Korean Journal of Medicinal Crop Science
[ ARTICLE ]
Korean Journal of Medicinal Crop Science - Vol. 22, No. 1, pp.46-52
ISSN: 1225-9306 (Print) 2288-0186 (Online)
Print publication date 2014
Received 15 Nov 2013 Revised 2 Dec 2013 Reviewed 2 Jan 2014 Reviewed 27 Jan 2014 Accepted 27 Jan 2014
DOI: https://doi.org/10.7783/KJMCS.2014.22.1.46

Neuroprotective Effects of the Extracts from the Aerial Parts of Carthamus tinctorius L. on Transient Cerebral Global Ischemia in Rats

Young Ock Kim*, ; Sang Won Lee* ; Seung Ok Yang* ; Sae Won Na** ; Su Kang Kim*** ; Joo Ho Chung***
*Department of Herbal Crop Research, NIHHS, RDA, Eumseong 369-873, Korea.
**Department of Veterinary Medicine, Chonbuk National University, Jeonju 561-756, Korea.
***Kohwang Medical Research Institute, School of Medicine, Kyung Hee University, Seoul 130-081, Korea.
홍화 지상부 추출물의 전뇌허혈에 대한 신경보호 효과
김영옥*, ; 이상원* ; 양승옥* ; 나세원** ; 김수강*** ; 정주호***
*국립원예특작과학원 인삼특작부
**전북대학교 수의과대학
***경희대학교 고항의학연구소

Corresponding Author : (Phone) +82-43-871-5585 (E-mail) kyo9128@korea.kr

© The Korean Society of Medicinal Crop Science
This is an Open-Access article distributed under the terms of the Creative Commons Attribution Non-Commercial License ( http://creativecommons.org/licenses/by-nc/3.0 ) which permits unrestricted non-commercial use, distribution, and reproduction in any medium, provided the original work is properly cited.

In traditional Korean and Chinese medicine, safflower (Carthamus tinctorius L.) for the treatment of central nervous system-related symptoms such as tremor, seizure, stroke and epilepsy. We investigated the effects of safflower could influence cerebral ischemia-induced neuronal and cognitive impairments. Administration of safflower for 1 day (200 mg/㎏ body weight, p.o.) increased the survival of hippocampal CA1 pyramidal neurons after transient global brain ischemia. And neurological functions measured as short term memory. Post-treatment with safflower for 2 times decreased the induction/reduction - induced production of neuronal cell loss from global cerebral ischemia. Safflower markedly decreased neuronal cell death and also caused a decrease in the content of thiobarbituric acid-reacting substances (TBARS) (55.2 ± 9.4 µmol mg-1) and significant improvement of activities of glutathione (GSH) (27.2 ± 5.0 µmol mg-1) in hippocampus. We conclude that treatment with safflower attenuated learning and memory deficits, and neuronal cell loss induced by global cerebral ischemia. These results suggest that safflower may be a potential candidate for the treatment of vascular dementia.

Keywords:

Carthamus tinctorius L, Ischemia, Cognitive, Memory

INTRODUCTION

Safflower (Carthamus tinctorius L.) a member of the family Asteraceae, is a branching, thistle-like herbaceous annual or winter annual plant, with numerous spines on leaves and bracts. Safflower is typically grown in the arid or semi-arid regions of the world (Johnston et al., 2002), many of which are facing potentially favorable climate change (Shaw et al., 2005).

It was reported that the Greek name for safflower occurs many times in Linear B tablets, distinguished into two kinds. One is pale seeds and other is red florets (John, 1976). It is meaningful to note the investigation revealed for the first time that N-feruloylserotonin in safflower is potent antioxidant agent (Song et al., 2000). Safflower dilates arteries, reduces hypertension and increases blood flow and, oxygenation of tissues. It also inhibits thrombus formation, and dissolves thrombi (Suzuki et al., 2010).

Stroke/cerebral ischemia resulting from interruption of blood supply to the brain is an acute neurological injury. And oxidative stress is considered one of the primary risk factors that affect the damage by cerebral ischemia (Kim et al., 2009). Transient global ischemia induces selective, delayed cell death of pyramidal neurons in the CA1 hippocampus (Jover et al., 2002; Pulsinelli and Brierley, 1979) and causes functional deficits in the memory and learning of rats (Lee et al., 2011). Modern medicine has not found an effective cure for this condition and research to develop neuroprotective drug therapy for acute cerebral ischemia has not been satisfactory (Gorelick, 2002). Additionally, the cholinergic system projecting to the hippocampus plays an important role in cognitive function, and pre-synaptic cholinergic terminals are sensitive to cerebral ischemia (Ishimaru et al., 1995). Positive effects of safflower treatment on neurons after ischemia/reperfusion were confirmed by studies of focal cerebral ischemia in the rats (Zhu et al., 2005). Vascular dementia (VD) is defined as a loss of cognitive function resulting from ischemic or hemorrhagic brain lesions due to cere-brovascular disease. Therefore, in this study, the evaluation of therapeutic effect afforded by safflower on global cerebral ischemia was investigated in the 4 vessel occlusion (4-VO) model induced impairments of learning and memory.


MATERIALS AND METHODS

1. Plant Materials

Total aerial parts of safflower was purchased from Korea Medicine Herbal Association in Seoul, Korea, and then specimens were taxonomically identified by a oriental doctor, S.W. Lee at the National Institute of Horticultural & Herbal Science, RDA, Korea. The voucher specimen (HPR-210) was deposited at the (Eumseong, Korea). Safflower (200 g) was extracted with 6 L of distillated water in a reflux condenser for 20 min. The extract was filtrated and concentrated under reduced pressure, then, freeze-dried to yield a brown powder, and then stored at −20°C for further use. The yield of extract was 21.3%. Acetylthiocholine, glutathione (GSH), and 1,1,3,3- tetramethoxypropane and thiobarbituric acid was obtained from Sigma chemical (St Louis, MO, USA). All the reagents used in the present study were of analytical grade. All the solutions were freshly prepared before use.

2. Animal

Male Wistar rats (Central Lab Animal Inc., Seoul, Korea) weighing between 160 and 180 g were divided into four groups of six allowed free access to water and food, and maintained under constant temperature (23 ± 1°C) and humidity (60 ± 10%) under a 12-h light/dark cycle (light on 07 : 30-19 : 30 h). Animal treatment and maintenance were conducted in accordance with the Principles of Laboratory Animal Care (NIH Publication No. #85-23, Revised 1985) and with the Animal Care and Use guidelines of Kyung Hee University.

3. Global Cerebral Ischemia

The animals were anesthetized with isoflurane, initiated with 5% and maintained with 1.5% isofluorane in a N2O :O2 (70 : 30) mixture. Anesthetized animals were surgically prepared for 4-VO as described previously. In brief, after the animals were positioned in stereotaxic ear bars (Kopf Instruments, Tujunga, CA, USA) with the head tilted down at 30° to the horizontal, the paraspinal muscles were separated from the midline, and the right and left alar foramina of the first cervical vertebrae were exposed with the use of an operating microscope (Olympus, Tokyo, Japan). Next, both common carotid arteries were isolated via a ventral, midline cervical incision. On the following day, 10 min of 4-VO ischemia was induced by tightening the clasp around the common carotid arteries. To minimize variability among animals, the following criteria were strictly applied for the 10 min ischemic period and 20 ± 5 min post ischemic coma: loss of righting reflex and bilateral pupil dilation. Body temperature was monitored 20 min and maintained at 37 ± 0.5°C with a rectal thermometer coupled to a heating blanket (Harvard Apparatus, Holliston, MA, USA). Sham-operated animals that underwent surgery were used for the non ischemic control. We used donepezil (5mg/㎏) as a positive control.

4. Passive Avoidance Task

Passive avoidance was measured by using a Gemini Avoidance System (San Diego Instrument, San Diego, CA, USA), which consists of two-compartment shuttle chambers with a constant current shock generator. For acute treatment experiment, rats received safflower (200mg/㎏) by oral administration 120 min before the training trial. After 90 min, amnesia was induced in rats with scopolamine (1.0mg/㎏, dissolved in 0.1% DMSO) given subcutaneously. On an acquisition trial, each rat was placed into the start chamber, which remained darkened. After 20 seconds, the chamber light was illuminated and the door was opened for rat to move into the dark chamber freely. Immediately after the rat entered the dark chamber, the door was closed, and an inescapable electric shock (0.2 mA 2 sec, once) was delivered through the floor grid. Then, the rat was returned to its home cage. Twenty-four hours later, each rat was placed in the start chamber again (retention trial). The interval between placement in the lighted chamber and entry into the dark chamber was measured as the step-through latency in both acquisition and retention trials (Kang et al., 2003).

5. Acetylcholine Esterase (AChE) Activity Assays

Rats were sacrificed by decapitation after passive avoidance test. The hippocampus was separated on ice and homogenized with ice-cold saline for a 10% (w/v) homogenate. AChE activity was determined based on Ellman’s methods (Ellman et al., 1961) using an AChE activity assay kit (Biovision, San Francisco, CA, USA). Briefly, a reaction mixture containing 470ml sodium phosphate (1 mM, pH 8.0), 167ml of 2% DTNB, and 33ml homogenate was incubated for 5 min at 37°C. Then, 280ml acetylcholine iodide (2 mM) was added. After incubation for 6 min at 37°C, the reaction was terminated by adding 50ml of neostigmine (4 mM). Absorbance was measured at 410㎚ at room temperature. AChE activity was expressed as µmol/mg of protein.

6. Assessment of Lipid Peroxidation

Formation of lipid peroxides during the lipid peroxidation process was analyzed by measurement of thiobarbituric acid-reacting substances (TBARS) in hippocampus, as described previously (Drapper et al., 1993). Briefly, an equal volume of ice-cold 10% TBA was added to the cell suspension. A solution containing 0.335% of 2-TBA in 50% glacial acetic acid was added and samples were incubated at 100°C for 30 min. Samples were cooled, and water-saturated butanol was added to the solution. After centrifugation at 2,000 rpm for 5 min, TBARS were determined by absorbance at 535㎚.

7. Measurement of Intracellular Total Glutathione (GSH) Concentration

The intracellular total GSH content was measured using a commercially available colorimetric assay kit (Griffith, 1980). Hippocampus were gently washed with PBS and resuspended with 10 mM HCl. After freezing and thawing, a solution of 5% sulfosalicylic acid was added at a final concentration of 1% and samples were centrifuged at 15,000 rpm for 10 min. Supernatants were incubated with a reaction mixture containing 5,5'-dithiobis (2-nitrobezoic acid), NADPH, and glutathione reductase in a 96-well plate. The absorbance was measured at 405㎚ using a microplate reader (TECAN, USA).

8. Statistical Analysis

The results are expressed as means ± standard error of the mean (SEM). Statistical significance was determined by one-way ANOVA followed by the least significant difference test using SPSS (16K for Windows). P values less than 0.05 were deemed to be statistically significant.


RESULTS AND DISCUSSION

1. Protective Effect of Safflower Extracts

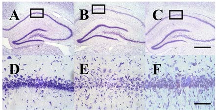
Microphotographs of hippocampal CA1 subfield in each group are shown in Fig. 1. Delayed cell death was observed in the CA1 area of the hippocampus. The hippocampal neurons were almost completely die in the distilled water treated group 7 days after ischemia and a large number of pyramidal neurons showed in CA1 of hippocampus (Fig. 1E). When compared with distilled water treated group, dying cells in ischemic rats happened shrunken cytoplasm and degeneration of the nucleus (Fig. 1B, 1E). In contrast safflower treated group showed more intact pyramidal neurons in CA1 of hippocampus than distilled water treated group (Fig. 1C, 1F). The number of degenerating CA1 neurons after transient 10 min of ischemia and 7 days of reperfusion was 36 ± 9.1 cells/mm2 and in the group of animals with safflower treatment after ischemia, the number of pyramidal cells was increased only to 234 ± 18.4 cells/mm2 (Fig. 2). This model showed significant increase of neuroprotection in CA1 region provided by postconditioning in comparison with 10 min of ischemia alone. The second metabolic stress (postconditioning) used 2 days after initial 10 min of ischemia finalizes ischemic tolerance in the most vulnerable CA1 hippocampal neurons (Burda et al., 2005).

According to our results a single dose (100mg/㎏) of safflower is not able to protect the most vulnerable population of CA1 hippocampal neurons if extract was used shortly before 10 min of ischemia or 5 h after the ischemia following 7 days of reperfusion (data not shown). Obtained results are in coincidence with Krieglstein et al. (1995).

We examined whether safflower mitigated the 4-VOinduced memory deficits through the passive avoidance test. Donepezil, an AChE inhibitor and most widely used treatment for Alzheimer’s disease, donepezil at a dose of 5mg/㎏ (oral administraion) was used as a positive control (Soma et al., 2013). Scopolamine interferes with memory and cognitive function and subsequently causes similar degrees of impairment test (Vales et al., 2005). The latency to enter the dark compartment during testing was significantly shorter in the scopolamine treated group (120.9 ± 5.2 sec) compared to that of the control group (265.9 ± 10.2 sec, p < 0.001). In contrast, the safflower treated group (246.6 ± 13.3 sec) had significantly increased latencies to enter the dark com-partment than the scopolamine treated group (120.9 ± 5.2 sec) (p < 0.001). (Fig. 3).

The neuronal injury associated with ischemia is accompanied by changes in the cholinergic system (Sakuma et al., 2008). When the acetylcholinesterase (AChE) is blocked, it can no longer participate in the hydrolysis of acetylcholine (ACh). Thus, ACh action is enhanced and due to the widespread distribution of cholinergic function, toxic effects involve the parasympathetic, sympathetic, motor, and central nervous system (Sussman et al., 1991). AChE inhibitors such as physostigmine, tetrahy droaminoacridine and metrifonate have been proposed as candidates for cholinomimetic therapy of Alzheimer disease (Pomponi et al., 1990). AChE activity of ischemia model rat was significantly increased compared with that of the sham-treated rats. AChE activity in rats receiving donepezil treatment demonstrated a greater decrease compared with the untreated ischemia model rats. However, there was difference between safflower-treated rats and untreated ischemia model rats (Fig. 4).

Our results showed that safflower improved memory impairments in passive avoidance test. In addition to the neuronal cell death was reduced by safflower. Therefore, we think that safflower could have a direct/indirect action as cholinergic agonist or a modulatory action on cholinergic transmission, because safflower decreased muscarinic antagonist-induced memory impairments. It was reported that memory impairment induced by acute administration of scopolamine in rats is associated with weak brain oxidative stress status (El-Sherbiny et al., 2003). Global cerebral ischemia and reperfusion (I/R) made an increase inbrain TBARS and oxidative stress (Kim et al., 2011), and brain AChE activity along with decrease in brain reduced GSH levels when compared to the normal group. Some natural products with antioxidant proprieties have been reverting the cognitive impairment in aged rats (Baxter et al., 1999) Therefore, the anti-oxidative effect of safflower can also be suggested as possible mechanisms for its cognitive-enhancing activity. However, safflower treatment abolished I/R-induced above biomarker changes (Table 1).

Taken together, hippocampal CA1 neurons and behavior test, the actions of safflower on lipid peroxidation and GSH, may contribute to an improvement in the neuronal and cognitive deficits produced by ischemia (Milner et al., 1998). Hydroxy safflower yellow A (HSYA) is one of the main active ingredients of the safflower, which has potential neuroprotective effects against focal cerebral ischemia in rats and cultured rat fetal cortical neurons (Zhu et al., 2005b). The neuroprotective effects are thought to be related with anti-oxidative and anti-apoptotic action. For example, safflower petal extract inhibited glutamate-induced C6 glia cell death, decreased the formation of malondialdehyde in mouse cerebrum, and inhibited the increase in thiobarbituric acid and 8-hydroxy- 2'-deoxyguanosine (8-OHdG) in the cerebral cortex of rats (Hiramatsu et al., 2009). Similarly, safflower injection was shown to reduce the volume of cerebral infarction (Luo et al., 2004). The present results demonstrated that safflower significantly rescued CA1 apoptotic cells and improved performance in learning tasks, prevented oxidative stress. It indicates that safflower as a therapeutic property in the treatment of vascular dementia. Cerebral ischemia, a focal or global insufficiency of blood flow to the brain, can occur through multiple mechanisms, including many molecular pathways that play roles in the death of neurons (Senaratne et al., 2009). It is increasingly prove that not a single molecular target can explain all the pathophyiological features of a given neurological diseases. In many cases such as Altzheimer disease and ischemia, hope to develop a therapeutic agent based on a single molecular targets is almost coming to an end unless the ultimate new target is developed and available for those invincible disease. In this regard, the fact that safflower affects seemingly a multiple number of targets regulating synaptic plasticity, neurogenesis, neuroprotection, neural transmission, and much more, is worthy of special attention. Further studies, a purified component of safflower will be examined and revealed to be an effective compound on global cerebral ischemia.

ACKNOWLEDGEMENTS

This work was performed with the support of the Cooperative Research Program for Agriculture Science & Technology Development(PJ008708022013), Rural Development Administration, Korea.

REFERENCES

  • Baxter, MG, Frick, KM, Price, DL, Breckler, SJ, Markowska, AL, Gorman, LK, Presynaptic markers of cholinergic function in the rat brain: relationship with aged and cognitive status, Neuroscience, (1999), 89, p771-779. [https://doi.org/10.1016/s0306-4522(98)00374-1]
  • Burda, J, Matiasova, M, Gottlieb, M, Danielisova, V, Nemethova, M, Garcia, L, Salinas, M, Burda, R, Evidence for a role of second pathophysiological stress in prevention of delayed neuronal death in the hippocampal CA1 region, Neurochemical Research, (2005), 30, p1397-1405. [https://doi.org/10.1007/s11064-005-8510-z]
  • Draper, HH, Squires, EJ, Mahmoodi, H, Wu, J, Agarwal, S, Hadley, M, A comparative evaluation of thiobarbituric acid methods for the determination of malondialdehyde in biological materials, Journal of Free Radicals in Biology & Medicine, (1993), 15, p353-363. [https://doi.org/10.1016/0891-5849(93)90035-s]
  • Doaa, AE, Amani, EK, Amina, SA, Ezz El-Din, SE, Hypericum perforatum extract demonstrates antioxidant properties against elevated rat brain oxidative status induced by amnestic dose of scopolamine, Pharmacology Biochemistry & Behavior, (2003), 76, p525-533. [https://doi.org/10.1016/j.pbb.2003.09.014]
  • Ellman, GL, Courtney, KD, Andres Jr, V, Feather-stone, RM, A new and rapid colorimetric determination of acetylcholinesterase activity, Biochemical Pharmacology, (1961), 7, p88-95. [https://doi.org/10.1016/0006-2952(61)90145-9]
  • Gorelick, PB, Stroke prevention therapy beyond antithrombotics: unifying mechanisms in ischemic stroke pathogenesis and implications for therapy: An invited review, Stroke, (2002), 33, p862-875.
  • Griffith, OW, Determination of glutathione and glutathionedisulfide using glutathionereductase and 2-vinylpyridine, Analytical Biochemistry, (1980), 106, p207-212. [https://doi.org/10.1016/0003-2697(80)90139-6]
  • Hiramatsu, M, Takahashi, T, Komatsu, M, Kido, T, Kasahara, M, Antioxidant and neuroprotective activities of Mogami-benibana(SafflowerCarthamus tinctoriusLinne), Neurochememical Research, (2009), 34, p795-805.
  • Ishimaru, H, Takahashi, A, Ikarashi, Y, Maruyama, Y, Immunohistochemical and neurochemical studies of hippocampal cholinergic neurones after ischaemia, Neuroreport, (1995), 6, p557-560. [https://doi.org/10.1097/00001756-199502000-00037]
  • John, C, The mycenaean world, (1976), Cambridge, England, Cambridge University Press, p120.
  • Johnston, AM, Tanaka, DL, Miller, PR, Brandt, SA, Nielsen, DC, Lafond, GP, Riveland, NR, Oilseed crops for semiarid cropping systems in the northern Great Plains, Agronomy Journal, (2002), 94, p231-240. [https://doi.org/10.2134/agronj2002.0231]
  • Jover, T, Tanaka, H, Calderone, A, Oguro, K, Bennett, MVL, Etgen, AM, Zukin, RS, Estrogen protects against global ischemia-induced neuronal death and prevents activation of apoptotic signaling cascades in the hippocampal CA1, Journal of Neuroscience, (2002), 22, p2115-2124. [https://doi.org/10.1523/jneurosci.22-06-02115.2002]
  • Kang, SY, Lee, KY, Park, MJ, Kim, YC, Markelonis, GJ, Oh, TH, Kim, YC, Decursin fromAngelica gigasmitigates amnesia induced by scopolamine in mice, Neurobiology ofLearning and Memory, (2003), 79, p11-18. [https://doi.org/10.1016/s1074-7427(02)00007-2]
  • Kim, JY, Ju, HS, Ban, JY, Song, KS, Bae, KH, Seong, YH, Protective effect ofVitis amurensisstems and leaves extract on hydrogen peroxide-induced oxidative neuronal cell damage in cultured neurons, Korean Journal of Medicinal Crop Science, (2009), 17, p68-74.
  • Kim, JY, Kweon, KK, Lee, HK, Kim, SH, Yoo, JK, Bae, KH, Seong, YH, Protective effect of an ethanol extract mixture of Curcuma longae Radix,Phellinus linteusand Scutellariae Radix on oxidative neuronal damage, Korean. Journal of Medicinal Crop Science, (2011), 19, p31-37.
  • Lee, SE, Shim, IS, Kim, GS, Yim, SB, Park, HJ, Shim, HS, Ye, MS, Kim, SU, The Neuroprotective effect of white ginseng(Panax ginsengC. A. Meyer) on the Trimethyltin (TMT)-induced memory deficit rats, Korean Journal of Medicinal Crop Science, (2011), 19, p456-463. [https://doi.org/10.7783/kjmcs.2011.19.6.456]
  • Luo, J, Fang, ZP, Zhou, LM, Lai, ST, Effects ofCarthamus tinctoriusinjection on bcl-2, caspase-3 expression related to neurons apoptosis after local cerebral ischemia, Zhongguo Zhong Yao Za Zhi, (2004), 29, p977-980.
  • Milner, B, Squire, LR, Kandel, ER, Cognitive neuroscience and the study of memory, Neuron, (1998), 20, p445-468.
  • Pomponi, M, Giacobini, E, Brufani, M, Present state and future development of the therapy of Alzheimer disease, Aging(Milano), (1990), 2, p125-153. [https://doi.org/10.1007/bf03323906]
  • Pulsinelli, WA, Brierley, J, New model of bilateral hemispheric ischemia in the unanesthetized rat, Stroke, (1979), 10, p267-272. [https://doi.org/10.1161/01.str.10.3.267]
  • Rhandi, S, Andrea, MM, Glenda, MM, Geoffery, BCH, Increased choline-containing compounds in the orbitofrontal cortex and hippocampus in euthymic patients with bipolar disorder: A proton magnetic resonancepectroscopy study, Psychiatry Research-Neuroimaging, (2009), 172, p205-209. [https://doi.org/10.1016/j.pscychresns.2008.07.007]
  • Sakuma, M, Hyakawa, N, Kato, H, Araki, T, Time dependent changes of striatal interneurons after focal cerebral ischemia in rats, Journal of Neural Transmission, (2008), 115, p413-422. [https://doi.org/10.1007/s00702-007-0860-z]
  • Shaw, MR, Huxman, E, Lund, CP, Ehleringer, JR, , Modern and future semi-arid and arid ecosystems, A history of atmospheric CO2and its effects on plants, animals, and ecosystems, (2005), New York. NY, USA, Springer Science and Business Media Inc, p415-416.
  • Soma, S, Suematsu, N, Shimegi, S, holinesterase inhibitor, donepezil, improves visual contrast detectability in freely behaving rats, Behavioural Brain Research, (2013), 256, p362-367. [https://doi.org/10.1016/j.bbr.2013.08.022]
  • Song, JC, Park, NK, Hur, HS, Bang, MH, Baek, NI, Examination and isolation of natural antioxidants from Korean medicinal plants, Korean Journal of Medicinal Crop Science, (2000), 8, p94-101.
  • Sussman, JL, Hamel, M, Filow, F, Goodman, A, Atomic structure of acetylcholinetserase, Science, (1991), 253, p872-880.
  • Suzuki, K, Tsubaki, S, Fujita, M, Koyama, N, Takahashi, M, Takazawa, K, Effects of safflower seed extract aon arterial stiffness, Vascular Health and Risk Managenment, (2010), 3, p1007-1014. [https://doi.org/10.2147/vhrm.s13998]
  • Vales, K, Stuchlik, A, Central muscarinic blockadeinterferes with retrieval and reacquisition of active allothetic place avoidance despite spatial pretraining, Behavioural Brain Research, (2005), 16, p238-244. [https://doi.org/10.1016/j.bbr.2005.02.012]
  • Zhu, HB, Zhang, L, Wang, ZH, Tian, JW, Fu, FH, Liu, K, Li, CL, Therapeutic effects of hydroxysafflor yellow A on focal cerebral ischemic injury in rats and its primary mechanisms, Journal of Asian Natural Products Research, (2005), 7, p607-613. [https://doi.org/10.1080/10286020310001625120]

Fig. 1.

Fig. 1.
Typical photomicrographs of the WISTAR hippocampus 7 days after 10 min ischemia in the control (A, D), ischemia (B, E), safflower treated (C, F) group.Cresyl violet staining of coronal brain sections at the level of the dorsal hippocampus show selective, delayed neuronal cell death in the hippocampal CA1 area. Square indicates a part of CA1 area where magnified.

Fig. 2.

Fig. 2.
The count of pyramidal cell in the CA1 area of the WISTAR hippocampus 7 days after 10 min occlusion induced ischemia.Control; Sham operated group, Ischemia; Distilled water treated group at 7 days after 4-VO, Safflower; Safflower (200 mg/㎏) treated group after ischemia. ***p< 0.001 compared with the ischemia group.

Fig. 3.

Fig. 3.
Passive avoidance test (7 days after 4-VO).The safflower groups had significantly increased latencies to enter the dark compartment compared to the scopolamine treated group. Control; No treated group, Scopolamine; scopolamine (1.0 mg/㎏) injected group, Safflower; Safflower (200 mg/㎏) treated group at 120 min before the training trial, Donepezil; donepezil (5mg/㎏) treated group at 7 days after ischemia. The data are presented as the means ± SEM. ***p< 0.001 compared with the scopolamine treated group.

Fig. 4.

Fig. 4.
AChE activity in transient global cerebral ischemia rats in and hippocampus of male WISTARrats.Control; Sham operated group, Ishemia; 4-VO, Safflower; Safflower (200 mg/㎏) treated group after ischemia. Donepezil; donepezil (5 mg/㎏g) treated group after ischemia. Data are mean ± SED for ten independent experiments (animals) performed in duplicate. *p< 0.05 compared with ischemia group (One way ANOVA).

Table 1.

Effect of tissue biomarker changes.

Group TBARS (µmol/mg of protein) GSH (µmol/mg of protein)*

Levels of reduced TBARS and GSH indicate the dose in micromole per milligram. Results are expressed as mean ±SED of data obtained from 10 independent experiments.
p< 0.05,
p< 0.001 compared with the ischemia group.
Control 20.3 ±2.2 36.3 ±6.0*
schemia 77.9 ±5.9 15.0 ±2.3
Safflower (200 mg/kg) 55.2 ±9.4* 27.2 ±5.0***
Donepezil (5 mg/kg) 23.1 ±7.4*** 27.9 ±2.5***