPAR-γ; peroxisome proliferator-activated receptor, FAS; fatty acid synthase, ACO; acyl-CoA oxidase, CPT 1; carnitine palmitoyl transferase, IL-1β; iterleukin-1β, IL-6; iterleukin-6, TNFα; tumor necrosis factor α. Values are means ± SEM (n = 12. *Means within a column followed by the same letter are not significantly different based on the Duncan's Multiple Range Test (DMRT, p < 0.05).

Given these findings, we confirmed that RPA was effective in improving insulin sensitivity by promoting PPARγ expression and, reducing inflammation by decreasing TNFα expression. Thus, RPA is considered effective in alleviating the interruption of insulin signaling pathways, inhibiting lipolysis, and improving insulin resistance.

Therefore, these results suggest that RPA has positive antiobesity, and anti-inflammatory effects and could reduce obesity, and insulin resistance. In addition, the consumption of purified anthocyanin, is a better option to ensure the intake of health-beneficial high amounts rather than the fruit, fruit juice, or extract itself.

Though the preclinical studies proved the beneficial effects of purified mulberry anthocyanins, do not have an established treatment procedure to prevent or manage the over-weight condition and its comorbidities.

As mentioned earlier, anti-obese property of anthocyanins relies on its ability to control food consumption and energy metabolism, and improve inflammatory response, insulin resistance, and glucose metabolism, etc.

We are urged to discover the practical application of dietary purified mulberry anthocyanins for the treatment of obesity. Thus, further studies on the optimum dose, duration, and mode of supplementation of anthocyanins are required to develop anthocyanins-based treatment procedures.

Acknowledgments

This work was supported by a grant (PJ014243022021) from the National Institute of Agricultural Sciences, Rural Development Administration, Korea.

References

  • Akash MSH, Rehman K and Liaqat A. (2018). Tumor necrosis factor-alpha: Role in development of insulin resistance and pathogenesis of type 2 diabetes mellitus. Journal of Cellular Biochemistry. 119:105-110. [https://doi.org/10.1002/jcb.26174]
  • Akhlaghi M, Ghobadi S, Mohammad Hosseini M, Gholami Z and Mohammadian F. (2018). Flavanols are potential antiobesity agents, a systematic review and meta-analysis of controlled clinical trials. Nutrition, Metabolism and Cardiovascular Diseases. 28:675-690. [https://doi.org/10.1016/j.numecd.2018.04.001]
  • Alzaid F, Cheung HM, Preedy VR and Sharp PA. (2013). Regulation of glucose transporter expression in human intestinal Caco-2 Cells following exposure to an anthocyanin-rich berry extract. PLoS ONE. 8:e78932. https://journals.plos.org/plosone/article?id=10.1371/journal.pone.0078932, (cited by 2021 Aug 1). [https://doi.org/10.1371/journal.pone.0078932]
  • Arçri DP, Bartchewsky W, dos Santos TW, Oliveira KA, Funck A, Pedrazzoli J, de Souza MFF, Saad MJ, Bastos DHM, Gambero A, de O Carvalho P and Ribeiro ML. (2009). Antiobesity effects of yerba maté extract(Ilex paraguariensis) in high-fat diet-induced obese mice. Obesity. 17:2127-2133. [https://doi.org/10.1038/oby.2009.158]
  • Azzini E, Giacometti J and Russo GL. (2017a). Antiobesity effects of anthocyanins in preclinical and clinical studies. Oxidative Medicine and Cellular Longevity. 2017:2740364. https://www.hindawi.com/journals/omcl/2017/2740364/, (cited by 2021 Aug 1). [https://doi.org/10.1155/2017/2740364]
  • Azzini E, Venneria E, Ciarapica D, Foddai MS, Intorre F, Zaccaria M, MaianiF, Palomba L, Barnaba L, Tubili C, Maiani G and Polito A. (2017b). Effect of red orange juice consumption on body composition and nutritional status in overweight/obese female: A pilot study. Oxidative Medicine and Cellular Longevity. 2017:1672567. https://www.hindawi.com/journals/omcl/2017/1672567/, (cited by 2021 Aug 1). [https://doi.org/10.1155/2017/1672567]
  • Bhaswant M, Brown L and Mathai ML. (2019). Queen Garnet plum juice and raspberry cordial in mildly hypertensive obese or overweight subjects: A randomized, double-blind study. Journal of Functional Foods. 56:119-126. [https://doi.org/10.1016/j.jff.2019.03.011]
  • Bogardus C, Ravussin E, Robbins DC, Wolfe RR, Horton ES and Sims EA. (1984). Effects of physical training and diet therapy on carbohydrate metabolism in patients with glucose intolerance and noninsulin-dependent diabetes mellitus. Diabetes. 33:311-318. [https://doi.org/10.2337/diab.33.4.311]
  • Choi KH, Lee HA, Park MH and Han JS. (2016). Mulberry (Morus alba L.) fruit extract containing anthocyanins improves glycemic control and insulin sensitivity via activation of AMP-activated protein kinase in diabetic C57BL/Ksj-db/db mice. Journal of Medicinal Food. 19:737-745. [https://doi.org/10.1089/jmf.2016.3665]
  • Folch L, Lees M and Sloane SGH. (1957). A simple method for the isolation and purification of total lipids from animal tissues. Journal of Biological Chemistry. 226:497-509. [https://doi.org/10.1016/S0021-9258(18)64849-5]
  • Ghadge AA, Khaire AA and Kuvalekar AA. (2018). Adiponectin: A potential therapeutic target for metabolic syndrome. Cytokine and Growth Factor Reviews. 39:151-158. [https://doi.org/10.1016/j.cytogfr.2018.01.004]
  • Gregor MF and Hotamisligil GS. (2011). Inflammatory mechanisms in obesity. Annual Review of Immunology. 29:415-445. [https://doi.org/10.1146/annurev-immunol-031210-101322]
  • Gross B, Pawlak M, Lefebvre P and Staels B. (2017). PPARs in obesity-induced T2DM, dyslipidaemia and NAFLD. Nature Reviews Endocrinology. 13:36-49. [https://doi.org/10.1038/nrendo.2016.135]
  • Gumbiner B, Polonsky KS, Beltz WF, Griver K, Wallace P, Brechtel G and Henry RR. (1990). Effects of weight loss and reduced hyperglycemia on the kinetics of insulin secretion in obese non-insulin dependent diabetes mellitus. Journal of Clinical Endocrinology and Metabolism. 70:1594-1602. [https://doi.org/10.1210/jcem-70-6-1594]
  • Haslamand DW and James WPT. (2005). Obesity. Lancet. 366:1197-1209. [https://doi.org/10.1016/S0140-6736(05)67483-1]
  • Henry RR, Wallace P and Olefsky JM. (1986). Effects of weight loss on mechanisms of hyperglycemia in obese non-insulin-dependent diabetes mellitus. Diabetes. 35:990-998. [https://doi.org/10.2337/diab.35.9.990]
  • Hogan S, Canning C, Sun S, Sun X and Zhou K. (2010). Effects of grape pomace antioxidant extract on oxidative stress and inflammation in diet induced obese mice. Journal of Agricultural and Food Chemistry. 58:11250-11256. [https://doi.org/10.1021/jf102759e]
  • Kershaw EE and Flier JS. (2004). Adipose tissue as an endocrine organ. The Journal of Clinical Endocrinology and Metabolism. 89:2548-2456 [https://doi.org/10.1210/jc.2004-0395]
  • Kim HB, Go EJ, Ryu BR, Yang SJ, Baek JS, Ryu SJ, Lee HT, Kwon JW and Lim JD. (2021). Inhibitory effect of adipocyte differentiation of purified mulberry anthocyanins using macroporous resin. Korean Journal of Medicinal Crop Science. 29:173-186. [https://doi.org/10.7783/KJMCS.2021.29.3.173]
  • Klop B, Elte JWF and Cabezas MC. (2013). Dyslipidemia in obesity: Mechanisms and potential targets. Nutritions. 5:1218-1240. [https://doi.org/10.3390/nu5041218]
  • Maratos-Flier E. (2008). The long reach of leptin. Nature Medicine. 14:604-606. [https://doi.org/10.1038/nm0608-604]
  • Matsumoto H, Ichiyanagi T, Iida H, Ito K, Tsuda T, Hirayama M and Konishi T. (2006). Ingested delphinidin-3-rutinoside is primarily excreted to urine as the intact form and to bile as the methylated form in rats. Journal of Agricultural and Food Chemistry. 54:578-582. [https://doi.org/10.1021/jf052411a]
  • Mirza AZ, Althagafi II and Shamshad H. (2019). Role of PPAR receptor in different diseases and their ligands: Physiological importance and clinical implications. European Journal of Medicinal Chemistry. 166:502-513. [https://doi.org/10.1016/j.ejmech.2019.01.067]
  • Morigny P, Houssier M, Mouisel E and Langin D. (2016). Adipocyte lipolysis and insulin resistance. Biochimie. 125:259-266. [https://doi.org/10.1016/j.biochi.2015.10.024]
  • Rosenbaum M and Leibel RL. (1999). Clinical review 107: Role of gonadal steroids in the sexual dimorphisms in body composition and circulating concentrations of leptin. Journal of Clinical Endocrinology and Metabolism. 84:1784-1789. [https://doi.org/10.1210/jcem.84.6.5787]
  • Samuel Wu YH, Chiu C, Yang D, Lin Y, Tseng J and Chen Y. (2013). Inhibitory effects of litchi(Litchi chinensis Sonn.) flower-water extracts on lipase activity and diet-induced obesity. Journal of Functional Foods. 5:923-929. [https://doi.org/10.1016/j.jff.2013.02.002]
  • Siegrist M, Rank M, Wolfarth B, Langhof H, Haller B, Koenig W and Halle M. (2013). Leptin, adiponectin, and short-term and long-term weight loss after a lifestyle intervention in obese children. Nutrition. 29:851-857. [https://doi.org/10.1016/j.nut.2012.12.011]
  • Sivamaruthi BS, Kesika P and Chaiyasut C. (2018). Anthocyanins in Thai rice varieties: Distribution and pharmacological significance. International Food Research Journal. 25:2024-2032.
  • Sivamaruthi BS, Kesika P, Suganthy N and Chaiyasut C. (2019). A review on role of microbiome in obesity and antiobesity properties of probiotic supplements. BioMed Research International. 2019:3291367. https://www.hindawi.com/journals/bmri/2019/3291367/, (cited by 2021 Aug 1). [https://doi.org/10.1155/2019/3291367]
  • Skates E, Overall J, DeZego K, Wilson M, Esposito D, Lila MA, and Komarnytsky S. (2018). Berries containing anthocyanins with enhanced methylation profiles are more effective at ameliorating high fat diet-induced metabolic damage. Food and Chemical Toxicology. 111:445-453. [https://doi.org/10.1016/j.fct.2017.11.032]
  • Vanzo A, Vrhovsek U, Tramer F, Mattivi F and Passamonti S. (2011). Exceptionally fast uptake and metabolism of cyanidin 3-glucoside by rat kidneys and liver. Journal of Natural Products. 74:1049-1054. [https://doi.org/10.1021/np100948a]
  • Wang X, Liu R, Zhang W, Zhang X, Liao N, Wang Z, Li W, Qin X and Hai C. (2013). Oleanolic acid improves hepatic insulin resistance via antioxidant, hypolipidemic and anti-inflammatory effects. Molecular and Cellular Endocrinology. 376:70-80. [https://doi.org/10.1016/j.mce.2013.06.014]
  • Wu T, Tang Q, Gao Z, Yu Z, Song H, Zheng X and Chen W. (2013). Blueberry and mulberry juice prevent obesity development in C57BL/6 mice. PLoS ONE. 8:e77585. https://journals.plos.org/plosone/article?id=10.1371/journal.pone.0077585, (cited by 2021 Aug 1). [https://doi.org/10.1371/journal.pone.0077585]
  • Yanai H and Yoshida H. (2019). Beneficial effects of adiponectin on glucose and lipid metabolism and atherosclerotic progression: Mechanisms and perspectives. International Journal of Molecular Sciences. 20:1190. https://www.mdpi.com/1422-0067/20/5/1190, (cited by 2021 Aug 1). [https://doi.org/10.3390/ijms20051190]
  • Yun JW. (2010). Possible anti-obesity therapeutics from nature-A review. Phytochemistry. 71:1625-1641. [https://doi.org/10.1016/j.phytochem.2010.07.011]

Fig. 1.

Fig. 1.
Representative macroscopic pictures of male C57BL/6J mice from the different groups at the end of the experiment.A; C57BL/6J mice, B; liver, C; heart, D; epididymal white adipose tissue. First panel; reference Chow (low-fat diet) diet, second panel; HFD (high-fat diet), third panel; HFD + RPA (HFD plus 5,000 ㎎/㎏ purified mulberry anthocyanin using PB-600 macroporous resin).

Fig. 2.

Fig. 2.
Serum insulin levels, leptin levels, HOMA-IR, and adiponectin in mice.Chow; low-fat fed mice group, provided 4,057 ㎉% with 10% fat, HFD; high-fat fed mice group, provided 4,057 ㎉% with 45% fat, HFD + RPA; high-fat fed mice group + RPA (5,000 ㎎/㎏/day, 118.90 ㎎ C3G and 6.67 ㎎ of C3R per gram) were orally administered every day for 12 weeks. Values are mean ± SEM (n = 12). *Means within a column followed by the same letter are not significantly different based on the Duncan`s Multiple Range Test (DMRT, p < 0.05).

Fig. 3.

Fig. 3.
Morpholoogy changes in the liver (A - C) and epididymal adipose tissue (D - F) for the male C57BL/6J mice.A - C; Oil Red O was used to stain livers sections of mice, D - H; H&E stained epididymal adipose tissue. A and D; Chow (low-fat diet mice group provided 4,057 ㎉% with 10% fat), B and E; HFD (high-fat diet mice group, provided 4,057 ㎉% with 45% fat), C and F; high-fat diet mice group + RPA (5,000 ㎎/㎏/day, 118.90 ㎎ C3G and 6.67 ㎎ of C3R per gram) administered orally every day for 12 weeks. Scale bar; 5 ㎛.

Fig. 4.

Fig. 4.
Hepatic contents of total lipids, triacylglycerol, and cholesterol.A; liver lipids, B; liver triglycerides, C; liver cholesterol, Chow; low-fat fed mice group, provided 4,057 ㎉% with 10% fat, HFD; high-fat fed mice group, provided 4,057 ㎉% with 45% fat, HFD + RPA; high-fat fed mice group + RPA (5,000 ㎎/㎏/day, 118.90 ㎎ C3G and 6.67 ㎎ of C3R per gram) administered orally, every day for 12 weeks. Values are mean ± SEM (n = 12). *Means within a column followed by the same letter are not significantly different based on the Duncan`s Multiple Range Test (DMRT, p < 0.05).

Fig. 5.

Fig. 5.
Effects of purified mulberry anthocyanins using PB-600 macroporous resin (RPA) on mRNA expressions of PPAR-γ, FAS, ACO, CPT 1, IL-1β, IL-6 and TNFα by quantitative real-time polymerase reaction in C57BL/6J mice fed a high-fat diet for 12 weeks.The intensity of the bands was quantified by densitometric analysis and normalized with the corresponding levels of β-actin. Chow; low-fat fed mice group, provided 4,057 ㎉% with 10% fat, HFD; high-fat fed mice group, provided 4,057 ㎉% with 45% fat, HFD + RPA; high-fat fed mice group + RPA (5,000 ㎎/㎏/day, 118.90 ㎎ C3G and 6.67 ㎎ of C3R per gram) administered orally, every day for 12 weeks. PPAR-γ; peroxisome proliferator-activated receptor, FAS; fatty acid synthase, ACO; acyl-CoA oxidase, CPT 1; carnitine palmitoyl transferase, IL-1β; iterleukin-1β, IL-6; iterleukin-6, TNFα; tumor necrosis factor α. Values are means ± SEM (n = 12. *Means within a column followed by the same letter are not significantly different based on the Duncan's Multiple Range Test (DMRT, p < 0.05).

Table 1.

Sequence of primers used in quantitative real-time PCR.

Gene Sense primer (5’ → 3’) Antisense primer (5’ → 3’)
PPARγ, peroxisome proliferator-activated receptor; FAS, fatty acid synthase; ACO, acyl-CoA oxidase; CPT 1, carnitine palmitoyl transferase; IL-1β, iterleukin-1β; IL-6, iterleukin-6; TNFα, tumor necrosis factor α
PPARγ CGCTGATGCACTGCCTATGA AGAGGTCCACAGAGCTGATTC
FAS CTGAGATCCCAGCACTTCTTGA GCCTCCGAAGCCAAATGAG
ACO CTTGTTCGCGCAAGTGAGG CAGGATCCGACTGTTTACC
CPT 1 CGCACGGAAGGAAAATGG TGTGCCCAATATTCCTGG
IL-1β GCTACCTGTGTCTTTCCCGT CGTCACACACCAGCAGGTTA
IL-6 TCCAGTTGCCTTCTTGGGAC GGTCTGTTGGGAGTGGTATCC
TNFα AGCCCACGTCGTAGCAAACCAC ACACCCATTCCCTTCACAGAGC
β-actin ATGTGGATCAGCAAGCAGGA AAGGGTGTAAAACGCAGCTCA

Table 2.

Tissue weight, serum parameters and hepatic lipids for the male C57BL/6J mice in Chow, HFD, HFD-RPA group at the end of the experiment.

Parameters Chow1) HFD2) HFD+RPA3)
1)Chow; low-fat fed mice group, provided 4,057 ㎉% with 10% fat, 2)HFD; high-fat fed mice group, provided 4,057 ㎉% with 45% fat, 3)HFD + RPA; high-fat fed mice group + RPA (5,000 ㎎/㎏/day, 118.90 ㎎ C3G and 6.67 ㎎ of C3R per gram) administered orally per day for 12 weeks. AST; alanine aminotransferase, GLU; serum glucose, TG; triglycerides, TCH; total cholesterol, HDL-CH; high-density lipoprotein cholesterol, LDL-C; low-density lipoprotein cholesterol, WAT; white adipose tissue, BAT; brown adipose tissue. Values are presented as the means ± SEM (n = 12. *Means within a column followed by the same letter are not significantly different based on the Duncan`s Multiple Range Test (DMRT, p < 0.05).
Food intake (g/week) 19.95±0.87a 19.74±1.65a 19.68±0.69a
Body weight gain (g) 10.44±1.12c 35.76±3.54a 22.44±1.31b
Food efficacy ratio (FER, %) 5.21±0.54c 19.65±0.87a 7.22±1.26b
Body length 9.42±0.61a 9.53±0.22a 9.44±0.32a
Tissue index
Heart 0.58±0.07 0.34±0.04a 0.54±0.06b
Liver 4.69±0.08c 2.44±0.11a 4.15±0.09b
Kidney 1.35±0.06b 0.85±0.12a 1.27±0.05b
Epidermal WAT 2.11±0.14c 6.12±0.24a 2.98±0.31b
Interscaptural BAT 0.54±0.06a 0.29±0.06c 0.41±0.02b
Serum index
ALT (U/ℓ) 27.63±3.11b 42.36±2.23a 25.16±0.17b
AST (U/ℓ) 101.36±5.26c 149.44±3.14a 102.12±1.21c
GLU (mmol/ℓ) 6.52±0.21b 8.63±0.15a 6.36±0.32b
TG (mmol/ℓ) 2.26±0.08c 4.56±0.08a 2.98±0.17b
TCH (mmol/ℓ) 2.84±0.11b 4.78±0.21a 3.00±0.08b
HDL-CH (mmol/㎖) 2.15±0.08b 2.82±0.12a 2.99±0.08a
LDL-CH (mmol/㎖) 0.04±0.01b 0.21±0.03a 0.05±0.02b