Korean Journal of Medicinal Crop Science
[ ARTICLE ]
Korean Journal of Medicinal Crop Science - Vol. 22, No. 4, pp.262-269
ISSN: 1225-9306 (Print) 2288-0186 (Online)
Print publication date 2014
Received 17 Feb 2014 Revised 22 Mar 2014 Reviewed 9 May 2014 Reviewed 23 May 2014 Reviewed 11 Jun 2014 Accepted 13 Jun 2014
DOI: https://doi.org/10.7783/KJMCS.2014.22.4.262

상심자추출물 등 복합물의 퇴행성관절염 억제효과

서형호* ; 정종문**,
*㈜벤스랩 중앙연구소
**수원대학교 생명과학과
Inhibitory Effects of Complex of Mulberry Extract on Degenerative Arthritis
Hyeong Ho Seo* ; Jong Moon Jeong**,
*Research Center of Ben’s Lab Co., Ltd., Hwasung 445-743, Korea.
**Department of Life Science, The University of Suwon, Hwasung 445-743, Korea.

Corresponding Author : (Phone) +82-31-222-6514 (E-mail) jmjeong@suwon.ac.kr

© The Korean Society of Medicinal Crop Science
This is an Open-Access article distributed under the terms of the Creative Commons Attribution Non-Commercial License ( http://creativecommons.org/licenses/by-nc/3.0 ) which permits unrestricted non-commercial use, distribution, and reproduction in any medium, provided the original work is properly cited.

Complex of mulberry extract (CME) is composed of extracts of mulberry (Morus alba L.) fruit, mulberry leaves and black beans (Glycine max (L.) Merr.). In this study, we investigated prevention effects of CME on degenerative arthritis. The SC50 value of DPPH radical scavenging by CME was 158.49 ± 11.35 µg/mL. We found that CME significantly reduced the production of nitric oxide (NO) and protein expression of cyclooxygenase-2 (COX-2) in RAW 264.7 cells which were activated by LPS. Experiments using animal model of degenerative arthritis showed that CME (400 mg/kg body weight) inhibited the production of TNF-α (77.5%) and IL-1β (95.0%). Furthermore, it was observed that CME reduced to 85.9% of paw edema induced by carrageenan. These results suggest that CME could improve degenerative arthritis.

Keywords:

Mulberry, Black Beans, Arthritis, Edema, Nitric Oxide, Cyclooxygenase-2

서 언

퇴행성관절염 (degenerative arthritis, degenerative joint disease)이란 골관절염 (osteoarthritis)이라고도 하며 외상, 관절 기형, 유전적 요소, 비만, 생활습관으로 발병하는 경우도 있으 나 환자의 대다수는 노화로 인해 관절을 보호하는 연골의 퇴 행성 손상으로 염증 및 통증을 유발하는 경우이다 (Chang et al., 2005; Kraan and Berg, 2008; Yeom, 2013).

염증 및 통증은 아라키돈산 (arachidonic acid)을 기질로 사 용해서 cyclooxygenase (COX) 또는 lipooxygenase (LO)에 의해 생성되는 프로스타글란딘 (prostaglandin) 및 류코트리엔 (leukotriene)과 같은 생리활성물질, TNF-α 및 IL-1β와 같은 사이토카인, NO (nitric oxide)와 같은 자유라디칼 등에 의해 발생 한다 (Mandhane et al., 2011). 현재까지 알려진 염증 및 통증의 기전은 세포손상으로 인한 히스타민 (histamine) 및 키닌 (kinin) 등의 방출로 혈관확장, 모세혈관 투과성 증가 및 염증부위로 대식세포의 집결, 염증부위에 혈류량 증가, 부종, 면역세포와 항체의 이동, 통증 및 발열 등의 현상이 일어난다 고 보고되고 있다 (Lee et al., 2011; Carey et al., 2003; Sud’ina et al., 2008; Pecchi et al., 2009).

퇴행성관절염의 치료는 중증인 경우 관절경을 이용하여 유 리체와 활액막을 제거, 활막 절제술, 소파관절 성형술, 다발성 천공술, 인공관절 치환술과 같은 수술적 치료가 이루어지며 중 증이 아닌 경우 약물요법이 주로 이루어진다 (Castaneda et al., 2012). 퇴행성관절염의 치료제로 사용하는 약물에는 아세 트아미노펜 (acetaminophen)과 같은 진통제, ibuprofen 및 indomethacin과 같은 비스테로이드성 항염제 (non-steroidal anti-inflammatory drugs, NSAIDs), 관절 내에 주사하는 히알 루론산 (hyaluronic acid) 및 스테로이드 (steroid) 등이 있으나 치료효과가 일시적이거나 단순 증상완화, 과민반응, 면역체계 악화 등의 부작용이 많이 보고되고 있다 (Laine et al., 2008; Boer et al., 2009; Bdouet et al., 2011).

상심자는 뽕나무과 (Moraceae), 뽕나무속 (Morus)에 속하는 뽕나무 (Morus alba L.)의 열매로서 오디, 상실 또는 흑심이라 고도 불린다. 상심자는 다른 식물에 비해 cyanidin-3-glucoside 와 cyanidin-3-rutinoside와 같은 안토시아닌 (anthocyanin) 계 통의 색소 및 다양한 유기산과 폴리페놀(polyphenol) 등이 다 량 함유되어 있다 (Park et al., 1997; Kim et al., 2003a, 2010). 현재까지 알려진 상심자의 생리활성 기능들에는 항당 뇨 (Kim et al., 1996), 항산화, 숙취해소 (Lee and Bae, 2011), 혈관신생억제 (Lee and Kim, 2008) 효과 등이 있다.

상엽은 뽕나무의 잎으로서 철선자 또는 잠엽으로 불린다. 상 엽에는 kaempferol 3-(6-malonylglucoside), chlorogenic acid, quercetin 3-(6-malonylglucoside) 및 rutin 등의 폴리페놀이 다 량 함유되어 있다 (Katsube et al., 2009). 현재까지 알려진 상엽의 생리활성 기능들에는 항당뇨 (Kim and Jeong, 2006), 항암활성 (Bae and Ye, 2010) 및 간보호 (Kim et al., 2003b) 효과 등이 있다.

서리태 (Glycine max (L.) Merr.)는 흑두 또는 검정콩으로 불리며 다른 식물에 비해 특징적으로 daidzein 및 genistein과 같은 isoflavone이 다량 함유되어 있고 일반 대두에 비해 안토 시아닌을 많이 함유하고 있다 (Oh et al., 2002; Kim et al., 2006). 현재까지 알려진 서리태의 생리활성 기능들에는 암세 포독성 (Kim et al., 2006) 및 노인성 치매예방 (Shin et al., 2001) 효과 등이 있다.

선행 연구로부터 식용 가능한 천연물 중에서 항산화 및 항 염증 효과가 뛰어난 32종의 천연물을 탐색한 결과, 상심자, 상 엽 및 서리태가 퇴행성관절염의 개선효과가 탁월하였다. 상심 자의 NO 생성 및 COX-2의 발현 억제, 상엽의 NO, TNF-α 및 IL-1β 생성 억제, 서리태의 Carrageenan으로 급성염증이 유도된 동물모델 족부 부종 억제 등 효과들이 상호보완적으로 항염증효과를 충족시킬 것으로 예상되어 상심자, 상엽, 서리태 추출물을 배합한 상심자추출물 등 복합물을 대상으로 퇴행성 관절염의 개선효과를 연구하였다.


재료 및 방법

1. 상심자추출분말의 제조

상심자 (Morus alba L.)는 전라북도 부안군 농업기술센터에 서 1kg 구입하였다. 상심자 생과를 식품용 분쇄기를 이용하 여 700 rpm으로 5분간 분쇄 후 분쇄된 상심자 즙에 3배량 (w/v)의 40% 에탄올 수용액으로 50°C에서 4시간, 총 3회 추 출한 다음 냉각하고 0.125mm (80 mesh) 규격의 스테인레스 스틸 거름망을 사용하여 여과하고 여기에서 얻은 여과액을 다 시 여과지(Whatman No. 2)를 사용하여 재여과하였다. 얻어 진 여액을 60°C에서 60 brix까지 감압 농축하고 여기서 얻 어진 농축액을 동결건조하여 상심자 추출분말을 113.2 g 수 득하였다.

2. 상엽추출분말의 제조

상엽 추출물은 상엽을 전라북도 부안군 농업기술센터에서 1kg 구입하여 다음과 같이 제조하였다. 상엽을 정제수로 세척 후 50°C, 24시간 건조하고 식품용 분쇄기를 이용하여 700 rpm 으로 5분간 분쇄 후 분쇄된 분말에 4배량 (w/v)의 50% 에탄 올 수용액으로 60°C에서 4시간, 총 3회 추출한 다음 냉각하고 0.125mm (80 mesh) 규격의 스테인레스 스틸 거름망을 사용하 여 여과하고 여기에서 얻은 여과액을 다시 여과지 (Whatman No. 2)를 사용하여 여과하였다. 얻어진 여액을 60°C에서 30 brix까지 감압 농축하고 여기서 얻어진 농축액을 동결건조하여 상엽 추출분말을 76.4 g 수득하였다.

3. 서리태추출분말의 제조

서리태 (Glycine max (L.) Merr.)추출물은 서리태를 경상남 도 함양농협에서 1kg 구입하여 다음과 같이 제조하였다. 서 리태를 세척 후 서리태의 4배량 (w/v)의 30% 에탄올 수용액 으로 60°C에서 4시간, 총 3회 추출한 다음 냉각하고 0.125mm (80 mesh) 규격의 스테인레스 스틸 거름망을 사용하여 여과하 고 여기에서 얻은 여과액을 다시 여과지 (Whatman No. 2)를 사용하여 여과하였다. 얻어진 여액을 60°C에서 30 brix까지 감압 농축하고 여기서 얻어진 농축액을 동결건조하여 서리태 추출분말을 134.7 g 수득하였다.

4. Complex of Mulberry Extract (CME)의 제조

상심자추출물, 상엽추출물 및 서리태추출물 중 퇴행성관절 염 개선에 필요한 항염증효과물질들의 함량을 고려하여 상 심자추출물 등 복합물을 제조하였다. 상심자추출물 중 안토 시아닌 (ca. 1%), 서리태 추출물 중 이소플라본 (ca. 0.2%), 상엽추출물 중 루틴 (ca. 1%)의 함량을 고려하여 상심자추출 분말 70 g, 상엽추출분말 14 g, 서리태추출분말 16 g을 혼합하 여 상심자추출물 등 복합물을 제조하였고 이를 Complex of Mulberry Extract (CME)라 명하였다.

5. DPPH Radical 소거능 측정

DPPH radical 소거능의 측정은 Blios (1958)의 방법에 의해 실행되었다. 각 농도별 시료 75 µL를 에탄올에 0.2 mM의 농 도로 녹인 DPPH (Sigma-Aldrich Co., St. Louis, Missouri, USA)용액 750 µL에 첨가하고 다시 3차 정제수 675 µL를 넣 고 혼합하였다. 상온에서 30분간 반응하고 96 well plate에 반 응액 200 µL를 옮긴 후, ELISA reader (Molecular Devices, LLC, Sunnyvale, California, USA)를 사용하여 520nm의 파 장에서 흡광도를 측정하였다. 양성대조군으로는 EGCG (epigallocatechin gallate)와 Vitamin C를 사용하였다. DPPH 라디칼 소거활성 (%)은 (1-시료 첨가구의 흡광도/시료 무첨가 구의 흡광도) × 100의 계산식을 사용하였다. SC50값은 발생한 라디칼을 50% 소거하는데 필요한 최소농도를 µg/mL 단위로 표시한 것이다.

6. 세포주 배양

마우스 대식세포주인 RAW 264.7 세포와 인간 간세포주인 HepG2 세포는 한국세포주은행 (Seoul, Korea)에서 분양받았으 며, 세포배양을 위해 penicillin (100 IU/mL)과 streptomycin (100µg/mL) 및 10% FBS (Fetal Bovine Serum)를 포함하는 DMEM (Dulbecco’s Modified Eagle Medium, Invitrogen, Life Technologies, Carlsbad, California, USA)배지를 사용하 였다 (Bao et al., 2009). 세포는 37°C, 5% CO2 조건에서 배양 (SANYO Electric Co., Ltd., Osaka, Japan)하였다.

7. 세포 (Raw 264.7) 독성 측정

Raw264.7 세포와 HepG2 세포에 대한 CME의 독성 측정 은 MTT (3-(4,5-dimethylthiazol-2-yl)-2,5-diphenyl-tetrazolium bromide)법을 실시하여 측정하였다 (Sladowski et al., 1993). Raw 264.7 세포를 96well plate에 5 × 10 cells/well로 분주한 다음, 37°C, 5% CO2에서 24시간 동안 배양하였다. 24시간 후 이전 배양에 사용된 배지를 제거하고 시료를 각 농도별로 용해한 배지를 분주한 후 37°C, 5% CO2에서 24시간 동안 배 양하였다. 24시간 후 각 well 당 0.2% MTT용액 (in PBS)을 20 µL씩 첨가하여 37°C, 5% CO2의 조건으로 배양기에서 3시 간 동안 반응시켰다. 반응 후 배지를 모두 제거하고 생성된 formazan을 DMSO (Dimethyl sulfoxide) 200 µL로 10분간 녹인 다음 ELISA reader를 이용하여 570nm에서 흡광도의 변 화를 측정하였다. 세포 생존율 (%)은 (시료 처리군의 흡광도/ 시료 무처리군의 흡광도) × 100의 식을 사용하였다.

8. Lipopolysaccharide (LPS) 유도 NO 생성량 측정

각 시료가 염증유발 물질인 NO의 생성을 억제하는 효과는 마우스 대식세포 유래의 Raw 264.7 세포에 Lipopolysaccharide (LPS)를 처리함으로써 배양액에서 생성되는 NO의 안정화된 형 태인 NO2의 농도를 Griess 반응을 이용하여 측정하였다 (Kwak et al., 2008). 먼저, FBS와 항생제가 함유된 DMEM 배지를 사용하여 96well plate에 1 × 10cells/well로 세포를 분 주 후 37°C, 5% CO2항온기에서 24시간동안 배양하였다. 24시 간 후, 이전 배양에 사용된 배지를 제거하고 FBS와 항생제가 함유되지 않은 새로운 배지를 분주한 후 CME를 200µg/mL 의 농도로 처리하였다. 1시간 후 1µg/mL의 농도로 LPS를 첨 가하여 24시간 배양하였다. 세포배양액 50 µL와 Griess시약 50 µL를 혼합하여 10분 동안 반응시킨 후 ELISA reader를 이용하여 540nm에서 흡광도를 측정하였다. Nitric oxide 소 거능 (%)은 (1-시료를 첨가한 반응군의 흡광도/시료를 첨가하 지 않은 대조군의 흡광도) × 100의 계산식을 이용하여 나타내 었다.

9. Western Blotting에 의한 COX-2의 발현 측정

Cell culture dish (100mm)에 5 × 10 cells/mL로 Raw 264.7 세포를 분주하고 37°C, 5% CO2 조건에서 24시간동안 배양한 후, 이전 배양에 사용된 배지를 제거하고 FBS와 항생 제가 함유되지 않은 새로운 배지를 분주하고 CME를 200µg/ mL 및 1,000µg/mL의 농도로 Raw 264.7 세포에 1시간 처리 한 후 LPS를 1µg/mL의 농도로 추가로 처리하여 COX-2의 발현을 유도하였다. 24시간 후, 세포를 Lysis buffer (20 mM Tris, 50 mM NaCl, 0.05 mM EDTA, 10 mM MgCl2, 0.1% SDS, 1% Triton X-100, pH 7.5)로 용해시키고 4°C에서 20분간 4,000 g로 원심분리한 후 총 단백질을 정량하였다. 동 일한 농도로 희석한 각 단백질을 Western blotting하였다. 각 well당 1mg의 총 단백질을 10% SDS-PAGE로 전기영동한 후 nitro-cellulose 막에 옮긴 다음, Blocking 완충용액 (5% Skim milk, 0.5% Tween in PBS)에 넣고 상온에서 1시간 교반한 후, TBS-T 완충용액 (20 mM Tris, 137 mM NaCl, 0.1% Tween 20, pH 7.4)에 1/1,000으로 희석한 anti-COX-2 (Cell Signaling Technology, Inc., Danvers, Massachusetts, USA) 용액에서 4°C, 24시간 반응시켰다. TBS-T 완충용액으로 3회 세척하고 TBS-T 완충용액에 1/2,000으로 희석한 이차 항체 (Santa Cruz Biotechnology, Inc., Dallas, Texas, USA)로 상 온에서 1시간 반응시킨 후 TBS-T 완충용액으로 3회 세척하 고 화학발광키트 (Pierce, Thermo Fisher Scientific Inc., Rockford, Illinois, USA)를 이용하여 X-ray필름에 현상하였고 총 단백질량의 동일성은 β-actin (Santa Cruz Biotechnology, Inc., Dallas, Texas, USA)의 양으로 검증하였다. 각 단백질의 발현량은 ImageJ (National Institutes of Health, Bethesda, Maryland, USA) 프로그램을 이용하여 정량하였다.

1. MIA 유도 퇴행성관절염 동물모델 제작 및 CME 경구투여

Spraugue Dauley계 흰쥐에 MIA (Mono sodium iodoacetate, Sigma-Aldrich Co., St. Louis, Missouri, USA)를 무릎 관절강 내 intra-articular injection함으로써 chondrocyte의 metabolism를 저해하고 이로 인해 cartilage, ligament 및 tendon의 손상을 유 발시켜 골관절염을 발생시키는 원리를 이용하였다 (Janusz et al., 2001). 즉, 실험동물 수는 각 군당 10 마리로 하여 체중 300 g-350 g의 흰쥐의 무릎 관절강내로 1 mL 주사기를 사용하 여 실험군 (CME 400mg/ 체중 kg 경구투여), 음성대조군 (정 제수 경구투여), 양성대조군 (Ibuprofen 20mg/ 체중 kg 경구 투여)에는 MIA (40mg/mL)를 50 µL씩 주사하고 Sham군에는 MIA 대신 PBS를 주사하였다. 24시간 후부터 Table 1에 나타 낸 바와 같이 각 군별로 정제수 또는 CME 또는 ibuprofen을 14일간 매일 정해진 투여량으로 경구투여하였다.

1. TNF-α 및 IL-1β 생성억제 측정

MIA유도 퇴행성관절염 동물모델을 대상으로 TNF-α 또는 IL-1β sandwich ELISA kit (eBiosience, Inc., San Diego, California, USA)을 사용하여 측정하였다. 즉, 각 시료를 경구 투여한 MIA유도 퇴행성관절염 동물모델을 희생하고 채혈 및 혈장분리를 한 다음 혈장내에 존재하는 TNF-α 또는 IL-1β의 농도를 ELISA kit의 제조회사가 제시한 방법을 응용하여 측 정하였다. 먼저, 96 well plate에 코팅 되어 있는 anti-rat TNF-α 또는 IL-1β antibody에 혈장에 존재하는 TNF-α 또는 IL-1β를 4°C, 24시간 결합시키고 각 well을 5번 세척한 후 biotin-conjugated anti-rat TNF-α 또는 IL-1β antibody를 상온 에서 1시간 반응시킨 후 각 well을 5번 세척하고 streptavidin- HRP를 40분간 처리하고 최종적으로 tetramethyl-benzidine으로 발색하여 ELISA reader를 이용해서 450 nm의 파장에서 흡광 도를 측정하였다. TNF-α 또는 IL-1β의 양은 ELISA kit에 포 함된 표준 재조합 TNF-α 또는 IL-1β의 반응표준곡선을 이용 하여 산술비례적으로 구하였다.

1. Carrageenan 유도 급성염증 동물모델 제작 및 CME 경구투여

Carrageenan 유도 족부 부종억제 실험은 Winter 등 (1962) 의 방법을 응용하여 실험하였다. 즉, SD계 흰쥐를 대상으로 Table 2에 나타낸 바와 같이 각 군의 개체수를 10마리로 하여 시료를 각 농도별로 1일 1회 3일간 경구투여하고 마지막 경구 투여 1시간 후 Digimatic micrometer (Mitutoyo Corporation, Kanagawa, Japan)를 사용하여 족부종을 유발하기 전의 족부 두께를 측정하고 1% Carrageenan을 용해한 생리식염수를 100 µL의 양으로 좌측 족저부에 주사하여 족부 부종을 유도하 고 5시간 후 다시 족부 두께를 측정하였다.

1. 통계학적 분석

실험결과는 3회 반복하여 평균 ±표준오차 (Mean ± SE)로 나타냈으며, SPSS (version 21) 통계프로그램으로 Student’s ttest를 이용하여 p < 0.05일 때 유의한 것으로 판정하였고, one-way ANOVA를 실시한 후 p < 0.05의 유의수준에서 Duncan’s Multiple Range Text (DMRT)에 의하여 각 실험군의 평균치 간의 유의성을 검증하였다.


결과 및 고찰

1. DPPH Radical 소거능 측정

CME가 DPPH 라디칼을 50% 소거하는 SC50값을 µg/mL 단 위로 Table 3에 나타내었다. DPPH는 비교적 안정한 자유라디 칼로서, 항산화 물질에 의해 환원되어 탈색되므로 항산화능을 측정할 때 DPPH 라디칼 포착능 측정법이 많이 이용된다. CME의 SC50값은 158.49 ± 11.35µg/mL으로 양성대조군으로 사용한 단일물질인 EGCG 및 비타민 C의 SC50값인 6.24 ± 1.10µg/mL 및 5.88 ± 0.69µg/mL보다 높았다. CME의 원료인 상심자, 상엽 및 서리태에서 항산화 효과에 기여할 것 으로 예상되는 polyphenol에는 anthocyanin, rutin, quercetin 및 isoflavone 등이 있을 것으로 기존의 연구를 통하여 예측할 수 있다 (Ryu and Kwon, 2012; Bae et al., 2011; Oh et al., 2002).

2. 세포 (Raw 264.7) 독성 측정

RAW 264.7 세포와 HepG2에 대한 CME의 세포독성을 알아 보기 위하여 MTT assay를 실시하였다. CME를 농도별 (312.5, 625, 1,250, 2,500, 5,000µg/mL)로 24시간 동안 각각 처리한 결과는 Fig. 1에 나타내었다. CME를 5,000µg/mL 처리한 경 우, RAW 264.7 세포의 생존율은 90.42 ± 3.11%이었으며 HepG2세포의 생존율은 90.21 ± 1.14%로 약간의 생존율 저하가 있었으나 2500µg/mL이하의 농도를 처리한 경우, 세포독성을 보이지 않았다. 이는 식품의약품안전처에서 식용이 허용된 대 부분의 천연물보다 안전한 수준이다. 또한, 이는 CME의 원료 인 상심자, 상엽 및 서리태의 세포안전성에 관한 기존의 연구 (Lee, 2013; Park, 2009; Jeon et al., 2011)와 일치되며 이러한 원료를 혼합한 CME의 세포안전성도 확인한 결과라 할 수 있다.

3. Lipopolysaccharide (LPS) 유도 NO 생성량 측정

RAW 264.7 세포에서 LPS를 처리하여 생성된 염증유발물 질인 NO는 LPS 처리 후 PBS를 처리한 음성대조군의 경우 144.22 ± 16.48 µM이었으며 LPS 처리 후 CME를 200µg/mL 처리한 경우 45.79 ± 4.81 µM로 나타나 음성대조군에 대비 하여 약 68.25% NO 생성억제 효과를 보였다 (Table 4). Park 등 (2013)은 동결건조 상엽 에탄올추출물을 50µg/mL의 농도로 RAW 264.7 세포에 처리하였을 때 NO 생성이 약 44% 감소되었다고 보고하였다. Korhonen 등 (2005)에 의하면 pro-inflammatory cytokine이나 염증성 자극에 의해 iNOS (inducible Nitric Oxide Synthase)의 발현이 증가되면 NO가 과량 분비되어 정상세포를 손상시키고 염증에 악화시킨다. CME 처리가 LPS로 유도된 RAW 264.7 세포에서 NO의 생 성을 억제하는 것은 iNOS의 발현을 저해하여 나타난 결과라 고 사료된다.

4. TNF-α 및 IL-1β 생성억제 측정

CME가 MIA유도 퇴행성관절염 동물모델에서 염증유발 사 이토카인인 TNF-α 및 IL-1β의 생체내 발현을 감소시키는 효 과는 Fig. 2 및 Fig. 3에 나타내었다. 즉, MIA를 처리하고 정제수를 14일간 경구투여한 음성대조군의 경우, 혈중 TNF-α 및 IL-1β는 각각 2.57 ± 0.15 ng/mL 및 1.33 ± 0.25 ng/mL이 었으며 관절염 치료제로 사용되는 합성의약품인 ibuprofen 을 20mg/kg체중의 투여량으로 14일간 경구투여한 경우, 1.93 ± 0.16 ng/mL 및 1.34 ± 0.14 ng/mL으로 미미한 TNF-α 및 IL-1β 감소효과를 보였으나 CME를 400mg/kg체중의 투여 량으로 14일간 경구투여한 경우, 각각 0.82 ± 0.03 ng/mL 및 0.29 ± 0.09 ng/mL으로 현저한 TNF-α 및 IL-1β 감소효과를 보 였다. CME 100mg/kg체중 투여군의 TNF-α는 1.13 ± 0.14 ng/ mL로서 대조군에 비해 63.7% 억제된 것으로 나타났다. Park 등 (2013)은 상엽 에탄올 추출물을 LPS로 염증이 유도된 마 우스 대식세포에 처리한 결과 TNF-α의 발현을 20%, IL-1β 발현을 35%이상 감소시켰다고 보고하였다. 급성 또는 만성 염증반응에서 TNF-α 및 IL-1β와 같은 pro-inflammatory cytokine은 림프구간의 신호를 서로 전달하여 면역세포를 활성 화시키고 lymphokine과 같은 면역인자들의 생산 및 분비를 유 도하여 염증반응을 활성화한다 (Feghali and Wright, 1997; Dinarello, 2000). 본 연구의 퇴행성관절염 동물모델에서 CME 의 TNF-α 및 IL-1β 생성억제 효과는 이러한 cytokine에 의 해 유도되는 염증반응의 활성화를 CME에 의해 억제시키는 효과를 기대할 수 있게 한다.

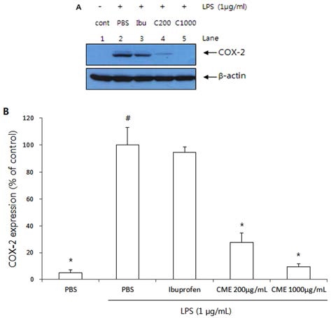
5. COX-2의 세포내 발현억제 측정

Fig. 4는 LPS에 의하여 활성화된 RAW 264.7 세포에서 발 현이 증가된 COX-2를 ibuprofen을 10µg/mL 처리한 경우, COX-2의 발현을 거의 감소시키지 못했지만 CME를 각각 200µg/mL 및 1,000µg/mL 처리한 경우, COX-2를 농도 의 존적으로 현저하게 감소시켰다. 이는 Park 등 (2013)이 동결건 조 상엽 에탄올추출물 (50µg/mL)을 LPS로 염증이 유도된 RAW 264.7 세포에 처리하였을 때 COX-2의 생성을 저해한다 고 보고한 것과 비슷한 결과이다. Botting (2006)에 의하면 활 성화된 macrophages에서 발현이 증가된 COX-2에 의해 생성 된 PGE2가 혈관확장, 발열 및 통증을 유발하고 관절염이나 다 발성 경화증과 같은 질병을 야기하거나 악화시킨다. CME는 이러한 COX-2의 발현을 억제함으로써 PGE2의 생성을 감소 시켜 관절염과 같은 염증성 질환의 악화를 방지할 것으로 기 대된다.

6. Carrageenan 유도 급성염증 동물모델의 족부 부종억제 측정

Fig. 5에 나타낸 바와 같이 정제수를 3일간 경구투여하고 Carrageenan으로 급성염증을 유도한 음성대조군의 경우, Carrageenan 주사 5시간 후 족부 부종율은 149.20 ± 7.50%이 었으며 ibuprofen을 20mg/kg체중, 3일간 경구투여한 양성대조 군의 경우, 족부 부종율은 110.15 ± 8.07%이었고 CME를 100 또는 400 mg/kg체중, 3일간 경구투여한 실험군의 경우, 족 부 부종율은 각각 118.14 ± 5.76% 및 106.94 ± 6.26%로 나타났다. Anandakumar 등 (2014)은 강황추출물의 경구투여 가 carrageenan으로 급성염증이 유도된 동물의 족부 부종 억 제에 효과가 있음을 보고하였다. 부종은 histamine, serotonin, bradykinin 및 prostaglandins와 같은 염증 매개체에 의한 혈관 투과성 증가와 혈관확장 증상의 급성염증 반응이다 (Vane and Botting, 1987). 대표적인 소염진통제로 사용되는 단일성분인 Ibuprofen보다는 CME의 부종억제율이 우수하지 않지만 CME 가 정제되지 않은 복합물질임을 고려할 때, 매우 우수한 급성 염증성 부종억제 효과가 있다고 사료된다.

REFERENCES

  • Anandakumar, S, Joseph, JA, Bethapudi, B, Agarwal, A, Jung, EB, Anti-inflammatory effects of turmeric (Curcuma longaL.) extract on acute and chronic inflammation models, Journal of the Korean Society of Food Science and Nutrition, (2014), 43, p612-617. [https://doi.org/10.3746/jkfn.2014.43.4.612]
  • Bae, HA, Baek, H, Park, HI, Choung, MG, Sohn, EH, Kim, SH, Kim, DS, Chung, IM, Seong, ES, Yu, CY, Lim, JD, Effect of fermentation time on the chemical composition of mulberry(Morus albaL.) leaf teas, Korean Journal of Medicinal Crop Science, (2011), 19, p276-286. [https://doi.org/10.7783/kjmcs.2011.19.4.276]
  • Bae, MJ, Ye, EJ, Antioxidant activity and in vitro for anticancer effects of manufactured fermented mulberry leaf tea, Journal of the Korean Society of Food Science and Nutrition, (2010), 39, p796-804. [https://doi.org/10.3746/jkfn.2010.39.6.796]
  • Bao, Y, Yang, Y, Wang, L, Gao, L, Jiang, W, Wang, L, Si, S, Hong, B, Identification of trichostatin A as a novel transcriptional up-regulator of scavenger receptor BI both in HepG2 and RAW 264.7 cells, Atherosclerosis, (2009), 204, p127-135. [https://doi.org/10.1016/j.atherosclerosis.2008.08.041]
  • Bdouet, L, Pascale, F, Bonneau, M, Wassef, M, Laurent, A, In vitroevaluation of (S)-ibuprofen toxicity on joint cells and explants of cartilage and synovial membrane, Toxicology in Vitro, (2011), 25, p1944-1952. [https://doi.org/10.1016/j.tiv.2011.06.018]
  • Boer, TN, Huisman, AM, Polak, AA, Niehoff, AG, Rinsum, AC, Saris, D, Bijlsma, JWJ, Lafeber, FJPG, Mastbergen, SC, The chondroprotective effect of selective COX-2 inhibition in osteoarthritis:Ex vivoevaluation of human cartilage tissue afterin vivotreatment, Osteoarthritis and Cartilage, (2009), 17, p482-488.
  • Blios, MS, Antioxidant determination by the use of a stable free radical, Nature, (1959), 181, p1199-1200.
  • Botting, RM, Inhibitors of cyclooxygenases: Mechanisms, selectivity and uses, Journal of Physiology and Pharmacology, (2006), 5, p113-124.
  • Carey, MA, Germolec, DR, Langenbach, R, Zeldin, DC, Cyclooxygenase enzymes in allergic inflammation and asthma, Prostaglandins, Leukotrienes and Essential Fatty Acids, (2003), 69, p157-162. [https://doi.org/10.1016/s0952-3278(03)00076-0]
  • Castaneda, S, Blas, JAR, Largo, R, Beaumont, GH, Subchondral bone as a key target for osteoarthritis treatment, Biochemical Pharmacology, (2012), 83, p315-323. [https://doi.org/10.1016/j.bcp.2011.09.018]
  • Chang, MC, Hung, SC, Chen, YK, Chen, TL, Lee, CF, Lee, HC, Wang, KL, Chiou, CC, Wei, YH, Accumulation ofmitochondrial DNA with 4977-bp deletion in knee cartilage e an association with idiopathic osteoarthritis, Osteoarthritis and Cartilage, (2005), 13, p1004-1011. [https://doi.org/10.1016/j.joca.2005.06.011]
  • Dinarello, CA, Proinflammatory cytokines, Chest, (2000), 118, p503-508. [https://doi.org/10.1378/chest.118.2.503]
  • Feghali, CA, Wright, TM, Cytokines in acut and chronic inflammation, Frontiers in Bioscience, (1997), 2, p12-26.
  • Janusz, MJ, Hookfin, EB, Heitmeyer, SA, Woessner, JF, Freemont, AJ, Hoyland, JA, Brown, KK, Hsieh, LC, Almstead, NG, De, B, Natchus, MG, Pikul, S, Taiwo, YO, Moderation of iodoacetate-induced experimental osteoarthritis in rats by matrix metalloproteinase inhibitors, Osteoarthritis and Cartilage, (2001), 9, p751-760. [https://doi.org/10.1053/joca.2001.0472]
  • Jeon, YH, Won, JH, Kwon, JE, Kim, MR, Antioxidant activity and cytotoxic effect of an ethanol extract from Seoritae, Korean Journal of Food and Cookery Science, (2011), 27, p1-10. [https://doi.org/10.9724/kfcs.2011.27.3.001]
  • Katsube, T, Tsurunaga, Y, Sugiyama, M, Furuno, T, Yamasaki, Y, Effect of air-drying temperature on antioxidant capacity and stability of polyphenolic compounds in mulberry(Morus albaL.) leaves, Food Chemistry, (2009), 113, p964-969. [https://doi.org/10.1016/j.foodchem.2008.08.041]
  • Kim, EO, Lee, YJ, Leem, HH, Seo, IH, Yu, MH, Kang, DH, Choi, SW, Comparison of nutritional and functional constituents, and physicochemical characteristics of mulberry from seven differentMorus albaL. cultivars, Journal of the Korean Society of Food Science and Nutrition, (2010), 39, p1467-1475.
  • Kim, HB, Kim, AJ, Kim, Y, The analysis of functional materials in mulberry fruit and food product development trends, Food Science and Industry, (2003a), 36, p49-60.
  • Kim, HJ, Kim, JK, Whang, WK, Ham, IH, Kwon, SH, Effects ofMori foliumandCrataegus pinnatifidaleave extracts on CCl4-induced hepatotoxicity in rats, Yakhak Hoeji, (2003b), 47, p2006-2011.
  • Kim, OG, Jeong, JC, Effects ofMori foliumextract in streptozotocin-induced diabetic rats, Journal of Korean Oriental Internal Medicine, (2006), 27, p811-821.
  • Kim, TW, Kwon, YB, Lee, JH, Yang, IS, Youm, JK, Lee, HS, Moon, JY, A study on the antidiabetic effect of mulberry fruits, Journal of Sericultural and Entomological Science, (1996), 38, p100-107.
  • Kim, YH, Lee, JH, Lee, YS, Yun, HT, Antioxidant activity and extraction efficiency of anthocyanin pigments in black colored soybean, Korean Soybean Digest, (2006), 23, p1-9.
  • Korhonen, R, Lahti, A, Kankaanranta, H, Moilanen, E, Nitric oxide production and signaling in inflammation, Current Drug Targets.Inflammation & Allergy, (2005), 4, p471-479. [https://doi.org/10.2174/1568010054526359]
  • Kraan, PM, Berg, WB, Osteoarthritis in the context of ageing and evolution loss of chondrocyte differentiation block during ageing, Ageing Research Reviews, (2008), 7, p106-113.
  • Kwak, H, Lee, SJ, Lee, DY, Jung, L, Bae, NH, Hong, SY, Kim, GW, Baek, NI, Cytotoxic and anti-inflammatory activities of lipids from the Nuruk(Rhizopus oryzaeKSD-815), Journal of the Korean Society for Applied Biological Chemistry, (2008), 51, p142-147.
  • Laine, L, White, WB, Rostom, A, Hochberg, M, COX-2 selective inhibitors in the treatment of osteoarthritis, Seminars in Arthritis and Rheumatism, (2008), 38, p165-187. [https://doi.org/10.1016/j.semarthrit.2007.10.004]
  • Lee, EJ, Bae, H, Study on the alleviation of an alcohol induced hangover and the antioxidant activity by mulberry fruit, Korean Journal of Food And Nutrition, (2011), 24, p204-209. [https://doi.org/10.9799/ksfan.2011.24.2.204]
  • Lee, JS, Isolation, characterization, and immune stimulating activity of a water-soluble polysaccharide purified from Korean mulberry fruits, Master Thesis. Catholic University of Daegu, (2013), p1-96.
  • Lee, SE, Lee, JH, Kim, JK, Kim, GS, Kim, YO, Soe, JS, Choi, JH, Lee, ES, Noh, HJ, Kim, SY, Anti-inflammatory activity of medicinal plant extracts, Korean Journal of Medicinal Crop Science, (2011), 19, p217-226. [https://doi.org/10.7783/kjmcs.2011.19.4.217]
  • Lee, SH, Kim, GH, Inhibitory effect of mulberry extracts on angiogenesis in porcine artery endotherial cells, Journal of Life Sciences, (2008), 18, p653-659.
  • Mandhane, SN, Shah, JH, Thennati, R, Allergic rhinitis: An update on disease, present treatments and future prospects, International Immunopharmacology, (2011), 11, p1646-1662. [https://doi.org/10.1016/j.intimp.2011.07.005]
  • Oh, HS, Park, YH, Kim, JH, Isoflavone contents, antioxidative and fibrinolytic activities of some commercial cooking-with-race soybeans, Korean Journal of Food Science and Technology, (2002), 34, p498-504.
  • Park, E, Lee, SM, Lee, JE, Kim, JH, Anti-inflammatory activity of mulberry leaf extract through inhibiton of NF-κB, Journal of Functional Foods, (2013), 5, p178-186. [https://doi.org/10.1016/j.jff.2012.10.002]
  • Park, SW, Jung, YS, Ko, KC, Quantitative analysis of anthocyanins among mulberry cultivars and their pharmacological screening, Journal of the Korean Society for Horticultural Science, (1997), 38, p722-724.
  • Park, SY, Whitening effects ofMori ramulus, Mori cortex radicis andMori foliumherbal-acupuncture solution after fermentation and heating, Master Thesis. Daegu Haany University, (2009), p1-37.
  • Pecchi, E, Dallaporta, M, Jean, A, Thirion, S, Troadec, JD, Prostaglandins and sickness behavior: Old story, new insights, Physiology & Behavior, (2009), 97, p279-292. [https://doi.org/10.1016/j.physbeh.2009.02.040]
  • Ryu, IH, Kwon, TO, Sensory characteristics of granular tea and the components of mulberry fruit extracts by different extraction process, Korean Journal of Medicinal Crop Science, (2012), 20, p331-338. [https://doi.org/10.7783/kjmcs.2012.20.5.331]
  • Shin, HC, Sung, HS, Lee, YS, Sohn, HS, Nutritional adequacy and beneficial effects of soy formula, Korea Soybean Digest, (2001), 18, p10-25.
  • Sladowski, D, Steer, SJ, Clothier, RH, Balls, M, An improved MTT assay, Journal of Immunological Methods, (1993), 157, p203-207.
  • Sud'ina, GF, Pushkareva, MA, Shephard, P, Klein, T, Cyclooxygenase(COX) and 5-lipoxygenase(5-LOX) selectivity of COX inhibitors, Prostaglandins, Leukotrienes and Essential Fatty Acids, (2008), 78, p99-108. [https://doi.org/10.1016/j.plefa.2007.12.006]
  • Vane, J, Botting, R, Inflammation and Mechanism of action of antiinflammatory drugs, FASEB Journal, (1987), 1, p89-96.
  • Winter, CA, Riskey, EA, Nuss, GW, Carrageen-ininduced edema in hind paw of the tat as an assay for anti-inflammatory drugs, Proceedings of the Society for Experimental Biology and Medicine, (1962), 111, p544-547.
  • Yeom, HE, Symptoms, aging-stereotyped beliefs, and health-promoting behaviors of older women with and without osteoarthritis, Geriatric Nursing, (2013), 20, p1-7. [https://doi.org/10.1016/j.gerinurse.2013.05.002]

Fig. 1.

Fig. 1.
Effect of CME on the cell viability of RAW 264.7 and HepG2 cells.RAW 264.7 and HepG2 cells were treated with various concentrations (312.5, 625, 1,250, 2,500, 5,000 µg/mL) of CME for 24 hours. Cell viability was measured by MTT assay. Data were obtained from three independent experiments and are expressed as the mean ± SE. *Significantly different from the sham control atp< 0.05.

Fig. 2.

Fig. 2.
Effect of CME on the inhibition of TNF-α production.The degenerative arthritis was induced by MIA only (DW), MIA and 20mg/kg body weight of ibuprofen for 14 days (Ibuprofen), MIA and 100mg/kg body weight of CME for 14 days (CME100), MIA and 400 mg/kg body weight of CME for 14 days (CME400), respectively. Data were obtained from three independent experiments and are expressed as the mean ± SE. #Negative control group. *Significantly different from the negative control group atp< 0.05.

Fig. 3.

Fig. 3.
Effect of CME on the inhibition of IL-1β‚ production.The degenerative arthritis was induced by MIA only (DW), MIA and 20mg/kg body weight of ibuprofen for 14 days (Ibuprofen), MIA and 100mg/kg body weight of CME for 14 days (CME100), MIA and 400mg/kg body weight of CME for 14 days (CME400), respectively. Data were obtained from three independent experiments and are expressed as the mean ± SE. #Negative control group. *Significantly different from the negative control group atp< 0.05.

Fig. 4.

Fig. 4.
Western blot analysis of COX-2 in RAW 264.7 cells.The COX-2 protein expression was induced by LPS only (1µg/mL, lane 2), LPS and ibuprofen (10 µg/mL, lane 3), LPS and CME (200 µg/mL, lane 4), LPS and CME (1,000µg/mL, lane 5), respectively. The total protein was fractionated by 10% SDS-PAGE, and the blotted membrane was reacted with anti-COX-2 IgG. Anti-IgG-HRP was used as secondary antibody and immunoreactive protein was detected by chemiluminescence. Data were obtained from three independent experiments and are expressed as the mean ± SE. #Negative control group. *Significantly different from the negative control group atp< 0.05.

Fig. 5.

Fig. 5.
Effect of CME on the prevention of paw edema in SD rats.The raw edema was induced by carrageenan (1%/saline, 100 µL/rat) only, carrageenan and ibuprofen, carrageenan and 100mg/kg body weight of CME, carrageenan and 400mg/kg body weight of CME, respectively. Data were obtained from animal experiments and were expressed as the mean ± SE (n = 5). #Negative control group. *Significantly different from the negative control group atp< 0.05.

Table 1.

Induction of degenerative arthritis by MIA and oral dose of sample.

Induction of arthritis Groups Oral dose of sample/day (for 14 days) Number of animals

Treated with PBS Sham Distilled water (DW) 10
Negative control Distilled water (DW) 10
Treated with MIA Positive control Ibuprofen 20 mg/kg body weight 10
(40 mg/mL, 50 µL/rat) CME100 CME 100 mg/kg body weight 10
CME400 CME 400 mg/kg body weight 10

Table 2.

Induction of acute inflammation by carrageenan and oral dose of sample.

Induction of arthritis Groups Oral dose of sample/day (for 14 days) Number of animals

Treated with PBS Sham DW 5
Negative control DW 5
Treated with MIA Positive control Ibuprofen 20 mg/kg body weight 5
(40 mg/mL, 50 µL/rat) CME100 CME 100 mg/kg body weight 5
CME400 CME 400 mg/kg body weight 5

Table 3.

DPPH radical scavenging effects of CME.

DPPH radical scavenging activities SC501)(µg/mL)

Results were represented as mean ± SE (n = 3).
SC50 ; 50% scavenging concentration.
Positive control.
CME 158.49 ± 11.35*
EGCG2) 6.24 ± 1.10
Vitamin C3) 5.88 ± 0.69

Table 4.

Effect of CME on the inhibition of NO production in RAW 264.7 cells.

NO production (µM)

Results were represented as mean ± SE (n = 3).
Significantly different from the negative control group (PBS and LPS treated group) atp< 0.05.
PBS 25.03 ± 5.31*,**
PBS + LPS (1µg/mL) 144.22 ± 16.48
CME (200µg/mL) + LPS (1µg/mL) 45.79 ± 4.81*