
민들레 뿌리 물 추출물의 류마티스 관절염 동물 모델에 대한 개선 효과
; Hyun Joo Lee1
; Ji Hun Jang
; Beo Dul Yang
; A Hyeon Kim
; Kyeong Wan Woo
; Tae Yeon Hwang
; Jae Wan Seo
; Hyun Woo Cho ; Ho Kyung Jung†
Correspondence to: †(Phone) +82-61-860-2841 (E-mail) thej0123@naver.com
This is an open access article distributed under the terms of the Creative Commons Attribution Non-Commercial License (http://creativecommons.org/licenses/by-nc/3.0/) which permits unrestricted non-commercial use, distribution, and reproduction in any medium, provided the original work is properly cited.
Abstract
Taraxacum platycarpum has been used in traditional medicine in Korea to treat intoxication and edema and as a diuretic. According to previous reports, it has anti-cancer, anti-gastritis, and anti-inflammation effects. However, the improvement effect of T. platycarpum on rheumatoid arthritis has not been investigated. The anti-oxidative and anti-inflammation effects of the aerial parts of T. platycarpum are different from those of its subterranean parts. Thus, we evaluated the effect of the water extracts of Taraxaci radix (WTR) on type II collagen-induced rheumatoid arthritis (CIA) in animal models.
Rheumatoid arthritis was induced by type II collagen. WTR (100㎎/㎏ and 500㎎/㎏) was administered to the animal models. Methotrexate was used as the positive control. The levels of interleukin-6, TNF-alpha, and type II collagen IgG in the animals were measured by using enzyme-linked immunosorbent assay. Treatment with 500㎎/㎏ WTR decreased the serum levels of interleukin-6, TNF-alpha, and collagen IgG in the CIA models. Moreover, treatment with WTR diminished the arthritis-induced swelling of the hind legs and monocyte infiltration in the bloodvessels of the animal models.
These results indicate that WTR has the potential to improve rheumatoid arthritis by reducing the levels of inflammatory cytokines such as interleukin-6 and TNF-alpha. However, further experiments are required to elucidate the influence of WTR on signal transduction in vitro and in vivo.
Keywords:
Taraxaci radix, Autoimmune Disease, Rheumatoid Arthritis서 언
류마티스관절염은 만성적인 전신성 자가 면역 질환중 하나로, 활막의 염증반응과 관절의 부종 및 압통을 느끼게 하며, 연골 및 뼈를 손상시키는 특징을 가지고 있다 (Lee and Weinblatt, 2001). Furst 와 Emery (2014)의 보고에 의하면, 류마티스 관절염은 활막에서 일어나는 염증에 기인하고 다음과 같은 특징을 나타낸다. 1) 활막 세포의 증가, 2) 염증반응에 따른 혈관신생, 3) 다양한 염증세포의 침윤, 4) 여러 가지 염증 매개물질과 단백질 분해 인자의 발현 증가가 쉽게 관찰되는 특징을 가진다고 하였다. Matrix metalloproteinases (MMPs)를 포함한 단백질 가수분해효소, interleukin 6 (IL-6)와 tumor necrosis factor alpha (TNF alpha)를 포함한 염증 매개물질들이 활막염증에 관여한다고 보고되어 있고 이에 따라 IL-6의 길항제인 tocilizumab과 TNF alpha의 길항제인 infliximab을 류마티스관절염 치료에 사용된다. (Feldmann et al., 1996; Cheon et al., 2015). 뿐만 아니라 면역을 매개로하는 염증 반응을 통해 류마티스관절염이 초래되는 것으로 알려져 있음에 따라, 이를 근거로 하는 다양한 생물학적 제제가 연구되고 있다 (Kim et al., 2009; Kwon and An, 2013; Kim et al., 2013a; Seo and Jeong, 2014).
민들레는 국화과에 속하는 다년생 초본으로, 보고에 따르면 민들레 전초는 우리나라에서 포공영이라는 이름으로 불리며 오랫동안 이뇨제로 사용된 약용식물이다 (Kim et al., 2013b). 국내에 자생되고 있는 민들레는 대표적으로 흰민들레 (Taraxacum coreanum Nakai), 민들레 (Taraxacum platycarpum H. Dahlstedt), 서양민들레 (Taraxacum officinale Weber) 등이 알려져 있다 (Choi et al., 2013). 민들레는 lusine과 leucine을 포함한 필수 아미노산이 함유되어 있다고 알려져 있으며, 비타민 C, taraxasterol, chilin 등 여러 성분이 분리되는 것으로 보고되어 있다 (Kang et al., 2000; Ryu et al., 2012). Taraxasterol은 pentacyclictriterpene으로 민들레의 주요성분으로 보고되어 있고 염증매개물질의 분비를 억제하여 관절염과 밀접한 여러 염증반응을 억제시키는 활성이 있다고 알려져 있다 (Piao et al., 2015; Wang et al., 2016). 여러 연구 결과에 따르면 민들레는 부위별 영양분과 항산화 및 항균활성의 차이가 나타난다고 보고됨에 따라 부위별로 세분화해서 효능을 평가하는 것이 중요할 것으로 예상된다 (Kang et al., 2002; Lee and Lee, 2008).
민들레는 관절염 억제 활성이 보고된 taraxasterol과 염증 억제 활성을 지닌 다양한 성분을 함유하였지만 민들레의 부위별 추출물이 관절염을 개선시킬 수 있는지에 대한 효능은 보고되어 있지 않음으로써 본 연구에서는 민들레 뿌리 물 추출물을 이용하여 제2형 콜라겐으로 유도된 류마티스 관절염 동물모델에서 형태학적 및 조직학적 분석과 염증에 관련된 염증매개물질을 분석하여 류마티스 관절염의 특징을 개선시킬 수 있는지 알아보고자 하였다.
재료 및 방법
1. 실험재료와 추출물의 제조
본 연구에 사용한 민들레 (Taraxacum platycarpum H. Dahlstedt) 뿌리는 전남대학교 생물학과 임형탁교수와 목포대학교 한약자원학과 김휘교수의 동정을 거쳤다. 사용된 시료의 확증표본은 한약진흥재단 한약자원본부에 보관하고 있다. 모든 실험재료는 세척한 후 열풍건조기에서 일주일간 50℃ 조건으로 건조하였다.
건조된 시료 1,600 g을 분쇄하여 물을 시료 무게의 10 배를 넣은 후, 환류 냉각추출방법을 사용하여 105℃에서 5 시간, 2회 반복하여 추출 후 대형 회전감압농축기 (Eyela, NVC-2200, ToKyo, Japan)를 이용해 55℃에서 농축하였다.
추출물들은 filter paper (Thermo Fisher Scientific Inc., Waltham, MA, USA)를 사용하여 여과한 뒤, 동결건조기를 이용해 건조하였다.
실험재료는 473 g을 수득하여 약 29%의 수율을 확인하였고, 건조된 파우더는 0.5% carboxymethyl cellulose (CMC, Sigma-Aldrich Co., St. Louis, MO, USA)에 녹인 뒤 사용하였다.
2. 실험 동물 및 처치
본 실험은 동물보호법 (제정 1991년 5월 31일 법률 제 4379호, 일부개정 2015년 1월 20일 법률 제 13023호)에 근거한 한약진흥재단 한약자원본부의 동물실험윤리위원회에 의해 승인되었다 (승인번호: NIKOM-2017-002).
수컷 6 주령 DBA/1 마우스를 오리엔트 바이오 (Jeongeup, Korea)에서 구입하였으며, 다섯 그룹으로 분리하였고 마릿수는 다음과 같다 (정상대조군 n = 7, 음성대조군 n = 7, 양성대조군 n = 7,100㎎/㎏ 민들레 뿌리 물 추출물 투여군 n = 7,500 ㎎/㎏ 민들레 뿌리 물 추출물 투여군 n = 7).
Immunization grade bovine type II collagen (Chondrex, Redmond, WA, USA)는 complete Freund’s adjuvant (CFA, Sigma-Aldrich Co., St. Louis, MO, USA) 또는 incomplete Freund’s adjuvant (IFA, Sigma-Aldrich Co., St. Louis, MO, USA)에 완전히 녹여 사용하였다. 총 2 주 동안 류마티스 관절염을 유도하였다.
첫 번째 주입은 bovine type II collagen을 CFA에 1 : 1 비율로 녹여 마우스 꼬리 기저부에 100㎕를 주입하였다. 일주일 뒤, bovine type II collagen을 IFA에 1 : 1 비율로 녹여 마우스 꼬리 기저부에 100㎕를 주입하였다.
류마티스 관절염을 모두 유도한 뒤, 양성대조군 그룹은 methotrexate (MTX)를 0.2㎎/㎏ 농도로 3 주 동안 경구투여 하였고, 민들레 뿌리 물 추출물 투여군은 각각 100 또는 500㎎/㎏ 농도로 3 주 동안 경구투여 하였다. 실험에 사용된 투여량은 여러 실험을 참고하여 선정하였고 (Fujita et al., 2001; Watcho et al., 2006; Patel et al., 2012, 2015), 실험이 끝난 뒤 실험동물은 IACUC의 실험동물 관리 기준에 따라 이산화탄소를 과호흡시켜 안락사를 진행하였다.
3. 점수화
류마티스 관절염 스코어는 류마티스 관절염이 유도된 후부터 일주일 마다 진행하였으며, 각각 세 번씩 독립적으로 측정하였다. 스코어는 Endale 등 (2013)의 방법을 통해 진행하였으며 수치는 다음과 같다 (0; symptomless, 2; erythema, 4; mild swelling and erythema, 6; mild swelling, erythema from the tarsals to the ankle, 8; moderate swelling, erythema from the metatarsal joints to the ankle, 10; severe swelling and erythema from the foot to the ankle).
조직 스코어는 이전에 보고된 방법 (Nishikawa et al., 2003; Sun et al., 2011)에 따라 조직 내 염증을 현미경으로 관찰하였고 수치는 다음과 같다 (0; normal, 1; cell infiltration in synovial membrane, 2; cartilage erosion, 3; erosion of subchondral bone, and 4; loss of joint integrity and ankylosis).
4. Hematoxylin과 eosin 염색
적출된 다리는 10% NBF에 고정하여, 조직처리 과정을 통해 파라핀으로 포매하였다. 포매가 끝난 다리 조직은 활막과 관절이 보이도록 5㎛ 두께로 절편을 제작하였으며, Dako Mayer’s Hematoxylin (Agilent Technologies Inc., Santa clara, CA, USA)과 Eosin Y (Sigma-Aldrich Co., St. Louis, MO, USA)를 이용해 염색한 뒤 광학현미경하에 관찰하였다.
5. Enzyme-linked immunospecific assay (ELISA)
혈청내 존재하는 IL-6와 TNF-alpha의 비율을 측정하기 위해 ELISA를 수행하였다. 안락사 후에 전혈을 채취한 뒤 BD vacutainer™ SST tube (Thermo Fisher Scientific Inc., Waltham, MA, USA)에 담아 실온에 10 분간 방치하고 4,000 rpm, 4℃ 조건에서 10 분간 원심분리 하였다. 분리된 혈청은 Mouse IL-6 DuoSet ELISA (DY406-05, R&D systems, Minneapolis, MN, USA)과 Mouse TNF-alpha DuoSet ELISA (DY410-05, R&D systems, Minneapolis, MN, USA)를 사용하였고, 실험은 제조사에서 제공하는 프로토콜에 따라 수행하였다.
6. 통계처리
통계처리는 SPSS (Chicago, IL, USA)을 이용하여 통계처리 하였고, 평균값과 표준편차를 구하였다. 군 간의 평균값의 차이를 검증하기 위하여 일원배치 분산분석 (One-way ANOVA)을 한 후, Tukey-Kramer Multiple Comparison Test과 Tukey Post Hoc Test를 사용하여 유의수준 p < 0.05 수준에서 통계적인 차이를 검증하였다.
결과 및 고찰
1. 제2형 콜라겐에 의해 유도된 관절의 부종에 대한 민들레 뿌리 물 추출물의 개선효과
류마티스 관절염 동물 모델에서 민들레 (Taraxacum platycarpum H. Dahlstedt) 뿌리 물 추출물 (WTR)이 형태학적인 특징을 개선시킬 수 있는지 알아보기 위해 실험을 진행하였다. 류마티스 관절염 유도군과 비교하였을 때 투여 3 주차부터 양성대조군 (methotrexate, MTX) 그룹의 개선효과가 유의적으로 나타났으며, 민들레 뿌리 물 추출물 100 또는 500㎎/㎏ 투여군은 투여 4 주차부터 부종과 홍반이 개선되는 것으로 나타났다 (Fig. 1A and 1B). 실험 기간이 길어질수록 대조군인 CIA도 arthritis score가 개선되는 효과를 나타내었는데, 이는 류마티스 관절염 유도 후 부종이 자연적으로 줄어들게 되어 상대적인 arthritis score가 감소되는 것으로 나타났다 (De et al., 2017; Sun et al., 2017). 정상적인 활막은 백혈구들이 침윤되어 있고, 활막액은 전염증성 매개인자가 존재하여 fibroblast-like synoviocyte, 단핵구 (mononcyte), 대식세포 (macrophage) 및 수지상세포 (dendritic cell)와 상호작용하여 면역반응에 쉽게 반응할 수 있어 관절부위에 부종이 두드러지게 나타나는 경향이 있는 것으로 알려져 있다 (Burmester et al., 1983). 또한 type II collagen에 의해 유도된 류마티스 관절염은 synovial hyperplasia, pannus formation 및 염증활성을 유도한다고 알려져 있고 (Song et al., 2015), 민들레 뿌리물 추출물이 이러한 특징을 개선시키는 효과가 있다고 사료되어, 관절의 조직학적 분석 및 류마티스 관절염에 관여하는 특이적인 염증매개인자를 측정하는 실험을 진행하였다.
Improvement effect of WTR on type II collagen-induced swelling and erythema of hind legs. Mice were separated 5 group (NOR; normal, CON; CIA, MTX; CIA + MTX, CIA + 100㎎/㎏ WTR, CIA + 500㎎/㎏ WTR, n = 7). (A) Rheumatoid arthritis score was assessed weekly beginning from 14 days of second immunization. Examiners for three times per week. Clinical assessment as follows; 0 = symptomless, 2 = erythema, 4 = mild swelling and erythema, 6 = mild swelling, erythema from the tarsals to the ankle, 8 = moderate swelling, erythema from the metatarsal joints to the ankle, 10 = severe swelling and erythema from the foot to the ankle. Morphological analysis was carried out on hind legs. Data are presented as mean ± SEM (n = 7). *p < 0.05, versus CON group by One-way ANOVA with Tukey-Kramer Multiple Comparison Test. CIA, type II collagen induced rheumatoid arthritis. MTX; methotrexate, WTR; water extracts of Taraxaci radix.
2. 활막 염증세포 침윤과 제2형 콜라겐 자가항체에 대한 민들레 뿌리 물 추출물의 개선효과
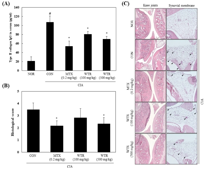
보고에 따르면 류마티스 관절염에 걸린 환자의 혈청과 활막액에 type II collagen에 대한 자가항체가 존재하는 것이 보고되어 있으며 (Jung et al., 2003), 활막에 단핵구를 비롯한 여러 염증세포들이 침윤되는 것으로 알려져 있다. 염증세포의 침윤은 T세포 및 B세포와 함께 관절 및 활막에서 염증매개인자를 생성하는데 이는 류마티스 관절염에서 관절을 악화시키는 여러 과정중 하나에 속한다 (Gordon and Taylor, 2005). 이러한 이유에 따라 민들에 뿌리 물 추출물이 활막 염증세포 침윤과 제2형 콜라겐 자가항체에 대해 개선효과를 나타낼 수 있는지 알아보고자 실험을 진행하였다. 혈청에서 제2형 콜라겐의 자가항체를 측정한 결과, 류마티스 관절염 유도군은 107.3 ± 13.5 pg/㎖로 증가되었고 양성대조군은 53.9 ± 11.6 pg/㎖로 유의적으로 감소되었으며, 100 또는 500㎎/㎏ 농도의 민들레 뿌리 물 추출물 투여군은 각각 80.6 ± 5.8과 69.7 ± 6.2 pg/㎖로 500㎎/㎏ 민들레 뿌리 물 추출물 투여군이 100㎎/㎏ 투여군에 비해 효과가 높았지만 양성대조군에 비해 개선효과가 낮았다 (Fig. 2A). H&E 염색을 통해 관절 및 활막 조직 내변화를 사진과 그래프로 나타낸 결과, 류마티스 관절염 유도군에 비해 양성대조군과 500㎎/㎏ 민들레 뿌리 물 추출물 투여군이 활막의 염증세포 침윤이 현저히 줄어들어 유의적으로 개선효과를 나타내었다 (Fig. 2B and 2C).
Improvement effect of WTR on type II collagen IgG level and infiltration of inflammatory cell in synovial membrane. mice were separated 5 group (NOR; normal, CON; CIA, MTX; CIA + MTX, CIA + 100㎎/㎏ WTR, CIA + 500㎎/㎏ WTR, n = 7). (A) Type II collagen IgG in serum are analyzed by ELISA. (B) Histological score determined on H&E stained sections in different groups. Histologic scoring of inflammation and bone erosion was performed by three independent observers. (C) Representative images were stained by hematoxylin and eosin (H&E) staining, infiltration of inflammatory cell was indicated with black arrowhead. Data are presented as mean ± SEM (n = 7). #p < 0.05, versus normal group; *p < 0.05, versus CON group. Between groups comparisons were conducted using one-way ANOBA with Tukey Post Hoc Test. Statistical analysis for histological score was conducted using one-way ANOVA with Tukey-Kramer multiple comparison test. CIA, type II collagen induced rheumatoid arthritis, MTX; methotrexate, WTR; water extracts of Taraxaci radix.
Methotrexate는 항암제로 이용되기 시작하다가 류마티스 관절염 및 전신 류마티스 질환에 효과를 나타내어 흔히 사용되는 약물로 알려져 있으며, aminoumidazole carboximide ribonucleoide (AICAR), dihydroflate reductase (DHFR)와 transformylase (ATIC)를 포함한 세포내부 면역 및 염증반응에 관여하는 단백질 인자를 억제하는 기능을 가져 세포 외부에서 작용하는 adenosine (아데노신)을 증가시키고 pyrimidine (피리미딘)의 합성을 저해한다고 알려져 있다. 이러한 반응은 단핵구 및 대식세포를 포함하는 여러 면역세포에서 염증매개인자로 작용하는 TNF-alpha, interleukin-12, interleukin-6 및 interleukin-8의 생성을 억제해 염증반응을 억제한다 (Whittle and Hughes, 2004). 이에 따라, 민들레 뿌리 물 추출물이 methotrexate와 마찬가지로 염증을 억제하는 반응을 통해 제2형 콜라겐 자가항체와 조직 내부에 침윤된 염증세포의 수를 개선시키는 효과를 나타내었다고 사료되지만 이를 보완하기 위해 혈청에 존재하는 TNF-alpha와 interleukin-6를 측정하는 실험을 진행하였다.
3. 염증매개인자에 대한 민들레 뿌리 물 추출물의 개선 효과
류마티스 관절염에서 염증매개인자로 흔히 알려져 있는 TNF-alpha와 interleukin-6는 염증반응을 증폭 또는 억제하고, 류마티스 환자의 관절 및 활막에 풍부하게 존재할 뿐만 아니라 단핵구와 염증성 호중구의 유입 증가와 collagenase 및 stromelysin등의 단백질 분해효소 생산을 촉진시킨다고 보고되어 있다 (Saxne et al., 1988; Shingu et al., 1993). 이러한 이유에 따라, 민들레 뿌리 물 추출물이 혈청 내 TNF-alpha 및 interleukin-6의 수준을 개선시킬 수 있는지 알아보고자 실험을 진행하였다. 혈청을 통해 TNF-alpha의 수준을 측적해본 결과 류마티스 관절염 유도군은 101.7 ± 21.8 pg/㎖로 정상대조군과 비교하였을 때 유의적으로 증가하였으며 양성대조군은 39.6 ± 4.4 pg/㎖, 100 또는 500㎎/㎏ 민들레 뿌리 물 추출물은 각각 82.7 ± 3.4 pg/㎖와 45.8 ± 7.9 pg/㎖로 나타났다 (Fig. 3A). 다음으로 interleukin-6의 혈청 농도는 류마티스 관절염이 408.7 ± 18.4 pg/㎖, 양성대조군은 126.6 ± 17.5 pg/㎖, 100 또는 500㎎/㎏ 민들레 뿌리 물 추출물은 각각 260.4 ± 15.5pg/㎖와 190.0 ± 13.2 pg/㎖로 나타났다 (Fig. 3B). 결과를 종합했을 때, 류마티스 관절염 유도군을 제외한 실험군은 모두 유의적으로 염증매개인자를 개선시킨 것으로 나타났다.
WTR administration decreased the serum level of IL-6 and TNF-alpha on type II collagen-induced rheumatoid arthritis models. Mice were separated 5 group (NOR; Normal, CON; CIA, MTX; CIA + MTX, CIA + 100 ㎎/㎏ WTR, CIA + 500 ㎎/㎏ WTR, n = 7). (A-B) TNF-alpha and IL-6 in serum are analyzed by ELISA. Data are presented as mean ± SEM (n = 7). #p < 0.05, versus normal control group; *p < 0.05, versus CON group. Between groups comparisons were conducted using one-way ANOBA with Tukey Post Hoc Test. CIA, type II collagen induced rheumatoid arthritis, MTX; methotrexate, WTR; water extracts of Taraxaci radix.
TNF-alpha는 대부분 활성화된 대식세포와 T lymphocyte에 의해 생성되며, 혈관 내피에서 endothelial leukocyte와 상호작용하여 염증반응과 ICAM-1 (intercellular adhesion molecule 1), VCAM-1 (vascular cell adhesion molecule 1) 및 E-selectin을 포함한 adhesion molecule의 발현을 촉진시킨다 (Bradley, 2008). Interleukin-6는 염증 초기단계에서 합성되며, 파골세포 활성화를 통한 관절의 파괴와 호중구 (neutrophil)의 이동에 관여할 뿐만 아니라 자가면역반응에서 항체를 생성하는 B세포의 성숙에 작용한다 (Tanaka et al., 2014). 민들레뿌리 물 추출물은 이러한 TNF-alpha 및 interleukin-6를 감소시키는 것으로 결과에 나타났는데, 이러한 개선 효과는 파골세포 활성화를 억제하고 endotherial cell의 pannus 형성 및 항체의 과형성에 관여할 것으로 예상되며, 이를 확인하기 위해 동물 모델에서 여러 염증세포의 상태 및 단백질 발현 측정과 조직 내부에 염증매개물질을 측정하는 추가 실험이 필요하다고 생각된다.
Acknowledgments
본 연구는 보건복지부 한국 토종자원의 한약재기반구축사업 지원에 의해 이루어진 결과로 이에 감사드립니다.
REFERENCE
-
Bradley, JR., (2008), TNF-mediated inflammatory disease, Journal of Pathology, 214, p149-160.
[https://doi.org/10.1002/path.2287]
-
Burmester, GR, Dimitriu-Bona, A, Waters, SJ, and Winchester, RJ., (1983), Identification of three major synovial lining cell populations by monoclonal antibodies directed to Ia antigens and antigens associated with monocytes/macrophages and fibroblasts, Scandinavian Journal of Immunology, 17, p69-82.
[https://doi.org/10.1111/j.1365-3083.1983.tb00767.x]
-
Cheon, YH, Kim, HO, Suh, YS, Hur, JH, Jo, WY, Lim, HS, Hah, YS, Sung, MJ, Kwon, DY, and Lee, SI., (2015), Inhibitory effects for rheumatoid arthritis of dietary supplementation with resveratrol in collagen-induced arthritis, Journal of Rheumatic Diseases, 22, p93-101.
[https://doi.org/10.4078/jrd.2015.22.2.93]
-
Choi, KH, Nam, HH, and Choo, BK., (2013), Effect of five Korean native Taraxacum on antioxidant activity and nitric oxide production inhibitory activity, Korean Journal of Medicinal Crop Science, 21, p191-196.
[https://doi.org/10.7783/kjmcs.2013.21.3.191]
-
De, S, Manna, A, Kundu, S, de Sarkar, S, Chatterjee, U, Sen, T, Chattopadhyay, S, and Chatterjee, M., (2017), Allylpyrocatechol attenuates collagen-induced arthritis via attenuation of oxidative stress secondary to modulation of the MAPK, JAK/STAT, and Nrf2/HO-1 pathways, Journal of Pharmacology and Experimental Therapeutics, 360, p249-259.
[https://doi.org/10.1124/jpet.116.238444]
-
Endale, M, Lee, WM, Kwak, YS, Kim, NM, Kim, BK, Kim, SH, Cho, JY, Kim, S, Park, SC, Yun, BS, Ko, DH, and Rhee, MH., (2013), Torilin ameliorates type II collagen-induced arthritis in mouse model of rheumatoid arthritis, International Immunophamacology, 16, p232-242.
[https://doi.org/10.1016/j.intimp.2013.04.012]
- Feldmann, M, Brennan, FM, and Mainil, RN., (1996), Role of cytokines in rheumatoid arthritis, Annual Review of Immunology, 14, p397-440.
-
Fujita, H, Yamagami, T, and Ohshima, K., (2001), Fermented soybean-derived water-soluble Touchi extract inhibits α-glucosidase and is antiglycemic in rats and humans after single oral treatments, Journal of Nutrition, 131, p1211-1213.
[https://doi.org/10.1093/jn/131.4.1211]
-
Furst, DE, and Emery, P., (2014), Rheumatoid arthritis pathophysiology: Update on emerging cytokine and cytokine-associated cell targets, Rheumatology, 53, p1560-1569.
[https://doi.org/10.1093/rheumatology/ket414]
-
Gordon, S, and Taylor, PR., (2005), Monocyte and macrophage heterogeneity, Nature Reviews Immunology, 5, p953-964.
[https://doi.org/10.1038/nri1733]
-
Jung, YO, Hong, SJ, and Kim, HY., (2003), Role of immune response to type II collagen in the pathogenesis of rheumatoid arthritis, Immune Network, 3, p1-7.
[https://doi.org/10.4110/in.2003.3.1.1]
- Kang, MJ, Seo, YH, Kim, JB, Shin, SR, and Kim, KS., (2000), The chemical composition of Taraxacum officinale consumed in Korea, Korean Journal of Food and Cookery Science, 16, p182-187.
- Kang, MJ, Shin, SR, and Kim, KS., (2002), Antioxidative and free radical scavenging activity of water extract from dandelion(Taraxacum officinale), Korean Journal of Food Preservation, 9, p253-259.
- Kim, GS, Kim, HJ, Lee, DY, Choi, SM, Lee, SE, Noh, HJ, Choi, JG, and Choi, SI., (2013a), Effects of supercritical fluid extract, shikonin and acetylshikonin from Lithospermum erythrorhizon on chondrocytes and MIA-induced osteoarthritis in rats, Korean Journal of Medicinal Crop Science, 21, p466-473.
- Kim, WJ, Moon, BC, Ji, Y, Lee, YM, and Kim, HK., (2013b), Genetic diversity of the original plant for Taraxaci Herba, Taraxacum spp. by the analysis of AFLP, Korean Journal of Medicinal Crop Science, 21, p247-254.
- Kim, YO, Lee, SW, and Lee, SE., (2009), Effects of Achyrantes japonica on carrageenan-induced arthritis rat model, Korean Journal of Medicinal Crop Science, 17, p470-474.
- Kwon, OG, and An, HD., (2013), Articular cartilage protective effects of Kangwhaldoche-tang(Qiānghuódǎozhì-tāng) aqueous extracts on the adjuvant-induced rat rheumatoid arthritis, Journal of Oriental Rehabillitation Medicine, 23, p49-61.
- Lee, DM, and Weinblatt, ME., (2001), Rhematoid arthritis, Lancet, 358, p903-911.
- Lee, HH, and Lee, SY., (2008), Cytotoxic and antioxidant effects of Taraxacum coreanum Nakai. and T. officinale WEB. extracts, Korean Journal of Medicinal Crop Science, 16, p79-85.
-
Nishikawa, M, Myoui, A, Tomita, T, Takahi, K, Nampei, A, and Yoshikawa, H., (2003), Prevention of the onset and progression of collagen-induced arthritis in rats by the potent p38 mitogen-activated protein kinase inhibitor FR167653, Arthritis and Rheumatology, 48, p2670-2681.
[https://doi.org/10.1002/art.11227]
-
Patel, SB, Santani, D, Patel, V, and Shah, M., (2015), Anti-diabetic effects of ethanol extract of Bryonia laciniosa seeds and its saponins rich fraction in neonatally streptozotocin-induced diabetic rats, Pharmacognosy Research, 7, p92-99.
[https://doi.org/10.4103/0974-8490.147217]
- Patel, SB, Santani, D, Shah, MB, and Patel, VS., (2012), Anti-hyperglycemic and anti-hyperlipidemic effects of Bryonia laciniosa seed extract and its saponin fraction in streptozotocin-induced diabetes in rats, Journal of Young Pharmacists, 43, p171-176.
-
Piao, T, Ma, Z, Li, X, and Liu, J., (2015), Taraxasterol inhibits IL-1β-induced inflammatory response in human osteoarthritic chondrocytes, European Journal of Pharmacology, 756, p38-42.
[https://doi.org/10.1016/j.ejphar.2015.03.012]
-
Ryu, JH, Seo, KS, Kuk, YI, Moon, JH, Ma, KH, Choi, SK, Rha, ES, Lee, SC, and Bae, CH., (2012), Effects of LED(light-emitting diode) treatment on antioxidant activities and functional components in Taraxacum officinale, Korean Journal of Medicinal Crop Science, 20, p165-170.
[https://doi.org/10.7783/kjmcs.2012.20.3.165]
-
Saxne, T, Palladino, Ma, Heinegard, D, Talal, N, and Wollheim, FA., (1988), Detection of tumor necrosis factor α but not tumor necrosis factor β in rheumatoid arthritis synovial fluid and serum, Arthritis and Rheumatology, 31, p1041-1045.
[https://doi.org/10.1002/art.1780310816]
-
Seo, HH, and Jeong, JM., (2014), Inhibitory effects of complex of Mulberry extract on degenerative arthritis, Korean Journal of Medicinal Crop Science, 22, p262-269.
[https://doi.org/10.7783/kjmcs.2014.22.4.262]
- Shingu, M, Nagai, Y, Isayama, T, Naono, T, Nobunaga, M, and Nagai, Y., (1993), The effects of cytokines on metalloproteinase inhibitors(TIMP) and collagenase production by human chondrocytes and TIMP production by synovial cells and endothelial cells, Clinical and Experimental Immunology, 94, p145-149.
-
Song, HP, Li, X, Yu, R, Zeng, G, Yuan, ZY, Wang, W, Huang, HY, and Cai, X., (2015), Phenotypic characterization of type II collagen-induced arthritis in wistar rats, Experimental and Therapeutic Medicine, 10, p1483-1488.
[https://doi.org/10.3892/etm.2015.2667]
-
Sun, J, Jia, Y, Li, R, Guo, J, Sun, X, Liu, Y, Li, Y, Yao, H, Liu, X, Zhao, J, and Li, Z., (2011), Altered influenza virus haemagglutinin (HA)-derived peptide is potent therapy for CIA by inducing Th1 to Th2 shift, Cellular and Molecular Immunology, 8, p348-358.
[https://doi.org/10.1038/cmi.2011.5]
-
Sun, Y, Zhao, DL, Liu, ZX, Sun, XH, and Li, Y., (2017), Beneficial effect of 20-hydroxyecdysone exerted by modulating antioxidants and inflammatory cytokine levels in collagen-induced arthritis: A model for rheumatoid arthritis, Molecular Medicine Reports, 16, p6162-6169.
[https://doi.org/10.3892/mmr.2017.7389]
- Tanaka, T, Narazaki, M, and Kishimoto, T., (2014), IL-6 in inflammation, immunity, and disease, Cold Spring Harbor Perspectives in Biology, https://cshperspectives.cshlp.org/content/early/2014/09/04/cshperspect.a016295.short.6:a016295 (cited by 2019 Jan 8).
-
Wang, S, Wang, Y, Liu, X, Guan, L, Yu, L, and Zhang, H., (2016), Anti-inflammatory and anti-arthritic effects of taraxasterol on adjuvant-induced arthritis in rats, Journal of Ethnopharmacology, 187, p42-48.
[https://doi.org/10.1016/j.jep.2016.04.031]
- Watcho, P, Zelefack, F, Nguelefack, TB, Ngouela, S, Telefo, PB, Kamtchouing, P, Tsamo, E, and Kamanyi, A., (2006), Effects of the aqueous and hexane extracts of Mondia whitei on the sexual behaviour and some fertility parameters of sexually inexperienced male rats, African Journal of Traditional, Complement and Alternative Medicines, 4, p37-46.
- Whittle, SL, and Hughes, RA., (2004), Folate supplementation and methotrexate treatment in rheumatoid arthritis: A review, Rheumatology, 43, p267-271.