Korean Journal of Medicinal Crop Science
[ ARTICLE ]
Korean Journal of Medicinal Crop Science - Vol. 23, No. 1, pp.13-19
ISSN: 1225-9306 (Print) 2288-0186 (Online)
Print publication date Feb 2015
Received 5 Nov 2014 Revised 10 Dec 2014 Reviewed 24 Dec 2014 Reviewed 22 Jan 2015 Accepted 23 Jan 2015
DOI: https://doi.org/10.7783/KJMCS.2015.23.1.13

생장조절제와 프라이밍 처리에 의한 우슬종자의 발아특성과 단백질 발현 양상에 관한연구

김도현* ; 안복주* ; 안희정* ; 안영섭** ; 김영국** ; 박춘근** ; 박충범** ; 차선우** ; 송범헌*,
*충북대학교 농업생명환경대학 식물자원학과
**농촌진흥청 국립원예특작과학원 인삼특작부
Studies on Seed Germination Characteristics and Patterns of Protein Expression of Achyranthes japonica by Treating Plant Growth Regulators and Seed Primings
Do Hyun Kim* ; Bok Ju Ahn* ; Hee Jung Ahn* ; Young Sup Ahn** ; Young Guk Kim** ; Chun Geun Park** ; Chung Beom Park** ; Seon Woo Cha** ; Beom Heon Song*,
*Department of Plant Science, College of Agriculture Life & Environment Science, Chungbuk National University, Cheongju 361-763, Korea.
**Department of Herbal Crop Research, NIHHS, RDA, Eumseong 369-873, Korea.

Corresponding Author : (Phone) +82-43-261-2511 bhsong@chungbuk.ac.kr

© The Korean Society of Medicinal Crop Science All rights reserved
This is an Open-Access article distributed under the terms of the Creative Commons Attribution Non-Commercial License ( http://creativecommons.org/licenses/by-nc/3.0 ) which permits unrestricted non-commercial use, distribution, and reproduction in any medium, provided the original work is properly cited.

Abstract

This study was conducted to improve the postharvest storage techniques of managing and storing seeds, to test qualities and viabilities of the seeds and to examine the germination rate and the protein expression of Achyranthes japonica Nakai. The seeds collected from different areas of Je-Cheon and Gwang-Ju were stored with different temperatures and durations. Two plant growth regulators and two seed priming were treated to investigate their effect on the germination rates and the days required for germination. The weight of one hundred seed collected in Gwang-Ju was heavier than those in Je-Cheon. Seed length collected in Gwang-Ju was also longer about 5.12 mm than those in Je-Cheon about 4.90 mm and seed width was longer in Gwang-Ju than those in Je-Cheon. The rates of seed germination in two different collection areas were higher about 2.9 to 13.0% in Gwang-Ju compared to those in Je-Cheon. Comparing its rates with the storing temperatures and durations, they were not clearly different in between 4°C and 25°C and they also were gradually decreased with getting longer storing durations. The germination rates treated by plant growth regulators were higher with GA3 than those with Kinetin. The highest seed germination rate was appeared at 50 ppm of GA3. Comparing its rates with different seed priming, they were relatively higher with KNO3 than those with PEG6000. In protein expression patterns between before the germinating and after the germinating of seeds, more and clear bands were appeared in the seed after the germination compared to those before the germination of seeds, especially 10 ~ 20 kDa. These results showing more and clear bands were more clearly appeared in Gwang-Ju compared to Je-Cheon. Comparing the protein expression with plant growth regulators and seed primings, GA3 was better expression than those with Kinetin and KNO3 was better than those with PEG6000. More and clear bands were closely related to the germination rates of seeds and more detailed studies would be required.

Keywords:

Achyranthes japonica, Germination Rate, Seed Characteristic, Plant Growth Regulator, Seed Priming, Protein Expression Pattern

서 언

우슬은 비름과 (Amaranthaceae) 다년생 초본인 쇠무릎 (Achyranthes japonica NaKai), 회우슬 (Achyranthes bidentata BL.) 및 천우슬 (Cyathula officinalis KUAN)의 뿌리이다. 쇠 무릎은 우리나라 전국에 분포하며, 회우슬은 중국의 하남이 주 산지로 하북, 산서, 산동 등지에서 재배되고, 천우슬은 사천, 운남 등의 지역이 주산지이다 (Seo et al., 2008). 우슬은 들 이나 길가에서 흔히 볼 수 있는 풀로서 줄기의 마디부위가 굵 어 소의 무릎과 같은 형태를 이루고 있어 예로부터 ‘쇠무릎’이 라고 하였으며 한약명인 우슬도 ‘소 우 (牛)’, ‘무릎 슬 (膝)’이 다 (Choi, 2009).

약용식물들은 산과 들에 야생으로 많이 자라고 있으며 일부 야생식물은 그 효능이 인정되어 작물화가 진행되고 있다. 한 약재에 대한 수요가 증가하면서 우슬 또한 공급량이 부족하여 재배에 대한 필요성이 나타나 작물화가 진행 중이다 (Kang et al., 2004; Kim et al., 1998).

작물화가 진행되고 있는 대부분의 약용식물들은 초기단계인 입묘과정과 적정입묘율을 확보해야하는 문제점이 있으며, 현 재까지 입모불량을 극복하기 위한 다양한 종자처리방법으로 후숙, 종피의 물리적 저항을 줄이기 위한 종피파열 또는 종피연화, 저온 또는 층적 처리, 종자의 수분흡수를 조절하 는 priming, 발아 및 초기생육을 촉진시키는 생장조절제, Phytochrome 기작을 조절하는 빛처리 등이 연구되어 왔다 (Kang et al., 2004).

우슬의 발아 및 초기 생육 특성에 관한 연구는 중국에서 도 입된 회우슬 (Achyranthes bidentata)이 우리나라 우슬 보다 발아 및 발아세가 높게 나타났으며, 초기 생육은 정식 후 60일까지는 회우슬이 우슬보다 양호 하였고, 그 후부터는 반 대의 결과가 나타났다 (Kim et al., 2006). 약용작물인 독활의 경우 실외온도 조건에서 30일간 층적 처리하는 것이 가장 좋 으나 장기간 저장을 목적으로 할 때는 –20°C나 4°C에서 저장 하는 것이 비교적 안전한 것으로 판단되며, 발아속도 향상을 위해서는 25°C에서 20 ~ 30일간 층적 처리하는 것이 좋은 것 으로 나타났다 (Lee et al., 2013). 하지만 우슬의 발아 및 초 기 입모율에 관한 연구는 미흡한 실정이다.

따라서 본 연구는 우슬 종자의 수확 후 저장기술 개발 및 종자활력의 증진을 위해 우슬 종자를 수집 지역에 따라 구분 하여 저장기간 및 저장온도를 다르게 처리하고, 생장 조절제 와 프라이밍 효과를 구명하며, 이와 관련된 발아율과 단백질 발현 양상을 비교분석하여 안정적인 우슬의 재배법 확립에 필 요한 기초 및 응용 자료를 얻기 위하여 이를 수행하였다.


재료 및 방법

1. 시험재료

본 시험에 이용한 우슬 종자는 충북 제천과 전남 광주의 재 배농가에서 증식되고 있던 식물체에서 2012년에 채종하고, 이 후 실외 보관 중이던 종자를 각각 2013년 2월 29일과 3월 2일에 분양받아 지역의 기후 조건의 차이로 인한 수분수정 후 등숙 시기의 차이로 인한 성숙정도가 다른 종자를 지역별로 구분하여 시험재료로 사용하였다.

2. 종자 저장기간 및 온도별 발아특성

우슬 종자의 저장방법에 따른 종자 발아력을 검증하기 위하 여 스티로폼 박스 (가로 ×세로 ×높이: 257 × 257 × 270mm)에 종자를 저장 하였다. 저장온도를 4°C와 25°C의 2가지 조건으 로 하였으며, 4°C는 냉장고, 25°C는 생장 조절실을 이용하여 온도를 유지하였다. 종자의 저장기간은 3월 25일부터 저장하 여 160일 후인 8월 2일에 1차 실험을 진행하였고 이후 15일 간격으로 총 5회 발아시험을 진행 하였다. 발아시험은 100립 씩 5반복으로 실시하였고, 1mm정도 되었을 때 발아된 것으로 간주하여 발아율을 측정하였다.

3. 식물생장조절제 및 프라이밍 처리별 발아특성

발아 시험은 제천과 광주에서 채종 후 저장된 우슬 종자에 식물 생장 조절제와 프라이밍 처리를 1일 한 후 실험을 진행 하였다. 식물 생장조절제 처리는 GA3과 Kinetin을 각각 0, 25, 50, 100 ppm 농도별로 처리를 하고, 프라이밍 처리는 Poly Ethylene Glycol (PEG) 6000과 KNO3처리를 하였는데, PEG 6000은 각각 0, –0.5, –1.0, –2.0MPa 농도별로 처리를 하였고, KNO3은 각각 0, 50, 100, 200 mM 농도별로 처리를 하였다. 식물생장조절제와 프라이밍 처리된 종자는 1% NaOCI 용액에 10분간 소독한 다음 멸균수로 5분씩 3회 세척한 후 사용하였으며, 9cm petri-dish에 탈지솜을 깔고 멸균수를 5 mL 첨가한 다음 종자를 치상하였다. 우슬 종자의 발아 온도는 25°C로 유지하였고 조사기간 중 종자가 건조되지 않도록 수분 을 보충하였다. 각 처리별 발아 시험은 100립씩 5반복으로 수 행되었으며, 발아율과 평균 발아일수는 치상 직후부터 치상 후 30일까지 우슬의 유근이 1mm 이상 자란 개체수를 조사하여 측정하였다. 조사한 발아율, 평균발아일수는 SAS 프로그램을 이용하여 통계분석 하였다.

4. 발아종자의 단백질 발현 양상 분석

우슬의 발아 시험과정에서 발아된 종자와 발아되지 않은 종 자를 구분하여 냉동 보관한 후 냉동 보관된 시료 0.5 g을 액 화질소를 이용하여 곱게 마쇄한 후, protein extraction buffer (50 mM Tris-HCl, 5% SDS, 1 mM PMSF, 1μm pepstatin, 0.01% bathophenonthroline; pH 8.0)를 1ml를 첨가하여 얼음 위에서 1시간 정도 균질화한 후, 14,000 rpm에서 10분간 2회 원심 분리하여 상등액을 취하고, 상등액으로 단백질을 분석하 였다.

SDS-PAGE는 소형전기영동장치 (Dual gel vertical unit, Sigma-Aldrich, St. Louis, MO, USA)를 이용하여 실시하였고, 전기영동시 gel은 15%의 running gel과 5% stacking gel이며, running buffer는 pH 8.3으로 맞추어 사용하였다. Sample buffer로 laemmlie buffer를 사용하여 위에서 준비한 시료와 1 : 1로 혼합하여 끊는 물에서 5분간 진탕한 후에 전기영동을 실시하였다. 각각의 well당 loading량은 step-view 10 Kd size marker (prestained, ELPIS Biotech Inc., Daejeon, Korea) 는 7μl, sample은 80μg을 넣었다. 전기영동시 전압은 80mA 로 평균 5시간하였으며, 전기영동이 끝난 후 gel은 coomassie brilliant R250법을 이용하여 12시간 정도 염색하였다. 탈색용액 을 1시간 씩 23회 정도 탈색한 후 단백질 밴드의 발현 양상 을 비교하였다 (Kim et al., 2014).


결과 및 고찰

1. 종자의 발아율과 평균발아일수

우슬 종자를 수확 후 종자 등숙 정도와 무게에 따라 백립중 을 비교한 결과는 Fig. 1과 같다. 충북 제천 지역에서 채취한 우슬 종자는 0.27 g이었고, 전남 광주에서 채취한 우슬 종자는 0.29 g으로 광주 우슬 종자가 제천 우슬 종자보다 0.02 g 더 무거운 것으로 나타났다. 우슬 종자를 수집 지역에 따라 구분 하여 종자의 길이와 너비를 비교한 결과는 Fig. 2와 같다. 광 주에서 수집한 종자는 길이가 5.12mm이고 너비는1.28mm이 고, 제천지역에서 수집한 종자는 길이가 4.90mm이고 너비는 1.10mm이었다. 광주에서 수집한 종자가 제천에서 수집한 종 자보다 길이는 0.22mm, 너비는 0.18mm 길어 크기에서 광주의 종자가 더 우량한 것으로 나타났다. 이는 지역별로 온도 및 기후 조건의 차이가 8 ~ 9월에 개화를 하고 종자가 등숙할 때 시기적으로 개화기 및 종자의 등숙기가 차이가 남에 따라 광 주 지역에서 백립중이 더 무겁고, 길이와 너비에서 더 크게 측정되었다. 벼의 경우 지역과 이앙시기를 달리하여 생육과 품 질을 조사한 결과 동일 이앙시기에서 지역별로 45일의 출수기 차이가 났으며, 등숙 비율 및 천립중에서도 차이가 났고, 생육 및 품질에서도 차이가 났다고 보고하였다 (Lee et al., 2008). 우슬 종자의 경우도 벼와 같이 지역별로 채종시기가 다르며, 우슬종자의 우량 종자 선발을 위해서는 지역별 적정 채종시기 를 확립하는 것이 중요하다고 판단된다.

Fig. 1.

Comparison on seed characteristic and weight of one hundred seed of Achyranthes japonica with two different and the collective areas of Je-Cheon and Gwang-Ju.

Fig. 2.

Comparison on seed lengths and widths of Achyranthes japonica with two different collective areas in Je-Cheon and Gwang-Ju.

2. 종자 저장기간 및 저장온도별 발아특성

우슬 종자를 수집 지역에 따라 구분하여 저장 온도 및 기간 을 달리하여 비교한 결과는 Fig. 3과 같다. 발아율은 수집 지 역별로 광주에서 채취한 우슬 종자가 제천에서 채취한 우슬 종자보다 모든 시기 및 조건에서 발아율이 2.86 ~ 13.02% 범 위에서 더 높았다. 이는 지치 종자가 등숙 과정이 진전되면서 배유가 충실하여 백립중이 증가하고 종피색이 갈색에서 흰색 으로 변화된 것들이 품질이 좋고 건전한 종자들인 것으로 조 사 (Kim et al., 2014)된 것과 비슷한 결과로 우슬 종자의 백 립중이 발아율을 높이는 원인으로 생각되며 백립중의 차이는 지역별로 종자의 등숙 시기에 의한 것으로 사료된다. 저장기 간에 따른 발아율은 저장기간이 길어질수록 발아율은 감소하 는 경향을 보였고, 저장 온도별 발아율은 저장기간 175일 전 에는 4°C 저장이 25°C저장보다 발아율이 높게 측정되었지만, 175일 이후에는 4°C 저장과 25°C 저장에서 발아율에 크게 차 이가 나지 않았다. 참당귀의 경우 저장기간에 따른 발아율은 채종 당년 종자가 가장 높고 묵은 종자 일수록 낮아졌으며, 실온에서 2년간 저장한 종자는 전혀 발아하지 않았고, 배유의 크기가 클수록 발아율이 높았다고 보고하였고 (Cho et al., 1993), 벼 종자의 경우 종자 발아율은 저장기간이 길어짐에 따 라 낮아졌는데, 이는 알카리 붕괴도와 단백질 함량의 감소, 당 의 함량변화 등 종자내의 이화학적 성분이 변화함으로써 종자 발아율을 감소하는 것이라고 보고하였다 (Kim et al., 2007). 우슬 종자도 채종 후 저장기간이 경과할수록 발아율이 계속 낮아지는 것이 비슷한 결과이며, 종자 등숙정도가 달라지는 지 역간의 차이는 지역별로 적정 채취 시기를 다르게 하는 것이 중요한 것으로 판단된다.

Fig. 3.

Comparison on germination rates of Achyranthes japonica seed with two different collective areas and with different temperatures and durations of seed storage.

3. 식물생장조절제 및 프라이밍 처리별 종자의 발아특성

지역별로 수집된 종자와 저장 온도간의 발아율을 조사한 결 과 광주지역 수집된 종자와 25°C에서 저장된 종자의 발아율이 높은 것으로 조사되었기 때문에 광주에서 수집하고 25°C에서 저장된 우슬 종자에 GA3와 Kinetin 식물 생장 조절제를 처리 하여 저장기간별 발아율을 비교한 결과는 Fig. 4와 같다. 식물 생장 조절제는 GA3과 Kinetin의 농도를 4개 수준으로 처리하 여 저장 기간별로 각각 비교한 결과 GA3처리구는 4개의 처리 구 모두에서 발아율에 효과가 나타났지만, Kinetin의 경우 효 과가 뚜렷하게 나타나지 않았다. GA3의 발아율은 저장 기간 이 길어짐에 따라 발아율이 낮아지는 효과를 보였으며, 0 ppm 수준에서 50 ppm수준까지 농도가 높아짐에 따라 발아율이 높 아지는 경향을 보였고, 가장 높은 농도인 100 ppm수준에서는 오히려 저장기간 175일 이후부터는 대조구보다 발아율이 낮아 지는 것으로 나타났다. 따라서 GA3의 경우 50 ppm에서 가장 효과가 좋은 것으로 판단된다. Kinetin도 저장 기간이 길어짐 에 따라 발아율은 낮아지는 경향을 보였지만, Kinetin처리는 175일 이전에는 25, 50, 100 ppm수준에서 대조구인 0 ppm수 준보다 약간 높은 발아율을 보였지만 이후 175일 이후에서는 Kinetin처리의 효과가 나타나지 않았고 오히려 50 ppm수준을 제외한 나머지 처리구는 발아율이 낮은 것으로 나타났다. 초 피나무 종자의 경우 GA3은 침지 시간과 농도가 높을수록 발 아율이 높아지는 경향 이였고, Kinetin도 발아율은 양호하였으 나 GA3보다 낮은 발아율을 나타내어 실용적인 방법으로 미흡 하다고 보고하였다 (Kim et al., 1997). 우슬 종자는 초피나무 의 경우 0 ~ 50 ppm GA3 수준까지는 농도가 높아질수록 발아 율도 높아지는 연구결과와 비슷하였지만 오히려 100 ppm수준 에서는 발아율이 감소하는 결과가 나타났고, Kinetin의 경우는 발아율에 미치는 효과가 저조하게 나타나 초피나무와 지치 종 자 (Kim et al., 2014)의 GA3과 Kinetin에 대한 반응과는 다 르게 나타났다.

Fig. 4.

Comparison on germination rates of Achyranthes japonica seed treated with two different plant growth regulators and five different durations of seed storage.

광주에서 수집되고 25°C에서 저장된 우슬 종자를 저장기간 별로 프라이밍 처리하여 발아율을 비교한 결과는 Fig. 5와 같 다. 종자 프라이밍 처리는 PEG6000과 KNO3의 4개 수준으로 농도를 각각 다르게 처리하여 저장 기간별로 각각 발아율을 비교한 결과 수분삼투압을 조절하는 PEG6000의 경우 저장 기 간 모든 처리구에서 대조구 보다 낮은 발아율을 보여 발아율 에 효과가 없는 것으로 나타났으며, KNO3의 경우는 저장 기 간이 길어짐에 따라 발아율이 낮아지는 경향을 보이며, 농도 별 효과는 175일 이후 농도가 높아짐에 따라 발아율이 높아 졌다. 따라서 KNO3는 175일 이후 농도가 가장 높은 200 mM에서 가장 효과 가 좋은 것으로 나타났다.

Fig. 5.

Comparison on germination rates of Achyranthes japonica seed treated with two different seed primings and five different durations of seed storage.

등숙 정도가 다르게 나타나는 수집 지역에 따라 우슬 종자 를 분류하여 저장기간과 온도를 달리하여 저장한 후 식물 생 장 조절제와 종자 프라이밍 처리를 하여 평균발아일수를 비교 한 결과는 Table 1과 같다. 수집한 지역에 따른 우슬의 평균 발아일수는 GA3, Kinetin, PEG6000, KNO3 모두 1% 수준의 고도의 유의성을 보였다. 광주의 평균 발아일수는 5.30일로 제 천의 평균 발아일수 6.08일보다 더 빠르게 발아를 했다. 저장 기간에 따른 평균발아일수는 식물생장조절제 처리에서는 유의 성이 나타났으나 프라이밍 처리구에서는 유의성이 나타나지 않았다. 식물생장조절제 처리의 경우 GA3처리는 5% 수준의 고도의 유의성을 보였고, Kinetin처리구에서는 1% 수준의 유 의성을 보이며 생장조절제간 약간의 차이가 있음이 나타났다.

Comparison on average days to germination in Achyranthes japonica seed with different two collective areas, two different storage temperatures and five different storage durations by treating two different plant gorwth regulators and two different seed primings.

저장기간이 길어짐에 따라 평균발아일수도 길어지는 경향을 보였다. 저장 온도에 따른 평균 발아일수는 종자 프라이밍 PEG6000처리구에서만 1% 수준의 고도의 유의성이 나타났다. 제천에서 수집한 종자는 25°C저장이 4°C저장보다 평균 발아일 수가 더 빠르게 나타났으며, 광주에서 수집한 종자는 4°C저장 이 25°C저장보다 평균 발아일수가 더 빠르게 나타나 지역간 다른 저장온도 반응을 보였다.

4. 종자의 단백질 발현 양상

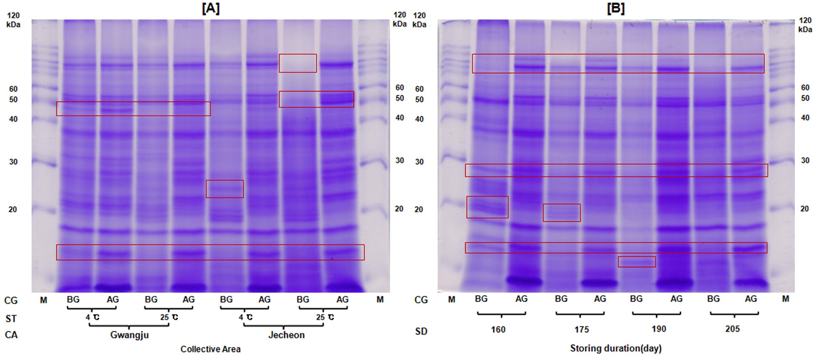
우슬 종자의 수집지역, 저장온도 및 저장기간에 따른 발아 전 종자와 발아된 종자의 SDS-PAGE를 이용한 단백질 발현 양상을 조사 분석한 결과는 Fig. 6과 같다. 발아 전 종자와 발아된 종자의 단백질 발현 양상은 수집된 지역과 저장 온도 에 관계없이 분리된 전 분자량 120 kDa이하에서 밴드수와 밴 드의 선명도에서 발아된 종자가 더 진하고 많은 밴드수를 보 였는데, 특히 발아된 종자에서 10 ~ 20 kDa의 분자량 범위에서 더 진하고 많은 단백질 밴드수가 나타나 발아종자의 단백질 발현이 더 다양함을 알 수 있었다. 저장 온도 4°C와 25°C간의 차이는 40 ~ 50 kDa사이에서 4°C저장에서 더 많은 단백질 밴 드가 나타남에 따라 단백질 발현 양상이 상온 저장보다 저온 저장 시에 더 다양함을 알 수 있었다. 수집 지역별 광주와 제 천의 단백질 발현양상 차이는 광주 우슬이 제천 우슬보다 분 리된 전 분자량에서 더 많은 밴드의 수와 진한 밴드를 보여 종자의 크기와 발아율이 더 우수한 광주 지역에서 채취한 우 슬의 발아과정에서 단백질 발현 양상이 더 다양함을 알 수 있 었다. 저장기간에 따른 단백질 발현 양상은 저장 기간이 길어 질수록 단백질 밴드가 희미하고 밴드수가 적게 나타났는데, 특 히 20 kDa에서 190일전에는 여러 밴드가 나타났지만 190일 이후 단백질 밴드가 사라짐에 따라 저장 기간이 길어질수록 발아율이 낮아지는 경향과 일치하여 단백질 발현이 더 적어짐 을 알 수 있었다.

Fig. 6.

Protein expression patterns of Achyranthes japonica seed in both seeds before germination and after germination with different collective areas, two different storage temperatures and five different storage durations by SDS-PAGE.[A]; Protein expression with different storage temperatures and collective areas. [B]; Protein expression with storage duration seeds stored 4°C and collected from Gwangju. (BG; Before Germination, AG; After Germination, CG; Condition of germination, ST; Storage temperature, CA; Collective Area, SD; Storing Duration, M; Maker).

우슬 종자의 식물 생장 조절제와 종자 프라이밍 처리에 따 른 발아 전 종자와 발아 된 종자의 SDS-PAGE를 이용한 단 백질 발현 양상은 Fig. 7과 같다. 발아 전 종자와 발아 된 종 자 사이의 단백질 발현 양상은 역시 분리된 전 분자량에서 더 많은 밴드수와 더 진한 밴드가 나타났고, 10 ~ 20 kDa에서 밴 드수가 많이 나타나 발아된 종자가 단백질 발현이 더 다양함 을 알 수 있었다. 식물생장조절제인 GA3처리와 Kinetin처리간 의 단백질 발현 양상은 GA3처리가 밴드가 더 진하고 밴드수 가 더 많이 나타났으며, 특히 50 kDa에서 GA3처리가 Kinetin 처리보다 색이 진한 단백질 밴드가 여러개 나타남에 따라 발 아율이 더 효과적인 GA3처리가 단백질 발현이 더 다양함을 알 수 있었다. 종자 프라이밍 처리인 PEG6000과 KNO3간의 차이는 발아된 종자에서 PEG6000처리보다 KNO3처리가 더 선명하고 많은 단백질 밴드가 나타남에 따라 발아에 더 효과 적인 KNO3 처리가 단백질 발현 양상이 다양함을 알 수 있었 다. 우슬 종자의 수확 후 저장조건과 기간에 따라서 발아와 입모과정에서 다르게 나타나는 결과들은 단백질 발현양상과 긴밀한 연관성이 있으므로 이에 대한 구체적인 연구가 더 수 행되어야 할 것으로 판단된다.

Fig. 7.

Protein expression patterns of Achyranthes japonica seed in both seeds before germination and after germination with two different plant growth regulators and seed primings by SDSPAGE.(BG; Before Germination, AG; After Germination, CG; condition of germination, GR&SP; Plant growth regulator and seed priming, M; Maker).

감사의 글

본 연구는 농촌진흥청 공동사업의 연구비 지원(과제번호: PJ008567042013)에 의하여 수행된 연구 결과로 이에 감사 드 립니다.

REFERENCES

  • Choi, SK, Product of korean medicinal plant, (2009), Shinkwang Publication Co, Seoul, Korea, p153-158.
  • Cho, SH, Kim, KJ, Studies on the increase of germination percent ofAngelica gigasNakai I. germination characteristics and cause of lower germination percent, Korean Journal of Medicinal Crop Science, (1993), 1, p3-9.
  • Kang, HJ, Yoon, SY, Jeon, SH, Analysis on practicality of seed treatments for medicinal plants published in korean scientific journals, Korean Journal of Medicinal Crop Science, (2004), 12, p328-341.
  • Kim, SJ, Shin, JH, Kim, KJ, Park, SD, Choi, BS, Kim, KU, Effect of GA3, Kinetin and physical treatment on the seed germination ofZanthoxylum piperitumA. P. DC, Kinetin and physical treatment on the seed germination ofZanthoxylum piperitumA. P. DC. Korean Journal of Medicinal Crop Science, (1997), 5, p43-48.
  • Kim, MS, Chung, BJ, Park, GC, Park, TD, Kim, SC, Shim, JH, Effect of organic fertilizers on growth and yield ofAchyranthes japonocaN, Korean Journal of Medicinal Crop Science, (1998), 6, p131-136.
  • Kim, DH, Sung, JS, Kim, MS, Park, CG, Park, HW, Growth characteristics and adaptability of introducedAchyranthes bidentataBlume in Korea, Korean Journal of Medicinal Crop Science, (2006), 14, p158-162.
  • Kim, HY, Yang, CI, Choi, YH, Won, YJ, Lee, YT, Changes of seed viability and physico-chemical properties of milled rice with different ecotypes and storage duration, Korean Journal of Crop Science, (2007), 52, p375-379.
  • Kim, JM, Kang, DH, Kim, JH, NA, SY, Ju, YS, A study on external and internal morphology in 4 kinds of Uie- Suel radix, The Korea Journal of Herbology, (2007), 22, p71-79.
  • Kim, DH, Ahn, BJ, An, HJ, Ahn, YS, Kim, YG, Park, CG, Park, CB, Cha, SW, Song, BH, Studies on seed germination characteristics and patterns of protein expression ofLithospermum erythrorhizonby plant growth regulators and seed primings, Korean Journal of Medicinal Crop Science, (2014), 22, p1-7. [https://doi.org/10.7783/kjmcs.2014.22.6.435]
  • Lee, YS, Lee, JK, Lee, SY, Yun, T, Woo, SH, Effects of different transplanting dates and agroclimatic zones on quality of brown rice and yield of a pigmented rice variety 'Josaengheugchal', Korean Journal of Crop Science, (2008), 53, p9-14.
  • Lee, GA, Kim, DH, Kim, MS, Wu, WG, Kim, YG, Ahn, YS, Park, CB, Song, BH, Studies on germination rates and early seedling growth characteristics by different storing temperatures, durations, and methods inAralia cordatavar.continentalis(Kitagawa) Y.C.Chu, Korean Journal of Medicinal Crop Science, (2013), 21, p20-26.
  • Seo, BI, Lee, JH, Choi, HY, Kwon, DR, Bu, YM, Medicinal herbology, (2008), Younglimas Publication Co, Seoul, Korea, p606-610.

Fig. 1.

Fig. 1.
Comparison on seed characteristic and weight of one hundred seed of Achyranthes japonica with two different and the collective areas of Je-Cheon and Gwang-Ju.

Fig. 2.

Fig. 2.
Comparison on seed lengths and widths of Achyranthes japonica with two different collective areas in Je-Cheon and Gwang-Ju.

Fig. 3.

Fig. 3.
Comparison on germination rates of Achyranthes japonica seed with two different collective areas and with different temperatures and durations of seed storage.

Fig. 4.

Fig. 4.
Comparison on germination rates of Achyranthes japonica seed treated with two different plant growth regulators and five different durations of seed storage.

Fig. 5.

Fig. 5.
Comparison on germination rates of Achyranthes japonica seed treated with two different seed primings and five different durations of seed storage.

Fig. 6.

Fig. 6.
Protein expression patterns of Achyranthes japonica seed in both seeds before germination and after germination with different collective areas, two different storage temperatures and five different storage durations by SDS-PAGE.[A]; Protein expression with different storage temperatures and collective areas. [B]; Protein expression with storage duration seeds stored 4°C and collected from Gwangju. (BG; Before Germination, AG; After Germination, CG; Condition of germination, ST; Storage temperature, CA; Collective Area, SD; Storing Duration, M; Maker).

Fig. 7.

Fig. 7.
Protein expression patterns of Achyranthes japonica seed in both seeds before germination and after germination with two different plant growth regulators and seed primings by SDSPAGE.(BG; Before Germination, AG; After Germination, CG; condition of germination, GR&SP; Plant growth regulator and seed priming, M; Maker).

Table 1.

Comparison on average days to germination in Achyranthes japonica seed with different two collective areas, two different storage temperatures and five different storage durations by treating two different plant gorwth regulators and two different seed primings.

Collective area Storage duration (day) Storage temperature Plant growth regulator Seed priming

GA3 Kinetin PEG6000 KNO3

significant different at 0.05, 0.01 probability levels, and non-significant, respectively.
significant different at 0.05, 0.01 probability levels, and non-significant, respectively.
; significant different at 0.05, 0.01 probability levels, and non-significant, respectively.
Jecheon 160 4°C 5.83 5.42 5.58 5.58
25°C 6.17 6.33 6.00 5.83
175 4°C 5.50 5.58 5.75 6.75
25°C 5.42 5.67 5.83 6.00
190 4°C 6.58 6.67 6.83 6.42
25°C 6.17 6.08 5.58 5.25
205 4°C 6.67 6.42 6.83 6.33
25°C 6.83 6.83 5.75 5.58
220 4°C 6.17 6.67 6.83 6.08
25°C 6.00 6.42 5.67 5.17

Gwangju 160 4°C 4.92 5.00 5.25 4.83
25°C 5.25 5.00 4.67 4.75
175 4°C 5.33 5.17 5.17 5.25
25°C 4.67 4.83 5.08 6.00
190 4°C 5.33 5.67 5.92 5.58
25°C 5.42 5.58 4.83 5.08
205 4°C 5.42 5.75 5.58 5.67
25°C 5.42 6.08 5.50 5.17
220 4°C 5.17 5.33 5.58 5.25
25°C 5.25 5.42 5.25 5.50

F-Value Collective Area 28.79** 32.44** 23.07** 11.75**
Storage Duration 2.91* 6.25** 1.76ns 2.02ns
Storage Temperature 0.04ns 0.16ns 10.04** 3.92ns