Korean Journal of Medicinal Crop Science
[ ARTICLE ]
Korean Journal of Medicinal Crop Science - Vol. 24, No. 6, pp.471-478
ISSN: 1225-9306 (Print) 2288-0186 (Online)
Print publication date Dec 2016
Received 26 Oct 2016 Revised 21 Nov 2016 Reviewed 8 Dec 2016 Reviewed 19 Dec 2016 Accepted 21 Dec 2016
DOI: https://doi.org/10.7783/KJMCS.2016.24.6.471

Loperamide로 유도된 변비모델에서 Lactobacillus casei에 의해 발효된 볶은 결명자 물 추출물의 효과

노종현* ; 정호경* ; 이무진* ; 장지훈* ; 심미옥* ; 정자균* ; 이기호* ; 안병관* ; 조정희* ; 장민철** ; 용주현** ; 조현우*,
*한약진흥재단
**해남자연농업영농조합법인
Effect of Roasted Water Extract of Fermented Cassia tora L. by Lactobacillus casei on the Loperamide-Induced Constipation Model in Rats.
Jong Hyun Nho* ; Ho Kyung Jung* ; Mu Jin Lee* ; Ji Hun Jang* ; Mi Ok Sim* ; Ja Kyun Jung* ; Ki Ho Lee* ; Byeong Kwan An* ; Jung Hee Cho* ; Min Cheol Jang** ; Ju Hyun Yong** ; Hyun Woo Cho*,
*National Development Institute of Korean Medicine, Jangheung 38540, Korea.
**Heanam Natural Farming Association Corporation, Heanam 59021, Korea.

Corresponding author: +82-61-860-2873 thej0123@naver.com

© The Korean Society of Medicinal Crop Science. All rights reserved.
This is an Open-Access article distributed under the terms of the Creative Commons Attribution Non-Commercial License ( http://creativecommons.org/licenses/by-nc/3.0 ) which permits unrestricted non-commercial use, distribution, and reproduction in any medium, provided the original work is properly cited.

Abstract

Background:

Constipation is one of the most common functional gastrointestinal disorder. The present study examined the ability of water extract of fermented (FRC) and non-fermented (NFRC) roasted Cassia tora to improve intestinal function and reduce constipation in a rat constipation model.

Methods and Results:

Different concentration of FRC and NFRC were orally administered loperamide (5 ㎎/㎏; LOP) reduced the number, weight, and water content of feces, as well as intestinal transit motility. However, 24 h-(24 hour fermented roasted-Cassia tora) 300 ㎎/㎏ FRC administration increased the number, weight, and water concent of feces, compared to that seen in the LOP group, and also improve intestinal transit mitility and, the thickness of distal colon and mucous fluid.

Conclusions:

The results of the present study indicated that LOP-induced constipation was improved by treatment with FRC. Therefore FRC could be used to develop functional foods or natural medicine for constipation. However, further study is needed to clarify how fermentation improves the medicinal properties of roasted C. tora.

Keywords:

Cassia tora L., Cassiae semen, Constipation, Laxative, Loperamide

서 언

변비는 인구집단 유병률이 14% 이상으로 보고된 흔한 질환 이다. 환자마다 변비에 대해 표현하는 내용이 다양하지만, 하 나의 증상군이기 때문에 객관적으로 정의하기가 쉽지 않다 (Jun et al., 2006). 변비가 환자의 생명을 위협하는 중증 질환 은 아니지만, 치료 처방에도 불구하고 개선되지 않았다고 응 답한 환자의 비율이 50%에 이를 정도로 개선이 어려운 질환 이다. 변비환자 90% 이상은 질환 없이 발생하는 만성 특발성 변비이며, 장관 내 병소, 대사성 질환, 특정 약물의 복용 등의 원인으로 변비가 유발되기도 한다 (Choi, 2005). 이러한 변비 의 치료에 있어 가장 중요한 점은 식이요법이다. 식이섬유는 장내 효소에 의해 소화되지 않으며, 대장에서 물을 흡수해 변 을 연하게 하고 변의 부피를 늘려 배설에 도움을 준다. 때문 에 충분한 식이섬유의 섭취는 변비의 예방 및 치료에 적절하 다 (Jung, 2011). 하지만 갑작스럽게 수용성 식이섬유를 많이 섭취하면 일부 환자들은 복부 팽만을 느낄 수 있고, 환자마다 식이섬유에 대한 반응이 다르기 때문에 섭취 시 주의가 요구 되며 (Camilleri, 2001) 이러한 부작용을 고려하였을 때 변비 의 예방 및 치료에 효과가 있는 식품 또는 천연소재의 탐색과 연구가 필요한 실정이다.

결명 (Cassia tora L.)은 콩과 (Leguminosae)에 속하는 초 본식물로써, 서아시아, 동아시아, 북부 오스트레일리아, 아프리 카에 널리 분포 한다 (Parson and Cuthbertson, 2001). 결명 자 (Cassiae semen)는 대부분 초결명 (Cassia obtusifolia L.) 과 결명의 종자를 통틀어 일컬으며, 우리나라에서 가장 많이 쓰이고 있는 결명자는 대부분 결명의 종자이다. 한방에서 결 명자는 볶아서 차와 약재로 이용되어 왔을 뿐만 아니라 (Hong et al., 2012a), 청간 (靑肝), 시력개선 효능을 가지고 고혈압, 간염, 간경변성 복수 (腹水), 습관성 변비 등에 쓰이고 있다 (Hong et al., 2012b; Jang et al., 2016; Kim et al., 1997). 또한 결명자는 볶았을 때 성분함량과 항산화 활성이 증 가할 뿐만 아니라 (Kim et al., 1990; Lee et al., 2013) 혈 압강하 효과와 혈중지질 저하 효과 (Patil et al., 2004) 등이 보고되었으나, 변비와 관련된 연구는 아직 이루어지지 않았다.

유산균은 일반적으로 probiotics라는 이름으로 알려져 있으 며 발효능력이 좋아 천연소재, 기능성식품과 같은 식품산업 에 많이 이용되고 있다 (Ha et al., 2010; Kim et al., 2015; Ling et al., 2011). 대표적으로 Lactobacillus casei와 같은 유산균이 많이 이용되며, 이 균은 식품 내에서 젖산 발효를 일으켜 식품의 부패를 방지할 뿐만 아니라 항균물질을 분비해 식중독균을 억제하고 (Yang et al., 2011), 단백질 분해, 소화 흡수성 향상과 같은 이로운 효과를 촉진한다고 알려져 있다 (Kirchhoff et al., 1989; Kim et al., 2008). 이를 일정 농도 이상 섭취 시 숙주의 대장 내에서 해로운 균의 성장과 병원성 균의 감염을 억제시키고 장내 pH를 낮춰 장내 유해세균의 증 식을 억제한다. 낮은 pH 환경은 장의 연동운동을 촉진시키고 장내 이동시간을 감소시켜 변비에 효과적이다 (Jung, 2001; Seo and Lee, 2007). 따라서 본 연구는 loperamide로 유도된 변비 유발 동물에게 볶은 결명자와 Lactobacillus casei에 의 해 발효된 볶은 결명자를 투여하여 변비 개선 효과가 있는지 알아보고자 하였다.


재료 및 방법

1. 실험 재료

실험에 사용한 결명자 (Cassia tora L.)는 전남 장흥군에서 가을에 수확된 것을 사용하였다. 발효에 이용된 유산균 (Lactobacillus casei)을 분리하기 위해 전남 해남군에서 2년간 숙성된 김치를 채취하였다. 시료는 1% CaCO3가 함유된 MRS 평판배지에 도말하여 투명환 (clear zone)을 나타내는 유 산균만 선별하여 분리하였다. 분리된 유산균은 MRS 배지 (enzymatic digest of animal tissue 10 g/ℓ, beef extract 10 g/ℓ, yeast extract 5 g/ℓ, dextrose 20 g/ℓ, sodium acetate 5 g/ℓ, polysorbate 80 1 g/ℓ, disodium phosphate 2 g/ℓ, ammonium citrate 2 g/ℓ, magnesium sulfate 0.1 g/ℓ, manganess sulfate 0.05 g/ℓ, Acumedia, Lansing, MI, USA) 에 37℃에서 150 rpm 으로 48시간 동안 배양하였다. 분리된 유산균은 27F (AGAGTTTGATCCTGGCTCAG), 1492R (GGTTACCTTGT TACGACTT) primer를 이용하여 동정하였 으며, 16S rRNA 유전자의 염기 서열은 Big DyeTM terminator v3.1 Cycle Sequencing Kits (Applied Biosystems, Forster, CA, USA)분석 키트와 ABI PRISM 3730xl DNA Analyzer (50㎝ capillary) 분석기기를 사용하여 ㈜솔젠트 (Solgent Co., Ltd., Daejeon, Korea)에서 실시하였다. 제공된 염기서열을 이용하여 NCBI에서 blast 검색을 실시하였고, MEGA 6.0 프로그램으로 Neighbor Joining 방법을 이용해 계 통도를 조사하였다. 분리된 균주는 Lactobacillus casei ATCC 334 strain과 유사하였고, 이를 실험에 사용하였다.

2. 추출물의 제조법

실험에 사용된 결명자는 믹서를 이용하여 분쇄 후 150℃에 서 10분간 볶아 사용하였다. 대조군으로 사용한 멸균 볶은 결 명자 물 추출물은 볶은 결명자의 함량이 3%가 되도록 3차 증 류수와 혼합한 뒤 멸균하여 사용하였으며, 발효 결명자 물 추 출물은 멸균 볶은 결명자 물 추출물에 유산균 전배양액의 3% 로 접종하여 37℃에서 24, 48, 72시간 동안 발효과정을 거친 후 멸균하였으며, 시료를 동결건조하고 −20℃ 이하의 냉동고 에 보관하면서 사용하였다.

3. 실험동물 사육

실험동물은 SD (sprague dawley) rat 4주령 수컷을 샘타코 (Samtako, Osan, Korea)에서 구입하여 사용하였으며, 온도 20 ± 2℃, 습도 55 ± 5%, 12시간 명암조건에서 사육하였다. 실 험동물은 구입 후 1주일 동안 순화한 다음, 각 군당 8마리씩을 배치하여 실험군을 분류하였다. 정상대조군 (NOR), loperamide 단독 투여군 (LOP), 양성대조군 (PC, dulcolax-S 200㎎/㎏), 저농도 멸균 볶은 결명자 투여군 (C-100, 100㎎/㎏), 중농도 멸균 볶은 결명자 투여군 (C-200, 200㎎/㎏), 고농도 멸균 볶은 결명자 투여군 (C-300, 300㎎/㎏), 저농도 24시간 발효 볶은 결명자 투여군 (24 h-100, 100㎎/㎏), 중농도 24시간 발 효 볶은 결명자 투여군 (24 h-200, 200㎎/㎏), 고농도 24시간 발효 볶은 결명자 투여군 (24 h-300, 300㎎/㎏), 저농도 48시 간 발효 볶은 결명자 투여군 (48 h-100, 100㎎/㎏), 중농도 48시간 발효 볶은 결명자 투여군 (48 h-200, 200㎎/㎏), 고농 도 48시간 발효 볶은 결명자 투여군 (48 h-300, 300㎎/㎏), 저농도 72시간 발효 볶은 결명자 투여군 (72 h-100, 100㎎/㎏), 중농도 72시간 발효 볶은 결명자 투여군 (72 h 200, 200㎎/㎏), 고농도 72시간 발효 볶은 결명자 투여군 (72 h-300, 300㎎/㎏)으로 군을 분리하였다. 정상대조군을 제 외한 모든 군에 5 ㎎/㎏ 용량의 loperamide (Sigma-Aldrich Co., St. Louis, MO, USA)를 4일 동안 12시간 주기로 피하 주사 하여 변비를 유발하였고, loperamide 투여 30분 후에 각 시료들을 경구투여 하였다. 동물실험은 한방산업진흥원 동물실 험윤리위원회 (IACUC) 규정에 의거 수행되었다 (승인번호: TKM-2015-004). 체중은 변비를 유도한 첫 날과 마지막 날에 측정하였고, 사료 섭취량 및 음수량은 실험기간 동안 매일 측 정하였다

4. 변의 개수, 중량 및 수분함량 측정

각 실험군의 변은 loperamide 투여시작 후 3일째 되는 날, 케이지안의 깔집과 변을 깨끗하게 갈아준 뒤, 24시간 후에 수 거하였으며, 변의 개수 및 중량을 측정하였다. 개체 당 변의 수분함량은 변을 70℃ 건조기에서 24시간동안 건조시킨 뒤, 건조 전후 중량을 측정하여, 차이를 이용해 수분함량을 측정 하였다.

5. 장 운동성 측정

장 운동성을 측정하기 위해 마지막 약물 투여 30분 후, carmine (Sigma-Aldrich Co., St, Louis, MO, USA) 1㎖ (60㎎/㎖ in 0.5% carboxymethyl cellulose)을 경구투여 하였 다. 경구투여 3시간 뒤에 실험동물을 희생시켜 장을 적출한 뒤 장내 carmine의 이동거리를 측정하였다.

6. 대장관내 점액질의 분비효과 측정

대장은 맹장부터 직장까지 양쪽 부위를 적출하였다. 적출한 대장관을 10% formalin으로 고정하여, 조직처리 과정을 거치 고 파라핀으로 포매하였으며 파라핀 포매 과정을 거친 조직은 5㎛ 두께로 절편을 제작하고, alcian blue (pH 2.5) 염색을 통해 광학현미경으로 관찰하였다.

7. 통계처리

본 실험에서 얻은 결과에 대해서는 평균 ±표준편차 (mean ± SD)로 나타내었으며, 실험군 간의 유의성을 검정하기 위 해 SPSS (statistical package for social science Inc., Chicago, IL, USA) 통계 프로그램을 사용하여 일원변량분석 (One way ANOVA)을 실시하였다. 유의성이 있는 경우, p < 0.05 수준에서 Duncan’s Multiple Range Test (DMRT)를 실시하였다.


결과 및 고찰

1. 사료 섭취량, 음수량 및 체중 증가량

실험기간 동안 실험동물의 사료 섭취량과 음수량 및 체중 증 가량에 미치는 NFRC (non-fermented roasted-Cassia tora water extract, 비발효 볶은 결명자 물 추출물) 또는 FRC (fermented roasted-Cassia tora water extract, 발효 볶은 결명자 물 추출물) 의 영향을 확인하기 위해 실험결과를 측정하였을 때, 사료 섭 취량과 체중에서 loperamide 단독 투여군 (LOP)과 정상 대조 군 (NOR)은 유의적인 차이가 없었을 뿐만 아니라 다른 실험군 도 크게 차이가 나타나지 않았다. 음수량은 정상대조군 (NOR) 에 비해 모든 실험군이 조금 감소한 결과가 나타났다 (Table 1). 이는 loperamide 투여에 의해 변하는 식이량 및 체중 간 유 의적인 차이가 없다고 보고한 기존 연구와 유사하였으며 (Kim et al., 2011), 본 실험 조건하에서도 모든 추출물이 실험동물의 체중을 감소시키지 않은 결과로 보아 볶은 결명자 (Cassia tora L.) 물 추출물 또는 발효 볶은 결명자 물 추출물은 실험동물에 게 독성을 나타내지 않는 것으로 사료되었다.

Changes of final body weight, food intakeand water intake by NFRC (Non-fermented roasted-Cassia tora L. water extract) or FRC (Fermented roasted-Cassia tora L. water extract) in loperamide-induced constipation rats.

2. 변의 개수 및 중량

Loperamide 투여 후 변의 평균 개수는 정상대조군 (NOR) 이 55.5 ± 2.1개에서 loperamide 투여군 (LOP)이 42.2 ± 2.2개 로 감소하여 loperamide에 의해 변비가 유발된 것을 확인하였 고, 양성대조군 (PC)은 loperamide에 의한 변비 유발을 충분 히 억제시키는 것을 확인할 수 있었다 (Fig. 1). 중농도 24시 간 발효 볶은 결명자 처리군 (24 h-200)과 고농도 24시간 발 효 볶은 결명자 처리군 (24 h-300)의 변 개수와 중량은 loperamide 단독 투여군 (LOP)과 비교했을 때 가장 많이 증 가했지만, 발효 시간 (48 h-100, 48 h-200, 48 h-300, 72 h- 100, 72 h-200, 72 h-300)이 늘어날수록 그 효과가 유의적으로 감소했다 (Fig. 2). 이와 같이 중농도 24시간 발효 볶은 결명 자 처리군 (24 h-200)과 고농도 24시간 발효 볶은 결명자 처 리군 (24 h-300)은 loperamide에 의해 감소된 변 개수와 중량 을 유의적으로 증가시키는 것으로 보아 loperamide에 의해 유 발되는 지사작용을 억제하여 변비를 효과적으로 개선하는 작 용이 있는 것으로 판단되었다.

Fig. 1

Effects of NFRC (Non-fermented roasted-Cassia tora L. water extract) or FRC (Fermented roasted-Cassia tora L. water extract) on number of fecal pellets in loperamideinduced constipation rats.Data represent the mean ± SD (n = 8). *Means with difference letters are significantly different at p < 0.05 by Duncan’s Multiple Range Test (DMRT). NOR; Normal group, LOP; Loperamide treated group, PC; loperamide and dulcolax-S (PC) treated group. C-100; loperamide and NFRC 100㎎/㎏ treated group, C-200; loperamide and NFRC 200㎎/㎏ treated group, C-300; loperamide and NFRC 300㎎/㎏ treated group, 24 h-100; loperamide and 24 h FRC 100㎎/㎏ treated group, 24 h-200; loperamide and 24 h FRC 200㎎/㎏ treated group, 24 h-300; loperamide and 24 h FRC 300㎎/㎏ treated group, 48 h-100; loperamide and 48h FRC 100㎎/㎏ treated group, 48 h-200; loperamide and 48 h FRC 200㎎/㎏ treated group, 48 h-300; loperamide and 48 h FRC 300㎎/㎏ treated group, 72 h- 100; loperamide and 72 h FRC 100㎎/㎏ treated group, 72 h-200; loperamide and 72 h FRC 200㎎/㎏ treated group, 72 h-300; loperamide and 72 h FRC 300㎎/㎏ treated group.

Fig. 2

Effects of NFRC (Non-fermented roasted-Cassia tora L. water extract) or FRC (Fermented roasted-Cassia tora L. water extract) on weights of fecal pellets in loperamideinduced constipation rats.Data represent the mean ± SD (n = 8). *Means with difference letters are significantly different at p < 0.05 by Duncan’s Multiple Range Test (DMRT). NOR; Normal group, LOP; Loperamide treated group, PC; loperamide and dulcolax-S (PC) treated group. C-100; loperamide and NFRC 100㎎/㎏ treated group, C-200; loperamide and NFRC 200㎎/㎏ treated group, C-300; loperamide and NFRC 300㎎/㎏ treated group, 24 h-100; loperamide and 24 h FRC 100㎎/㎏ treated group, 24 h-200; loperamide and 24 h FRC 200㎎/㎏ treated group, 24 h-300; loperamide and 24 h FRC 300㎎/㎏ treated group, 48 h-100; loperamide and 48 h FRC 100㎎/㎏ treated group, 48 h-200; loperamide and 48 h FRC 200㎎/㎏ treated group, 48 h-300; loperamide and 48 h FRC 300㎎/㎏ treated group, 72 h- 100; loperamide and 72 h FRC 100㎎/㎏ treated group, 72 h-200; loperamide and 72 h FRC 200㎎/㎏ treated group, 72 h-300; loperamide and 72 h FRC 300㎎/㎏ treated group.

본 실험에서 사용한 loperamide는 변비 유발 동물모델을 만 들 때 흔히 사용되고 있는 약물이다 (Kakino et al., 2010). 실 험 결과를 확인하였을 때 다른 연구결과와 마찬가지로 loperamide에 의해 변의 개수 및 중량이 감소되는 것을 확인할 수 있었으며, 24시간 발효 볶은 결명자 추출물이 loperamide에 의해 감소된 변의 개수 및 중량을 다시 증가시키는 결과를 확 인하였다. 결명자는 볶았을 때 온도 조건에 따라 성분함량과 항 산화 활성이 증가한다고 알려져 있고 (Kim et al., 1995; Lee et al., 2013), 식품을 발효했을 때 단백질 분해와 같은 과정을 통해 체내 흡수율이 증가된다고 알려져 있다 (Kim et al., 2007). 결명자는 아마도 볶음 공정과 발효 과정을 거쳤을 때 항산화활성 증가와 체내 흡수율 증가 같은 복합적인 과정을 통해 변비에 효과가 있다고 생각되지만 이와 관련하여 추가적 인 연구가 필요할 것으로 판단된다.

3. 변의 수분 함량

변의 수분함량을 조사한 결과, loperamide 단독 투여군 (LOP)이 정상대조군 (NOR)에 비해 유의적으로 감소하였으며 양성대조군 (POS)에서 다시 회복되었다. 모든 실험군이 loperamide 단독 투여군 (LOP)과 비교하여 농도 의존적으로 변 수분 함량을 증가시켰지만, 중농도 24시간 발효 볶은 결명 자 처리군 (24 h-200)과 고농도 24시간 발효 볶은 결명자 처 리군 (24 h-300)은 dulcolax-S 투여 양성대조군 (PC)과 비슷한 수치를 나타내었다 (Fig. 3).

Fig. 3

Effects of NFRC (Non-fermented roasted-Cassia tora L. water extract) or FRC (Fermented roasted-Cassia tora L. water extract) on water contents of fecal pellets in loperamide-induced constipation rats.Data represent the mean ± SD (n = 8). *Means with difference letters are significantly different at p < 0.05 by Duncan's Multiple Range Test (DMRT). NOR; Normal group, LOP; Loperamide treated group, PC; loperamide and dulcolax-S treated group. C-100; loperamide and NFRC 100㎎/㎏ treated group, C-200; loperamide and NFRC 200㎎/㎏ treated group, C-300; loperamide and NFRC 300㎎/㎏ treated group, 24 h-100; loperamide and 24 h FRC 100㎎/㎏ treated group, 24 h-200; loperamide and 24 h FRC 200㎎/㎏ treated group, 24 h-300; loperamide and 24 h FRC 300㎎/㎏ treated group, 48 h-100; loperamide and 48 h FRC 100㎎/㎏ treated group, 48 h-200; loperamide and 48 h FRC 200㎎/㎏ treated group, 48 h- 300; loperamide and 48 h FRC 300㎎/㎏ treated group, 72 h-100; loperamide and 72 h FRC 100㎎/㎏ treated group, 72 h-200; loperamide and 72 h FRC 200㎎/㎏ treated group, 72 h-300; loperamide and 72 h FRC 300㎎/㎏ treated group.

변비의 많은 증상 중 하나는 변의 수분감소로 인해 변이 굳 는 현상이다. 연구에 따르면, 변비가 일어났을 때 변의 중량과 수분 함량이 감소될 뿐만 아니라, loperamide는 장내 수분 분 비를 억제시킨다고 한다 (Aichbichler et al., 1998). 본 실험 에서도 마찬가지로 loperamide에 의해 변의 수분 함량이 감소 된 것을 확인하였으며, 수분 함량은 24시간 발효 볶은 결명자 추출물의 투여에 따라 증가되는 것을 확인하였다.

4. 장 운동성

장 운동성을 측정하기 위해, 실험 종료 3시간 전 염색시약 인 carmine (60㎎/㎖ in 0.5% carboxymethyl cellulose)을 1㎖ 경구투여 하였다. 3시간 후 실험동물을 희생시켰으며, 대 장관내에서 연동운동에 의해 이동한 carmine의 이동거리를 확 인하였다. 정상대조군 (NOR)은 전체 장의 54.8 ± 2.5%로 이동 한 것에 비해 loperamide 단독 투여군 (LOP)에서 31.9 ± 5.2%로 감소하여, loperamide에 의한 장 운동성 감소를 확인 할 수 있었다. 양성대조군 (PC)은 51.2 ± 3.3%로 장내 carmine 이동거리가 loperamide 단독 투여군 (LOP)과 비교해 증가되는 것을 확인 할 수 있었고, 중농도 24시간 발효 볶은 결명자 처 리군 (24 h-200)과 고농도 24시간 발효 볶은 결명자 처리군 (24 h-300)은 효과가 가장 좋게 나타났지만 발효 시간이 증가 될수록 그 효과가 감소되었다 (Fig. 4).

Fig. 4

Effects of NFRC (Non-fermented roasted-Cassia tora L. water extract) or FRC (Fermented roasted-Cassia tora L. water extract) on percentage of minimal transit in loperamide-induced constipation rats.Data represent the mean ± SD (n = 8). *Means with difference letters are significantly different at p < 0.05 by Duncan’s Multiple Range Test (DMRT). NOR; normal group, LOP; loperamide treated group, PC; loperamide and dulcolax- S (PC) treated group. C-100; loperamide and NFRC 100㎎/㎏ treated group, C-200; loperamide and NFRC 200㎎/㎏ treated group, C-300; loperamide and NFRC 300㎎/㎏ treated group, 24 h-100; loperamide and 24 h FRC 100㎎/㎏ treated group, 24 h-200; loperamide and 24 h FRC 200㎎/㎏ treated group, 24 h-300; loperamide and 24 h FRC 300㎎/㎏ treated group, 48 h-100; loperamide and 48 h FRC 100㎎/㎏ treated group, 48 h- 200; loperamide and 48 h FRC 200㎎/㎏ treated group, 48 h-300; loperamide and 48 h FRC 300㎎/㎏ treated group, 72 h-100; loperamide and 72 h FRC 100㎎/㎏ treated group, 72 h-200; loperamide and 72 h FRC 200㎎/㎏ treated group, 72 h-300; loperamide and 72 h FRC 300㎎/㎏ treated group.

Loperamide는 μ-오피오이드 수용체 (μ-opioid receptor)를 활성화 시키는 작용제로 알려져 있으며 (Holzer, 2009), 장관 근 (myenteric)에 존재하는 μ-오피오이드 수용체의 활성화는 세포내 칼슘 채널 차단, 포타슘 채널 활성화, 막 과분극과 같 은 여러 신호전달 경로에 관여한다. 그 결과 흥분성 신경전달 억제할 뿐만 아니라 (Wood and Galligan, 2004), 장의 운동 성을 감소시킨다고 알려져 있다 (Holzer, 2007). 이에 근거하 여, 실험을 하였을 때 본 연구에서도 loperamide에 의해 장 운동성이 감소되는 것을 확인하였고, 24시간 발효 볶은 결명 자 추출물을 처리하였을 때 loperamide에 의해 감소된 장내 carmine의 이동거리가 증가하는 결과로 보아 μ-오피오이드 수 용체의 신호전달 기작을 차단할 것으로 생각되지만 정확한 작 용기전에 대해서 추가적인 연구가 필요하다.

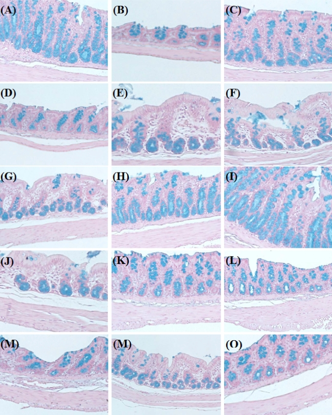
5. 조직병리학적 대장관내 점액질 분비효과

각 실험군간 대장관내 점액질 분비효과를 측정하기 위해 실 험을 진행하였다. Alcian blue (pH 2.5) 염색을 통해서 배상 세포 (goblet cell) 내에 함유된 점액질의 양을 확인했을 때, loperamide 단독 투여군 (LOP)은 정상대조군 (NOR)과 비교하 여 점액질의 양과 배상세포의 수가 감소하고 창자샘 (intestinal gland)의 형태가 일정하지 않았다. 반면에 고농도 24시간 발효 볶은 결명자 처리군 (24 h-300)은 loperamide 단독 투여군 (LOP)와 비교하여 배상세포의 수, 점액질의 양과 창자샘의 형 태를 회복시켰다 (Fig. 5). 변비가 유발되었을 때 결장 점액 (colonic mucus)의 점막보호기능 (mucosal barrier function)이 감소될 뿐 만 아니라, loperamide에 의해 변비가 유발되었을 때도 대장 내 점액질 분비를 감소시켜 장의 운동성이 감소한 다고 알려져 있다 (Loeschke et al., 1989). 본 실험에서도 마 찬가지로 loperamide 투여군에서 점액 분비가 감소되고 손상 된 창자샘을 확인할 수 있었으며, 이는 24시간 발효 볶은 결 명자 추출물을 처리하였을 때 회복되었다.

Fig. 5

Effects of NFRC (Non-fermented roasted-Cassia tora L. water extract) or FRC (Fermented roasted-Cassia tora L. water extract) on mucous secretion capacity in loperamide-induced constipation rats.(A) NOR; Normal group, (B) LOP; Loperamide treated group, (C) PC; loperamide and dulcolax-S treated group. (D) C-100; loperamide and NFRC 100㎎/㎏ treated group, (E) C-200; loperamide and NFRC 200㎎/㎏ treated group, (F) C-300; loperamide and NFRC 300㎎/㎏ treated group, (G) 24 h-100; loperamide and 24 h FRC 100㎎/㎏ treated group, (H) 24 h-200; loperamide and 24 h FRC 200㎎/㎏ treated group, (I) 24 h-300; loperamide and 24 h FRC 300㎎/㎏ treated group, (J) 48 h-100; loperamide and 48 h FRC 100㎎/㎏ treated group, (K) 48 h-200; loperamide and 48 h FRC 200㎎/㎏ treated group, (L) 48 h-300; loperamide and 48 h FRC 300㎎/㎏ treated group, (M) 72 h- 100; loperamide and 72 h FRC 100㎎/㎏ treated group, (N) 72 h-200; loperamide and 72 h FRC 200㎎/㎏ treated group, (O) 72 h-300; loperamide and 72 h FRC 300㎎/㎏ treated group.

결명자는 일정 농도이상으로 볶았을 때 성분 함량이 증가한 다고 알려져 있지만 (Kim et al., 1995) 유산균에 의해 발효 되었을 때 결명자의 유효성분과 단백질 함량이 어떻게 변화되 는지 또는 체내 흡수율이 증가됨에 따라 볶은 결명자보다 변 비에 대한 효과가 좋은 것인지에 대해선 아직까지 명확하지 않기 때문에 이에 대한 추가적인 연구가 필요할 것이라고 생 각된다.

결과를 종합하자면 고농도 24시간 발효 볶은 결명자는 loperamide에 의해 유도된 변비 모델에서 loperamide 처리에 의해 감소된 변의 개수, 중량을 증가시키고 변의 수분함량을 증가시킬 뿐 만 아니라 장 운동성을 향상시켜 변비 개선 또는 예방하기 위한 천연 추출물로써 기능성 식품 또는 약품에 유 용하게 이용 될 수 있다고 생각된다. 하지만 유산균 발효를 통 한 볶음 결명자의 유효성분 변화와 변비억제효과 사이의 관계 를 자세히 밝히기 위해 추가적인 연구가 필요하다고 사료된다.

감사의 글

본 연구는 농림축산식품부(과제번호: 114150-03)의 지원에 의해 이루어진 결과로 이에 감사드립니다.

References

  • Aichbichler, BW, Wenzl, HH, Santa Ana, CA, Porter, JL, Schiller, LR, Fordtran, JS, A comparison of stool characteristic from normal and constipated people, Digestive Diseases and Sciences, (1998), 43, p2353-2362.
  • Camilleri, M, Management of the irritable bowel syndrome, Gastroenterology, (2001), 120, p652-668.
  • Choi, MK, Review Evidence based guideline for diagnosis and treatment Diagnostic guideline for constipation, Korean Journal of Neurogastroenterology Motility, (2005), 11, p44-50.
  • Ha, JH, Jeong, MH, Seo, YC, Choi, WY, Kim, JS, Kim, HH, Ahn, JH, Lee, HY, Enhancement of antioxidant activities of bark of Berberis koreana palibin by lactic acid fermentation, Korean Journal of Medicinal Crop Science, (2010), 18, p421-428.
  • Holzer, P, Treatment of opioid-induced gut dysfunction, Expert Opinion on Investigational Drugs, (2007), 16, p181-194. [https://doi.org/10.1517/13543784.16.2.181]
  • Holzer, P, Opioid receptors in the gastrointestinal tract, Regulatory Peptides, (2009), 155, p11-17. [https://doi.org/10.1016/j.regpep.2009.03.012]
  • Hong, KH, Choi, WH, Ahn, JY, Jung, CH, Ha, TY, Physicochemical properties of ethanol extracts and dietary fiber from Cassia tora L seed, The Korean Journal of Food and Nutrition, (2012a), 25, p612-619.
  • Hong, KH, Um, MY, Ahn, JY, Ha, TY, Effect of Cassia tora extracts on D-galactosamine-induced liver injury in rats, The Korean Journal of Food and Nutrition, (2012b), 25, p546-553.
  • Jang, JH, Jung, HK, Sim, MO, An, BK, Kim, MS, Kang, BM, Cho, JH, Bean, CG, Kim, SC, Jung, WS, Effect of Dendrobium speciosum var aqueous extract on loperamideinduced constipation in rats, Korean Journal of Medicinal Crop Science, (2016), 24, p1-6. [https://doi.org/10.7783/kjmcs.2016.24.1.1]
  • Jung, HK, Selection criteria for probiotics and their industrial applications, Bioindustry News, (2001), 14, p39-48.
  • Jun, DW, Park, HY, Lee, OY, Lee, HL, Yoon, BC, Choi, HS, Hahm, JS, Lee, MH, Lee, DH, Kee, CS, A population-based study on bowel habits in a Korean community Prevalence of functional constipation and self-reported constipation, Digestive Diseases and Sciences, (2006), 51, p1471-1477. [https://doi.org/10.1007/s10620-006-9087-3]
  • Jung, SJ, The importance of nutritional assessment and dietary counseling in infants and young children with common illnesses, Korean Journal Pediatric Gastroenterology and Nutrition, (2011), 14, p33-44.
  • Kakino, M, Tazawa, S, Maruyama, H, Tsuruma, K, Araki, Y, Shimazawa, M, Hara, H, Laxative effects of agarwood on low-fiber diet-induced constipation in rats, BMC Complementary and Alternative Medicine, (2010), 10, p68-68. [https://doi.org/10.1186/1472-6882-10-68]
  • Kim, JM, Kim, HT, Hwang, SM, Instant tea preparation from Cassia tora seeds, Korean Journal of Food Science and Technology, (1990), 22, p241-247.
  • Kim, JK, Hawer, WD, Ha, JH, Moon, KD, Chung, SK, Changes of volatile flavor components on roasting conditions in Cassia tora seeds, Korean Journal of Food Science and Technology, (1995), 27, p736-741.
  • Kim, YG, Bang, JK, Yu, HS, Lee, ST, Park, JS, Effects of planting density on growth and yield in Cassia obtusifolia. L, Korean Journal of Medicinal Crop Science, (1997), 5, p95-101.
  • Kim, CH, Kwon, MC, Kim, HS, Bae, GJ, Ahn, JH, Choi, GP, Choi, YB, Ko, Jr, Lee, HY, Enhancement of immune activities of Kadsura japonica Dunal. through conventional fermentation process, Korean Journal of Medicinal Crop Science, (2007), 15, p162-169.
  • Kim, TH, Son, YK, Hwang, KH, Kim, MH, Effects of Angelica keiskei Koidzumi and turmeric extract supplementation on serum lipid parameters in hypercholesterolemic diet or P- 407-induced hyperlipidemic rats, Journal of the Korean Society of Food Science and Nutrition, (2008), 37, p708-713. [https://doi.org/10.3746/jkfn.2008.37.6.708]
  • Kim, DG, Jin, YG, Jin, JY, Kim, SC, Kim, SC, Han, CH, Lee, YJ, Effects of the Actindia chinensis on loperamide-induced constipation in rat, Korean Journal of Plant Resources, (2011), 24, p61-68. [https://doi.org/10.7732/kjpr.2011.24.1.061]
  • Kim, NY, Park, DS, Lee, HY, Effect of anti-skin wrinkle and antioxidant of Agastache rugosa Kentz through fermentation process of the lactic acid, Korean Journal of Medicinal Crop Science, (2015), 23, p37-42. [https://doi.org/10.7783/kjmcs.2015.23.1.37]
  • Kirchhoff, PM, Biehl, B, Ziegeler-Berghausen, H, Hammoor, M, Lieberei, R, Kinetics of the formation of free amino acids in cocoa seeds during fermentation, Food Chemistry, (1989), 34, p161-179. [https://doi.org/10.1016/0308-8146(89)90137-4]
  • Lee, MH, Cho, JH, Kim, BK, Effect of roasting conditions on the antioxidant activities of Cassia tora L, Korean Journal of Food Science and Technology, (2013), 45, p657-660. [https://doi.org/10.9721/kjfst.2013.45.5.657]
  • Ling, J, Kim, JS, Seo, YC, Choi, WY, Ahn, JH, Ma, CJ, Yoon, CS, Lee, HY, The effect of extracts of Berberis koreana bark by Lactobacillus fermentation on the concentration of serotonin and melatonin in the serum of treated ICR mice, Korean Journal of Medicinal Crop Science, (2011), 19, p117-125. [https://doi.org/10.7783/kjmcs.2011.19.2.117]
  • Loeschke, K, Schmid, T, Farack, UM, Inhibition by loperamide of mucus secretion in the rat colon in vivo, European Journal of Phamacology, (1989), 170, p41-46. [https://doi.org/10.1016/0014-2999(89)90131-3]
  • Parson, WT, Cuthbertson, EG, Noxious weeds of Australia, (2001), CSIRO Publishing, Melbourne. VIC, Australia, p265-298.
  • Patil, UK, Saraf, S, Dixit, VK, Hypolipidemic activity of seeds of Cassia tora Linn, Journal of Ethnopharmacology, (2004), 90, p249-252. [https://doi.org/10.1016/j.jep.2003.10.007]
  • Seo, JH, Lee, H, Characteristics and immunomodulating activity of lactic acid bacteria for the potential probiotics, Korean Journal of Food Science and Technology, (2007), 39, p681-687.
  • Wood, JD, Galligan, JJ, Function of opioids in the enteric nervous system, Neurogastroenterology and Motility, (2004), 16, p17-28. [https://doi.org/10.1111/j.1743-3150.2004.00554.x]
  • Yang, MC, Kim, DS, Jeong, SW, Ma, JY, Bioconversion constituents of galgeun-tang fermented by Lactobacillus plantarum, Korean Journal of Medicinal Crop Science, (2011), 19, p446-455. [https://doi.org/10.7783/kjmcs.2011.19.6.446]

Fig. 1

Fig. 1
Effects of NFRC (Non-fermented roasted-Cassia tora L. water extract) or FRC (Fermented roasted-Cassia tora L. water extract) on number of fecal pellets in loperamideinduced constipation rats.Data represent the mean ± SD (n = 8). *Means with difference letters are significantly different at p < 0.05 by Duncan’s Multiple Range Test (DMRT). NOR; Normal group, LOP; Loperamide treated group, PC; loperamide and dulcolax-S (PC) treated group. C-100; loperamide and NFRC 100㎎/㎏ treated group, C-200; loperamide and NFRC 200㎎/㎏ treated group, C-300; loperamide and NFRC 300㎎/㎏ treated group, 24 h-100; loperamide and 24 h FRC 100㎎/㎏ treated group, 24 h-200; loperamide and 24 h FRC 200㎎/㎏ treated group, 24 h-300; loperamide and 24 h FRC 300㎎/㎏ treated group, 48 h-100; loperamide and 48h FRC 100㎎/㎏ treated group, 48 h-200; loperamide and 48 h FRC 200㎎/㎏ treated group, 48 h-300; loperamide and 48 h FRC 300㎎/㎏ treated group, 72 h- 100; loperamide and 72 h FRC 100㎎/㎏ treated group, 72 h-200; loperamide and 72 h FRC 200㎎/㎏ treated group, 72 h-300; loperamide and 72 h FRC 300㎎/㎏ treated group.

Fig. 2

Fig. 2
Effects of NFRC (Non-fermented roasted-Cassia tora L. water extract) or FRC (Fermented roasted-Cassia tora L. water extract) on weights of fecal pellets in loperamideinduced constipation rats.Data represent the mean ± SD (n = 8). *Means with difference letters are significantly different at p < 0.05 by Duncan’s Multiple Range Test (DMRT). NOR; Normal group, LOP; Loperamide treated group, PC; loperamide and dulcolax-S (PC) treated group. C-100; loperamide and NFRC 100㎎/㎏ treated group, C-200; loperamide and NFRC 200㎎/㎏ treated group, C-300; loperamide and NFRC 300㎎/㎏ treated group, 24 h-100; loperamide and 24 h FRC 100㎎/㎏ treated group, 24 h-200; loperamide and 24 h FRC 200㎎/㎏ treated group, 24 h-300; loperamide and 24 h FRC 300㎎/㎏ treated group, 48 h-100; loperamide and 48 h FRC 100㎎/㎏ treated group, 48 h-200; loperamide and 48 h FRC 200㎎/㎏ treated group, 48 h-300; loperamide and 48 h FRC 300㎎/㎏ treated group, 72 h- 100; loperamide and 72 h FRC 100㎎/㎏ treated group, 72 h-200; loperamide and 72 h FRC 200㎎/㎏ treated group, 72 h-300; loperamide and 72 h FRC 300㎎/㎏ treated group.

Fig. 3

Fig. 3
Effects of NFRC (Non-fermented roasted-Cassia tora L. water extract) or FRC (Fermented roasted-Cassia tora L. water extract) on water contents of fecal pellets in loperamide-induced constipation rats.Data represent the mean ± SD (n = 8). *Means with difference letters are significantly different at p < 0.05 by Duncan's Multiple Range Test (DMRT). NOR; Normal group, LOP; Loperamide treated group, PC; loperamide and dulcolax-S treated group. C-100; loperamide and NFRC 100㎎/㎏ treated group, C-200; loperamide and NFRC 200㎎/㎏ treated group, C-300; loperamide and NFRC 300㎎/㎏ treated group, 24 h-100; loperamide and 24 h FRC 100㎎/㎏ treated group, 24 h-200; loperamide and 24 h FRC 200㎎/㎏ treated group, 24 h-300; loperamide and 24 h FRC 300㎎/㎏ treated group, 48 h-100; loperamide and 48 h FRC 100㎎/㎏ treated group, 48 h-200; loperamide and 48 h FRC 200㎎/㎏ treated group, 48 h- 300; loperamide and 48 h FRC 300㎎/㎏ treated group, 72 h-100; loperamide and 72 h FRC 100㎎/㎏ treated group, 72 h-200; loperamide and 72 h FRC 200㎎/㎏ treated group, 72 h-300; loperamide and 72 h FRC 300㎎/㎏ treated group.

Fig. 4

Fig. 4
Effects of NFRC (Non-fermented roasted-Cassia tora L. water extract) or FRC (Fermented roasted-Cassia tora L. water extract) on percentage of minimal transit in loperamide-induced constipation rats.Data represent the mean ± SD (n = 8). *Means with difference letters are significantly different at p < 0.05 by Duncan’s Multiple Range Test (DMRT). NOR; normal group, LOP; loperamide treated group, PC; loperamide and dulcolax- S (PC) treated group. C-100; loperamide and NFRC 100㎎/㎏ treated group, C-200; loperamide and NFRC 200㎎/㎏ treated group, C-300; loperamide and NFRC 300㎎/㎏ treated group, 24 h-100; loperamide and 24 h FRC 100㎎/㎏ treated group, 24 h-200; loperamide and 24 h FRC 200㎎/㎏ treated group, 24 h-300; loperamide and 24 h FRC 300㎎/㎏ treated group, 48 h-100; loperamide and 48 h FRC 100㎎/㎏ treated group, 48 h- 200; loperamide and 48 h FRC 200㎎/㎏ treated group, 48 h-300; loperamide and 48 h FRC 300㎎/㎏ treated group, 72 h-100; loperamide and 72 h FRC 100㎎/㎏ treated group, 72 h-200; loperamide and 72 h FRC 200㎎/㎏ treated group, 72 h-300; loperamide and 72 h FRC 300㎎/㎏ treated group.

Fig. 5

Fig. 5
Effects of NFRC (Non-fermented roasted-Cassia tora L. water extract) or FRC (Fermented roasted-Cassia tora L. water extract) on mucous secretion capacity in loperamide-induced constipation rats.(A) NOR; Normal group, (B) LOP; Loperamide treated group, (C) PC; loperamide and dulcolax-S treated group. (D) C-100; loperamide and NFRC 100㎎/㎏ treated group, (E) C-200; loperamide and NFRC 200㎎/㎏ treated group, (F) C-300; loperamide and NFRC 300㎎/㎏ treated group, (G) 24 h-100; loperamide and 24 h FRC 100㎎/㎏ treated group, (H) 24 h-200; loperamide and 24 h FRC 200㎎/㎏ treated group, (I) 24 h-300; loperamide and 24 h FRC 300㎎/㎏ treated group, (J) 48 h-100; loperamide and 48 h FRC 100㎎/㎏ treated group, (K) 48 h-200; loperamide and 48 h FRC 200㎎/㎏ treated group, (L) 48 h-300; loperamide and 48 h FRC 300㎎/㎏ treated group, (M) 72 h- 100; loperamide and 72 h FRC 100㎎/㎏ treated group, (N) 72 h-200; loperamide and 72 h FRC 200㎎/㎏ treated group, (O) 72 h-300; loperamide and 72 h FRC 300㎎/㎏ treated group.

Table 1

Changes of final body weight, food intakeand water intake by NFRC (Non-fermented roasted-Cassia tora L. water extract) or FRC (Fermented roasted-Cassia tora L. water extract) in loperamide-induced constipation rats.

Groups Final body weight (g) Food intake (g/day) Water intake (㎖/day)

Data represent the mean ± SD (n = 8).
Means with difference letters are significantly different at p < 0.05 by Duncan's Multiple Range Test (DMRT).
NS; Non significant, NOR; Normal group, LOP; Loperamide treated group, PC; loperamide and dulcolax-S treated group, C-100; loperamide and NFRC 100㎎/㎏ treated group, C- 200; loperamide and NFRC 200㎎/㎏ treated group, C-300;
loperamide and NFRC 300㎎/㎏ treated group, 24 h-100;
loperamide and 24 h FRC 100㎎/㎏ treated group, 24 h-200;
loperamide and 24 h FRC 200㎎/㎏ treated group, 24 h-300;
loperamide and 24 h FRC 300㎎/㎏ treated group, 48 h-100;
loperamide and 48 h FRC 100㎎/㎏ treated group, 48 h-200;
loperamide and 48 h FRC 200㎎/㎏ treated group, 48 h-300;
loperamide and 48 h FRC 300㎎/㎏ treated group, 72 h-100;
loperamide and 72 h FRC 100㎎/㎏ treated group, 72 h-200;
loperamide and 72 h FRC 200㎎/㎏ treated group, 72 h-300;
loperamide and 72 h FRC 300㎎/㎏ treated group.
NOR 192.3 ± 10.4NS 19.7 ± 1.5c 46.5 ± 1.3ab,*
LOP 183.0 ± 10.1 20.5 ± 2.2abc 42.6 ± 2.0fg
PC 200.0 ± 9.5 22.4 ± 1.5a 44.2 ± 2.5de
C-100 192.3 ± 7.8 21.6 ± 0.6abc 43.4 ± 1.7ef
C-200 197.3 ± 11.8 20.8 ± 1.1abc 43.1 ± 2.1fg
C-300 194.3 ± 4.3 19.9 ± 1.2bc 43.7 ± 0.9ef
24 h-100 190.3 ± 1.3 22.1 ± 1.0ab 46.1 ± 1.8ab
24 h-200 187.5 ± 14.0 21.6 ± 0.8abc 48.7 ± 2.5a
24 h-300 189.8 ± 6.7 21.5 ± 1.1abc 40.4 ± 1.5g
48 h-100 192.5 ± 12.2 21.9 ± 1.5abc 41.1 ± 1.2fg
48 h-200 182.5 ± 4.7 22.3 ± 0.9a 44.1 ± 1.6de
48 h-300 200.0 ± 5.4 21.9 ± 1.2abc 45.4 ± 1.7cd
72 h-100 191.0 ± 6.9 20.2 ± 1.5abc 46.2 ± 1.9bc
72 h-200 188.5 ± 3.9 20.5 ± 1.3abc 43.1 ± 1.0fg
72 h-300 184.0 ± 10.1 20.6 ± 1.1abc 42.0 ± 2.2fg